top of page


반복되는 요로결석에 대해 쇄석술 후 비뇨기과에서 예방적 투약중을 확인 - 동대문구 답십리, 장안동, 우리안애 우리안愛 내과
당뇨 상담이 주 목적이었으나... 최근에 육안.. : 네이버블로그 상기 환자 25년 12월 당화혈색소 5.9를 확인 후 경구약제로 전환함 아마도 비뇨기과에서 상의하고... 비타민 K2, 구연산칼륨, 마그네슘 복용중 으로 확인함 ; 요로결석이 반복된다면, 비뇨기과에서 소변 성분을 확인하고 예방적 약제를 안내할 수 있을것이다 혹은 처방할 수 있을 것이다. ; 그러나, 과거에 복용하는 사람은 적었다. 반복되는 요로결석 기왕력이 있었다고 하는데... Potassium citrate a. We recommend potassium citrate for people with recurrent kidney stones with hypocitraturia and/or low pH that persists despite nutrition therapy. (Strong recommendation, moderate certainty of the evidence)
2월 23일4분 분량


신기능 저하, 세균성 장염, 심한 탈수 상태의 반증 (2) - 동대문구 답십리, 상봉동, 우리안애 우리안愛 내과
40대 후반 남자, 초진 어제 저녁부터 구토, 20~30번?, 다행히 마지막 구토 이후 물은 마시고 증상은 멈춘 상태 설사는 10여회 오한은 있다가 호전 명치가 꽉찬 느낌... 정도의 복통 3일전 굴, 가리비 삶아서 좌하복부 압통의 확인; 세균성 장염으로 평가 및 투약 Cr의 증가를 확인! 백혈구 증가, 중성구 분획의 증가, crp는 약 7배 증가 2일뒤 추적 지난 내원일 설사 5~6회 더 했고 어제 설사 2회 이후에 증상은 없다. 압통이 있던 부위를 촉지하면 아직 압통은 남아 있는 모습 ; 한번 더 처방 후 진료는 종료 구토/설사의 횟수와 비례하여 신기능 영향을 받은 것을 설명 ; 호전될 것을 기대한다고 설명 2번째 외래에서 몸무게 확인, 평소보다 2 kg 적다고 하는데 첫 내원때는 더 빠져있었을 것이다. "내일 외국 출장 예정인데 걱정했었다." 뱃속/복강에 문제가 있을 때는 구토가 생길수 있다. 주증상처럼 보일때가
2월 19일1분 분량


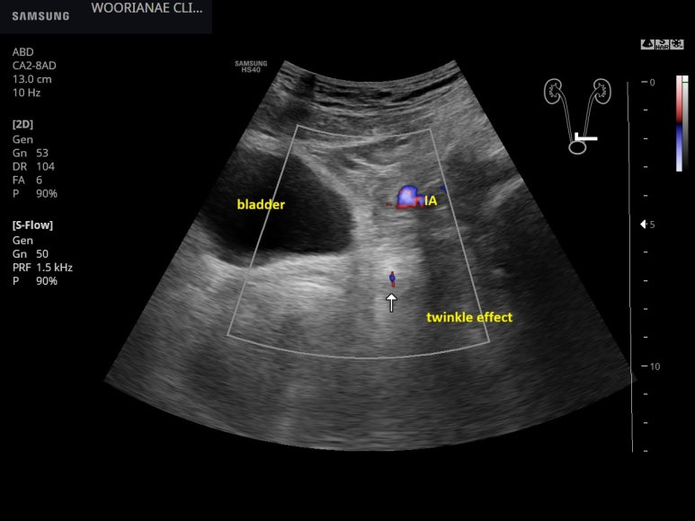
육안적 혈뇨, 과거와 같은 통증이 아니라 요로결석이라고 생각하지 않으며 방문, 수신증/요로 확장이 없는 방광요도이행부 결석 - 동대문구 답십리, 전농동, 우리안애 우리안愛 내과
50대 중반 남자 23년 말 검진, 당시 ALT 61로 초음파 상의하였으나... 응하지 않음. 음주는 하지 않음. 체질량 지수 28로 비만 ... 25년도 방문시 다른 의원에서 혈압약 투약한지 한달째 7월에 한번 처방 ... 6개월 만에 방문, 타의원에서 혈압약 유지중 이번 방문 이유는 혈뇨 커피색 오줌이다가 아침에 빨간 오줌이?? 3일째.. 낮에는 괜찮고.. 이전에 얘기하지 않았던 과거력. 과거 (24, 25년) 에 결석 3회 정도.. 쇄석술 2회, 한번은 저절로 빠진듯? 호전 "AI가 잘 되어있어 검색해보았는데 사구체 신염이 아닐지..." 가족도 진료를 보냈다는데... 아래가 부인이었다. 오래전에 대장내시경... 50대 중반, 진행성.. : 네이버블로그 복통이 뚜렷하지 않아 요로결석이라고 할 수 없으나 과거력이 있기도 하고 증상이 전형적이지 않은 경우도 있어 결석을 생각하고 초음파를 보자고 함 본인은 과거와 같이 아프지 않으니 결석에
2월 7일2분 분량


