top of page


복부, 담낭초음파; 출산 후 상복부 경련성 통증으로 내원한 담석/담낭 오니 (gallbladder sand stones)
https://blog.naver.com/ejercicio/220884165415 동대문구 답십리 우리안애, 우리안愛 내과, 초음파 클리닉, 영상의학 클리닉, 내과 전문의 전병연 #동대문구내과 #성동구내과 #광진구내과 #답십리역 #장안평역 #용답역 #청량리역 #신답역 #한양대역 #왕십리역 #답십리사거리 #촬영소사거리 #전농동사거리 #내과 #국가검진 #위내시경 #대장내시경 #갑상선초음파 #복부초음파 #경동맥초음파 #심장초음파 #암검진 #래미안위브아파트 #엘림스퀘어 #두산아파트 #동아아파트 #한양아파트 #동답한신아파트 #두산위브아파트 #힐스테이트청계아파트 #래미안미드카운티 #청솔우성 #래미안크레시티 #롯데캐슬노블레스 #e편한세상답십리아르테포레
1일 전1분 분량


갑상선 초음파; 진행하는 갑상선염 소견과 동반된 크기 변화가 있는 림프절
https://blog.naver.com/ejercicio/220851532314 동대문구 답십리 우리안애, 우리안愛 내과, 초음파 클리닉, 영상의학 클리닉, 내과 전문의 전병연 #동대문구내과 #성동구내과 #광진구내과 #답십리역 #장안평역 #용답역 #청량리역 #신답역 #한양대역 #왕십리역 #답십리사거리 #촬영소사거리 #전농동사거리 #내과 #국가검진 #위내시경 #대장내시경 #갑상선초음파 #복부초음파 #경동맥초음파 #심장초음파 #암검진 #래미안위브아파트 #엘림스퀘어 #두산아파트 #동아아파트 #한양아파트 #동답한신아파트 #두산위브아파트 #힐스테이트청계아파트 #래미안미드카운티 #청솔우성 #래미안크레시티 #롯데캐슬노블레스 #e편한세상답십리아르테포레
1일 전1분 분량


복부, 신장초음파; 흡연자에서 우연히 발견된 신장암 의증, bosniak 3
https://blog.naver.com/ejercicio/220844269712 동대문구 답십리 우리안애, 우리안愛 내과, 초음파 클리닉, 영상의학 클리닉, 내과 전문의 전병연 #동대문구내과 #성동구내과 #광진구내과 #답십리역 #장안평역 #용답역 #청량리역 #신답역 #한양대역 #왕십리역 #답십리사거리 #촬영소사거리 #전농동사거리 #내과 #국가검진 #위내시경 #대장내시경 #갑상선초음파 #복부초음파 #경동맥초음파 #심장초음파 #암검진 #래미안위브아파트 #엘림스퀘어 #두산아파트 #동아아파트 #한양아파트 #동답한신아파트 #두산위브아파트 #힐스테이트청계아파트 #래미안미드카운티 #청솔우성 #래미안크레시티 #롯데캐슬노블레스 #e편한세상답십리아르테포레
1일 전1분 분량


복부, 담낭 초음파; 반복되는 담낭산통, 다수의 담석이 일렬
https://blog.naver.com/ejercicio/220724734311 동대문구 답십리 우리안애, 우리안愛 내과, 초음파 클리닉, 영상의학 클리닉, 내과 전문의 전병연 #동대문구내과 #성동구내과 #광진구내과 #답십리역 #장안평역 #용답역 #청량리역 #신답역 #한양대역 #왕십리역 #답십리사거리 #촬영소사거리 #전농동사거리 #내과 #국가검진 #위내시경 #대장내시경 #갑상선초음파 #복부초음파 #경동맥초음파 #심장초음파 #암검진 #래미안위브아파트 #엘림스퀘어 #두산아파트 #동아아파트 #한양아파트 #동답한신아파트 #두산위브아파트 #힐스테이트청계아파트 #래미안미드카운티 #청솔우성 #래미안크레시티 #롯데캐슬노블레스 #e편한세상답십리아르테포레
2월 2일1분 분량


하복부, 골반 초음파; 자궁선근증, 반복되는 빈혈과 방광 압박증상
https://blog.naver.com/ejercicio/220707508244 동대문구 답십리 우리안애, 우리안愛 내과, 초음파 클리닉, 영상의학 클리닉, 내과 전문의 전병연 #동대문구내과 #성동구내과 #광진구내과 #답십리역 #장안평역 #용답역 #청량리역 #신답역 #한양대역 #왕십리역 #답십리사거리 #촬영소사거리 #전농동사거리 #내과 #국가검진 #위내시경 #대장내시경 #갑상선초음파 #복부초음파 #경동맥초음파 #심장초음파 #암검진 #래미안위브아파트 #엘림스퀘어 #두산아파트 #동아아파트 #한양아파트 #동답한신아파트 #두산위브아파트 #힐스테이트청계아파트 #래미안미드카운티 #청솔우성 #래미안크레시티 #롯데캐슬노블레스 #e편한세상답십리아르테포레
2월 2일1분 분량


