top of page


바이러스? vs. 심한 세균성/살모넬라? 장염의 감소했던 백혈구 추적 - 동대문구 답십리, 용답동, 우리안애 우리안愛 내과
1. 진료 후 악화된 설사, 2. 추적시 세균.. : 네이버블로그 상기 환자 이차 항생제 포함 7일의 투약 항생제 복용중에 제출한 검체의 한계가 있지만 배양에서 자라지는 않았고... 투약 종료 후 약 1주일뒤에 방문 추적 혈액검사함; 모든 혈구 수치가 증가한 모습, 백혈구는 정상범위 이하로 감소하였다가 호전된 모습 WBC 5350 (←- 2340 ).. seg 55.3 (←-21.0) Hb 14.1 (←-13) plt 347 (←-236) crp 0.1 이하 (←-0.5) 보통은 세균성 감염일때 백혈구 증가, 분획구 증가의 모습이나 거꾸로 감소했던 경우이다. 바이러스 감염, 혹은 심한 세균성 감염 혹은 장염의 원인중에 살모넬라등의 상황을 고려할 수 있다. 압통이 뚜렷하게 있어 세균성 감염으로 치료하였으며 살모넬라를 가정하여 (배양에서 양성을 확인하지 못했다) 7일간 투약하였다. ... 세균성 장염이 의심될때 배양을 하지 않는다. 1. 시켜봤
3일 전1분 분량


"어지러운데 빈혈이 있나봐요." 라고오면 대부분 아니지만 항문출혈 때문에 심한 빈혈이었던 경우, 노작성 호흡곤란과 두통까지.. - 동대문구 답십리, 전농동, 우리안애 우리안愛 내과
30대 후반 남자, 초진 " 어지러운데 빈혈이 심하거 같아요. 눈도 하얗고, 손도 하얗고.." 어지러움은 증상에서 출발해야지 빈혈인 경우는 거의 없다. 증상에서 진료를 구한다면 이비인후과나 신경과를 방문하기를 권장한다. 설령 정상수치 이하의 혈색소라도 그게 어지러움을 설명한다고 여기면 안된다. 같이 온 가족의 기술과 같이 손의 혈색이 매우 하얀것을 확인하고 이 경우는 빈혈이 심한상태임이 명확하였다. 최근 출혈의 증상은?? 3주 항문출혈.. 매일... 배변시 주르륵... ; 그러나 어제 그제 정상변, 좌욕하고 있다. 근래에... 어지럽고 두통... 숨차다... 빠른걸음 일때... 아래의 경우와 같다. 2주간의 배변시 출혈/심부전 증상으로로 내원,.. : 네이버블로그 2달전 대장내시경 받았으며, 치핵?이 튀어나오긴 하고.. 아프지는 않고... 잠들때 다리를 차고 깬다. 간질거리면서.. 실혈에 의해 철분이 부족해져서? 아래와 같은
3월 31일2분 분량


창백하고 컨디션이 안좋아보이는 환자의 검진, 빈혈 패턴이 궤양과는 맞지 않아 혈액내과 진료 필요하나 추적 소실 - 동대문구 답십리, 감이동, 우리안애 우리안愛 내과
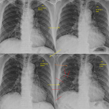
70대 초반 여자, 초진 검진 예약하고 진행하는데 흉부 촬영을 하러 들어가니... 보호자가 부축하나 걷는것이 힘들어 보이고 창백한게 눈에 띈다!; 6개월마다 ****병원, 2010 초반, 뇌경색, 그러나 증상은 발음문제 정도였다고 하며... 기운없는게... 한달반... ; 평소에 보행 잘하였으나 ... 걷는게 힘들어 보임/부축 필요 (관찰시) 입맛이 없고... 식사 못하고... 체중 빠지고.. 4~5kg 숨차지는 않고.. 다리의 부종은 없었다. 컨디션이 걱정이 되고, 빈혈도 명확히 있는 배경에서, 조심스럽게 위내시경 시행 약간의 출혈은 있었던 (혹은 지속되는) 모습으로 검은 내용물이 관찰됨 아래와 같이 3개의 궤양이 관찰됨 최근 정형외과 약을 간헐적/정기적으로?? ; 다음 내원시 약제 복용력 재확인하기로 하였다. 궤양에 의한 빈혈이라면 약제 유지하면서 2~3개월뒤 내시경 추적을 계획할수 있으나... (혈관이 매우 좋지 않고, 내시경시 수면/
2월 2일2분 분량