1. 젊은 통풍환자의 신기능 추적, 소염진통제 관련? 2. 3. 단백뇨없는 신기능 저하소견, 혈압환자 - 동대문구 답십리, 전농동, 우리안애 우리안愛 내과
1. https://blog.naver.com/ejercicio/223985400882 상기 환자 한달뒤 내원, 콜킨정 같이 복용하면서 한달간 통풍발작은 없었다. 2 kg 감량함ㅡ 헬쓰, 러닝하고 있다. Creatinine의 추적 1.49 (여과율 62 ml/min/m2) --> 1.19로 감소 문진에 의하면 소염진통제는 9일정도? 의 복용인데.... 그래도 연관성이 있었을 가능성으로 설명하였다. 한달뒤 내원, 통풍 증상은 없는 상태로 유지중 콜킨은 중단 계획 2. https://blog.naver.com/ejercicio/223396106482 상기 환자 24년 8월 Cr 1.69 그러나, 이때는 대장내시경하는 상황이 겹치며 24년 10월 Cr 1.18 로 회복? 25년 3월 한의원 진료 후 (부인이? 본인을 대신해서) 한약 복용중, "소변이 진해요." --> 한의사와 상의하도록 함 25년 9월 Cr 1.48 변동이 있긴하나 신기능은 혈압
2월 7일2분 분량


복잡요로감염과 동시에 저나트륨혈증, 항이뇨호르몬부적절분비증후군 - 동대문구 답십리, 전농동, 우리안애 우리안愛 내과
근육통/오한만 있다가; 감기라 하기도 애매하고.. : 네이버블로그 상기 복잡요로감염, 신우신염 환자 초기 검사에서... 아래와 같은 저나트륨혈증, 24년 말 정기검사에서는 135 저나트륨증의 중증에 해당하는 범위인데 해당하는 증상이 있는가? 증상이 뚜렷하지 않으면 회복후 재검계획, 이번 감염 질환으로? 이뇨제 계통의 혈압약 관련성은? 위약감, 어지러움, 구토 증상의 반복; 저칼륨혈증, 증상을 유발한 저나트륨혈증 , 이뇨제 계통 혈압약 부작용 가능성 위약감, 어지러움, 구토 증상의 반복; 저칼륨.. : 네이버블로그 2일뒤 내원시 오한/발한은 없어졌고.. 구토가 전날에도 있었는데 신우신염에 의한? 저나트륨혈증에 의한? 잘 못먹는다... ; 두통은 없고 보행에 문제는 없어 보여.. 감염에 의한 구토에 무게를 두었으며... 신우신염에서 구토 https://blog.naver.com/ejercicio/223860291122 Manifestat
1월 16일9분 분량


근육통/오한만 있다가; 감기라 하기도 애매하고, 이후 발한의 발생; 늑골각압통의 발생 => 신우신염의 판단 - 동대문구 답십리, 전농동, 우리안애 우리안愛 내과
80대 초반 여자, 본원에서 19년부터 혈압 고지혈 투약중 3일째 지속되는 근육통, 오한으로 내원.. 두통도 내원시 체온은 정상 해열제 복용하지 않았으며... 가벼운 감기 혹은... vs. 다른 감염성 질환을 고려해야하는데... 이러다가 호전되면 별 의미가 없고, 변화있는지 관찰 추적이 필요!!! 여성분들은 요로감염인 경우가 있어 소변증상의 확인.. 없으며 늑골각압통의 확인, 없는 것을 확인함 감기라고 생각하고 오지만 아닌것을 골라낼 필요가 있다. 감기로 생각하며 내원하였으나, 밤마다 심한 오.. : 네이버블로그 진통제만 2일 처방하고 증상의 변화를 추적하는게 중요하다고 강조함 4일뒤 내원 저녁에? 더... 쑤시고 .. 춥고.. 두통.. 잘때 발한도? 옷과 머리가 젖을 정도로... 6일간이 오한/발한.. 벨기에 여자 발열(열감은 있으나)과 늑골각압통이 없었던?(.. : 네이버블로그 감염의 포커스를 찾아봐야 하는데... 이번
1월 15일2분 분량