갑상선 초음파; 위축성 갑상선, 갑상선 기능저하
https://blog.naver.com/ejercicio/220691184787 동대문구 답십리 우리안애, 우리안愛 내과, 초음파 클리닉, 영상의학 클리닉, 내과 전문의 전병연 #동대문구내과 #성동구내과 #광진구내과 #답십리역 #장안평역 #용답역 #청량리역 #신답역 #한양대역 #왕십리역 #답십리사거리 #촬영소사거리 #전농동사거리 #내과 #국가검진 #위내시경 #대장내시경 #갑상선초음파 #복부초음파 #경동맥초음파 #심장초음파 #암검진 #래미안위브아파트 #엘림스퀘어 #두산아파트 #동아아파트 #한양아파트 #동답한신아파트 #두산위브아파트 #힐스테이트청계아파트 #래미안미드카운티 #청솔우성 #래미안크레시티 #롯데캐슬노블레스 #e편한세상답십리아르테포레
2월 2일1분 분량


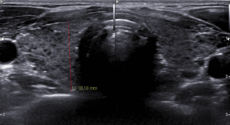
복부, 충수돌기 초음파; 상복부 통증과 구토가 주증상
https://blog.naver.com/ejercicio/220651697178 동대문구 답십리 우리안애, 우리안愛 내과, 초음파 클리닉, 영상의학 클리닉, 내과 전문의 전병연 #동대문구내과 #성동구내과 #광진구내과 #답십리역 #장안평역 #용답역 #청량리역 #신답역 #한양대역 #왕십리역 #답십리사거리 #촬영소사거리 #전농동사거리 #내과 #국가검진 #위내시경 #대장내시경 #갑상선초음파 #복부초음파 #경동맥초음파 #심장초음파 #암검진 #래미안위브아파트 #엘림스퀘어 #두산아파트 #동아아파트 #한양아파트 #동답한신아파트 #두산위브아파트 #힐스테이트청계아파트 #래미안미드카운티 #청솔우성 #래미안크레시티 #롯데캐슬노블레스 #e편한세상답십리아르테포레
2월 2일1분 분량


갑상선 초음파; 그레이스병, 갑상선항진증
https://blog.naver.com/ejercicio/220560952805 동대문구 답십리 우리안애, 우리안愛 내과, 초음파 클리닉, 영상의학 클리닉, 내과 전문의 전병연 #동대문구내과 #성동구내과 #광진구내과 #답십리역 #장안평역 #용답역 #청량리역 #신답역 #한양대역 #왕십리역 #답십리사거리 #촬영소사거리 #전농동사거리 #내과 #국가검진 #위내시경 #대장내시경 #갑상선초음파 #복부초음파 #경동맥초음파 #심장초음파 #암검진 #래미안위브아파트 #엘림스퀘어 #두산아파트 #동아아파트 #한양아파트 #동답한신아파트 #두산위브아파트 #힐스테이트청계아파트 #래미안미드카운티 #청솔우성 #래미안크레시티 #롯데캐슬노블레스 #e편한세상답십리아르테포레
1월 29일1분 분량


복부, 충수돌기 초음파; 증상변화시 초음파 시행
https://blog.naver.com/ejercicio/220535514153 동대문구 답십리 우리안애, 우리안愛 내과, 초음파 클리닉, 영상의학 클리닉, 내과 전문의 전병연 #동대문구내과 #성동구내과 #광진구내과 #답십리역 #장안평역 #용답역 #청량리역 #신답역 #한양대역 #왕십리역 #답십리사거리 #촬영소사거리 #전농동사거리 #내과 #국가검진 #위내시경 #대장내시경 #갑상선초음파 #복부초음파 #경동맥초음파 #심장초음파 #암검진 #래미안위브아파트 #엘림스퀘어 #두산아파트 #동아아파트 #한양아파트 #동답한신아파트 #두산위브아파트 #힐스테이트청계아파트 #래미안미드카운티 #청솔우성 #래미안크레시티 #롯데캐슬노블레스 #e편한세상답십리아르테포레
1월 29일1분 분량


복부, 담낭 초음파; 담낭산통의 배경에서 다수의 담석과 금식에도 수축되어 있는 담낭
https://blog.naver.com/ejercicio/220502728170 동대문구 답십리 우리안애, 우리안愛 내과, 초음파 클리닉, 영상의학 클리닉, 내과 전문의 전병연 #동대문구내과 #성동구내과 #광진구내과 #답십리역 #장안평역 #용답역 #청량리역 #신답역 #한양대역 #왕십리역 #답십리사거리 #촬영소사거리 #전농동사거리 #내과 #국가검진 #위내시경 #대장내시경 #갑상선초음파 #복부초음파 #경동맥초음파 #심장초음파 #암검진 #래미안위브아파트 #엘림스퀘어 #두산아파트 #동아아파트 #한양아파트 #동답한신아파트 #두산위브아파트 #힐스테이트청계아파트 #래미안미드카운티 #청솔우성 #래미안크레시티 #롯데캐슬노블레스 #e편한세상답십리아르테포레
1월 29일1분 분량
bottom of page