본태성 혈소판증가증 배경에서 두통의 호소.. - 동대문구 답십리, 전농동, 우리안애 우리안愛 내과
60대 중반 남자 25년에 수회 진료.. 설사/점액변으로 자주 와서 대장내시경도 상의했던 경우 당시 이빨이 거의 없기도 했고, 먹는것 변화 (미숫가루 바꾼?) 이후 연관성이 있었다. **대학교에서 혈소판 질환이라는데 명확하지 않았다. 아스피린도 복용중이라 혈액내과 문의 후 방문하도록 하였는데 끊고 검사하라고 하였다고 한다. 그런데, 다른약제를 보니... anagrelide, hydroxurea... 혈소판증가증 (본태성혈소판증가증, ET, essential thrombocytosis, thrombocythemia) 로 보인다. 최근 혈소판은 176 k 라고 하며... 어제부터 약이 바뀌었고? 컨디션이 좋지 않다고 내시경은 진행하지 않았었던 경우로 25년 11월 토혈로 입원도 했다고 하며... "목에서 식도에서 혈관이 터졌다." 26년 1월 두통으로 내원 1주일전부터 뒷골이 땡기고, 관자놀이가 터질듯? (맥동성) 잠을 못잘정도이며..
1월 31일2분 분량


알콜성 간경화 환자에서 QT 연장 (QTc prolongation), 당화혈색소와 혈당의 괴리, 비장기능항진증으로 혈구수치가 - 동대문구 답십리, 전농동, 우리안애 우리안愛 내과
https://blog.naver.com/ejercicio/223489828486 음주를 계속하고 있는 상기 환자, 오늘 내원시도 밤에 잠이 안와 어제부터 막걸리 3병을 마시고 내원 상기 환자 24년6월 이후 혈당, 특히 식후 혈당이 높을때가 많은데.. 최근 한달간 가정 공복은 150~200 정도 그러나, 당화혈색소는 아주 이상하지 않은데.. 괴리가 있다. 괴리에 대한 설명은 아래와 같이.. 혈당보다 높을수도/낮을수도 Hemoglobin A1c Has Suboptimal Performance to Diagnose and Monitor Diabetes Mellitus in Patients with Cirrhosis | Digestive Diseases and Sciences Multiple factors contribute to shortened red blood cell survival and changes in HbA1c seen in liver
1월 30일4분 분량


아주 미묘한 호흡곤란? 천식이 맞을것인가? .. 그 고려 과정... 빈혈에 의한 운동능력 저하로 봐도... - 동대문구 답십리, 전농동, 우리안애 우리안愛 내과
40대 후반 여자 숨이 가쁘다? (힘들다??) 요즘에... ; 2~3달 손을 들거나, 앉았다 일어날때.. 밤에 더 집안일을 많이 하니까?? 걸을때도?? 힘이 부치는... ... 검사도 하고 싶어서 왔다. ; 의미있는 증상인지? 그냥 검사하기 위해 만들어 낸 이유인지? (검사도 하고 싶어서 왔다가 주는 선입견) 증상이 강하지 않아 되묻게 되는데... 청진시 애매한, 호기말 천명음? 혹은 그냥 파이프에 바람부는 느낌이 살짝.. 햇빛 알레르기가 있으나.. 이외 알레르지 질환의 기왕력은 없으며... 혹시나 동물에 대한 질문; 햄스터 키운다.. 2년째... 아래의 경우들도 아주 강한 증상은 아닌데 보다 증상의 전달력이 약하다. https://blog.naver.com/ejercicio/223050124419 함요부종은 없으며, pitting edema (-) https://blog.naver.com/ejercicio/223240184962
2025년 12월 21일2분 분량


잠복결핵 투약 중 약제 부작용, 확율이 높은 성분의 제외 후 추적하여 확인 - 동대문구 답십리, 전농동, 우리안애 우리안愛 내과
https://blog.naver.com/ejercicio/223824818489 isoniazid 만 중지하고 rifampicin은 복용하면서 1주일뒤 추적 간수치/crp 감소, 백혈구 회복 --> rifampicin 단독으로 전체기간 4개월로...
2025년 4월 16일1분 분량


어지럽다; 실제 빈혈인 경우는 드물지만.. + 숨이차다, 백의고혈압+가정혈압계 이상+급격한 혈색소 감소 - 동대문구 답십리, 용답동, 우리안애 우리안愛 내과
이완기 혈압이 수축기 고혈압 기준을 넘는..... : 네이버블로그 ( naver.com ) 스크리닝에서는 고알도스테론증 양성이나... 초.. : 네이버블로그 ( naver.com ) 상기 환자 25년1월 병원 자동혈압 163/113 -...
2025년 4월 8일2분 분량


'폭싹 속았수다.' 관식의 혈액암, 다발성 골수종
https://v.daum.net/v/20250329074402980 항상 주변 사람에게 감사하며 잘해야겠습니다. 변해가는 부모님께 잘해야겠습니다. 전형적인 다발성 골수종 사례, 의원에서 보기 힘들지만 관식 처럼 모르고 살다가 온다면......
2025년 4월 2일1분 분량


빈혈에 대해 빙빙 헛돌다가... 식사 잘해도 철결핍? - 동대문구 답십리, 용답동, 우리안애 우리안愛 내과
80대 초반 여자 22년부터 검진에서 혈압이 높다고 하여 고혈압으로 본원 투약 시작 23년 7월 정기평가 꽤 낮은 빈혈에, MCH를 보았을 땐 철결핍 가능성은? 따라서 위장관 평가도 고려해야 하는데... 0002053 Hemoglobin(Hb)...
2025년 3월 11일2분 분량
bottom of page