무증상 혈뇨/농뇨에서 초음파 시행, 의외의 요로결석.. 그리고... 걱정되는 결절을 동반한 신낭종 - 동대문구 답십리, 전농동, 우리안애 우리안愛 내과
80대 초반 남자 25년 4월 초진. 아들과 같이 방문 진료실 혈압 152/82 일반적 혈액검사 시행 미세알부민뇨 양성 소변은 특이소견 없었다. 다음외래 진료실 혈압 152/82로 혈압약 시작 2주뒤 내원 진료실혈압 124/68 3~4일전 어지럽기도.. 오늘도..; 관찰 20일뒤 내원 최근 설사를 해서 체중이 빠졌는데... .. 가다가 쓰러질거 같고 .. 어지럽고.. 병원 자동혈압 115/57 ; 혈압약 반알로 감량 한달뒤, 두달뒤 진료실 혈압 130대 자전거 타고 가면 어지럽고 정신이 없을정도? 멈췄다가 간다. 1~2분 .. 띵하면서.. << 어지러움 ; 지속시 이비인후과나 신경과 진료 볼지. 안내함 한달뒤 진료실 혈압 128/78 이지러움은 덜한데.. 이비인후과 안내함 ... 25년 10월 진료실 혈압 114/70 ; ARB 반알 용량에 40 정도의 혈압 감소.. 수일뒤 아들과 방문 혈액검사를 원함; 보통 특별한 일이 없으
2026년 1월 1일2분 분량


감기로 생각하며 내원하였으나, 밤마다 심한 오한으로 묘사하여 늑골각압통 유발 확인; 신우신염, 원내소변 확인 (2) - 동대문구 답십리, 전농동, 우리안애 우리안愛 내과
70대 초반 여자, 초진 정형외과? 에서 혈압약 투약중 - 폐업했다고 하며... 2일전 저녁부터.. 무리했더니.. 덜덜떨리고.. ; 감기약 먹고 호전... 어제저녁도... 춥고/떨고...; 아침/저녁 투약 ; 오한이라고 할 수 있는 증상을 강하게 묘사 밤마다 열감과 발한, 요로감염 https://blog.naver.com/ejercicio/223674854453 콧물 조금..? 머리도 띵/머리도 띵.. ; 콧물 증상이 의미가 있을 것인가? 본인이 감기 처방위해 내원했으므로 약간 있을법한 증상도 얘기하는 정도의 의미이지 않을지.. 열나는 복통인데... 굳이 콧물은 의미있지 않았을 듯... 소아과에서는 감기 처방 다른 내과에서 초음파 하고 바로 다음날 방문... : 네이버블로그 오한이 심하고 여성에서 요로감염을 모르고 오는 경우가 있어, 늑골각 압통의 확인, 우측에서 뚜렷 "협착증이 있어서 그래.." 라고 하니 ... 잘 설득/이해시키는데
2025년 12월 28일2분 분량


아주 특이한/이상한/비특이적인 요로감염이 맞을것인가? .. 그 고려 과정 - 동대문구 답십리, 전농동, 우리안애 우리안愛 내과
30대 초반 여자 초진 지방 거주중으로 부모님댁에 올라온 상태 오른쪽 배가 아팠는데.. 9월 초부터 (약 2주간의 증상) ; 욱씬욱씬.. 지속? 자기전에 스트레스 받거나? ... 할때 1시간씩 진땀날정도...! 이런 경우는 5회 정도.. 지방 **에서 2군데 병원, 5일전 A병원에서 CT, 4일전 B병원에서 초음파 2일전 너무 아파서 A병원 응급실 - 우상복부에서 우측중간까지.. 배꼽우측까지.. ; 림프절염 일지도라고 설명들었다고 하며 (3일전 CT 소견은 없지만?) 림프절염은 지속적으로 아프다가 가끔 틀기도 하지만.. 한시간의 시간은 길다. 아픈 위치/영역/범위는 비슷한데... 경련성 복통은 수분씩... 만약 CT를 찍었다면 림프절은 충분히 관찰될 것으로 보이며... 다른 내과에서 초음파 하고 바로 다음날 방문... : 네이버블로그 촉진을 해보는데 흉곽 아래경계의 연골에 뚜렷한 압통점 --> 흉골연골염의 상태도 있는데.. 이때 복부의
2025년 12월 11일4분 분량


미세변화신증후군 환자... 멋대로 스테로이드 조절? 관해상태는 아닌... - 동대문구 답십리, 전농동, 우리안애 우리안愛 내과
30대 초반 남자 초진 최근 음주가 많았는데... 3~4회/주*1~2병 2주간 몸이 안좋다. 이직하고 직업특성상 술자리가 많았다. 간수치 걱정하고 내원... 특이한 병력이 있는데 9년전 **대학교에서 미세변화신증 (minimal change disease, MCD) 진단 "단백뇨가 있으면 (요스트립, urine strip을 가정에 가지고 있으면서 수시로 확인하는듯) 스테로이드를 수일씩 몇알씩 복용하곤 한다...", 면역억제제도 병해해본듯 한데.. **대학교 마지막 검사는 7~8개월전 ; 저렇게 복용하는걸 주치의가 아는가? 허용하진 않았을거 같은데... 혈액검사 시행, 간수치는 정상범위 그러나, 총단백과 알부민 수치가 감소해 있다. D188000HZ Albumin 3.41 L 3.50-5.20 g/dL - D184000HZ Total Protein 5.52 L 6.40-8.30 g/dL - 스테로이드 치료 기간은 짦은 기간이라 하더라도
2025년 10월 15일4분 분량
bottom of page









