top of page


의사선생님의 진료 방문, 담낭에 대한 걱정으로.. 초음파로 배제 - 동대문구 답십리, 전농동, 우리안애 우리안愛 내과
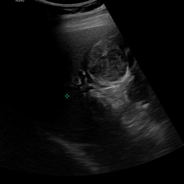
https://blog.naver.com/ejercicio/223164810850 상기 환자 24년도 진료 2회 .. 그리고 25년도 방문 어제부터 식후 명치/우상복부/등쪽 누르는 통증... 저녁에 자다가 불편해서 깰정도.. ~2시간? 누르는 느낌.. ; 증상은 아주 명료하지 않은데.. (담낭산통, 담석증으로 보기엔) 본인은 담낭걱정... 촉진시 압통은 없으며... 역시나 의사이므로 증상을 상의하고, 배제하기 위한 초음파를 결정함 담낭 및 담관에 특이소견 없음. 지금은 증상이 거의.. 증상적 투약 후 변화있는지 관찰/추적하기로 함 그 외 비장과, 왼쪽 신장사이에 작은 결절이 보이는데 부비장일수도 있겠다. 1년뒤 추적하기로 함 부비장과 부신우연종의 구별이 쉬울 것인가? https://blog.naver.com/ejercicio/221548748297 우측일때는 부비장은 아니니... 부신우연종 https://blog.naver.com/e
1월 31일1분 분량


본태성 혈소판증가증 배경에서 두통의 호소.. - 동대문구 답십리, 전농동, 우리안애 우리안愛 내과
60대 중반 남자 25년에 수회 진료.. 설사/점액변으로 자주 와서 대장내시경도 상의했던 경우 당시 이빨이 거의 없기도 했고, 먹는것 변화 (미숫가루 바꾼?) 이후 연관성이 있었다. **대학교에서 혈소판 질환이라는데 명확하지 않았다. 아스피린도 복용중이라 혈액내과 문의 후 방문하도록 하였는데 끊고 검사하라고 하였다고 한다. 그런데, 다른약제를 보니... anagrelide, hydroxurea... 혈소판증가증 (본태성혈소판증가증, ET, essential thrombocytosis, thrombocythemia) 로 보인다. 최근 혈소판은 176 k 라고 하며... 어제부터 약이 바뀌었고? 컨디션이 좋지 않다고 내시경은 진행하지 않았었던 경우로 25년 11월 토혈로 입원도 했다고 하며... "목에서 식도에서 혈관이 터졌다." 26년 1월 두통으로 내원 1주일전부터 뒷골이 땡기고, 관자놀이가 터질듯? (맥동성) 잠을 못잘정도이며..
1월 31일2분 분량


장염에 초음파? 베트남 응급실에서... 우연히 발견된 다른 소견에 대한 진료 - 동대문구 답십리, 장안동, 우리안애 우리안愛 내과
10대 초반 남아 약 한달전에 베트남 여행시 장염으로 (설사했는지 등.. 자세히 증상을 확인하진 않음), 응급실 갔더니 초음파? 를 했고, 간에 혹이 있다고... ; 번역한 사진을 보이 8번 구획에 4 mm 초음파 사진에 아래와 같이 4~5 mm 크기가 7~8번 segment 경계즈음에 관찰된다. 보통 혈관종으로 보게 되고... 알게 되었으니 1년뒤 추적 계획 "베트남 의사 2명이 보더라." ... 초음파 연습을 한것 같은 상황 설사하는데 초음파? 얻을 정보가 없다고 생각되는데...굳이 봐서 상관없는 소견에 대한 정보를 전달한셈 초음파 본건 둘째치고... 추적이나/진료나 잘 해주었다면... https://blog.naver.com/ejercicio/223099387689 ... 설사가 없는 복통으로 국소적 압통이 있으면 다른 질환과 구별하기 위해 초음파를 시행 장간막림프절염 및 영상의학적 장염 https://blog.naver.com
1월 31일2분 분량


9일만에 반점/수포가 발생한 대상포진, 외측피부신경포착인가 하였으나.. - 동대문구 답십리, 장안동, 우리안애 우리안愛 내과
50대 초반 남자, 초진 4일전부터 옆구리가 따끔... 찌릿.. 움직이거나 이동할때.. 앞쪽 겨드랑이선을 따라 아래 복부 T8 level로 생각되는데.. ; 묘사하는 신경통 양상에서 lateral cutaneous entrapment, 외측피부신경포착으로 보이는데.. 증상은 국소적이고 앞으로 방사하는 양상의 기술은 아니었다. https://blog.naver.com/ejercicio/223315776239 https://blog.naver.com/ejercicio/223266212645 적응증으로는 부족하나 담낭등의 걱정도 하고 내원하여 복부 초음파 시행, 증상과 관계없는 담낭용종이 2개.. 대상포진 걱정하는데... 따라서 피부병변 발생하는지 관찰하기로 함 신경통 관련 약제 포함 증상적 투약 후 지속된다면 신경포착에 대한 통증의학과 진료를 계획하기로 하였다. 5일뒤 부인의 방문 남편이 출근해서 보내준 사진을 보여주는데... 한 체절 (der
1월 31일1분 분량


늑골연골염으로 생각하다... 복벽피신경포착으로 의뢰, 압통점 판단에 따라 - 동대문구 답십리, 용답동, 우리안애 우리안愛 내과
40대 중반 남자 21, 23년 본원에서 국가검진 시행 25년 10월 내원 1주일 명치가? 다른 의원에서 투약 한번 없어지다가 불편해서 (쿡쿡>>쥐어짜는보다..) 누워서 눌렀더니 이후 .. 지속? 이때 압통은 없어서.. 검진계획하고 초음파를 상의함 1주일뒤 내원 진료실 혈압 148/98 (23년도 진료실 혈압 158/114) ; 가정 혈압계 근래에 구매해서 가정혈압은 130대~140 초반이라고 하는데... --> 가정혈압계 가지고 진료, 재판단하기로 함 지난번 묘사했던 복통은... 조금 나아진듯.. 쿡쿡하는 양상 내시경 시행하고 초음파 시행; 지방간이외에 종괴성 병변은 없으며.. ... 1주일 뒤 내원 어제부터 뜨끔.. 우상복부.. 촉진시 쇄골의 1/3 내측 너비에서 갈비뼈 하연 (연골부위) 에 국소적 압통으로 보아.. 흉골/늑골연골염으로 보고 진통제등 처방하였는데... 가정혈압계 진료실해서 158/100 진료실 수동혈압 150/
1월 30일5분 분량


갑작스런 한쪽 안검하수가 뇌동맥류의 압막에 의한 3번신경 마비의 증상이었던 경우를 들어보다 - 동대문구 답십리, 전농동, 우리안애 우리안愛 내과
60대 중반 여자 21년 검진때 헬리코박터 양성이나 투약을 선택하지 않았고 혹은.. 혈뇨 얘기만하느라.. (남편이 혈뇨있었고 방광암) 23년 확인시 21년 비뇨기과에서 CT찍고 괜찮다고 했다고하며 (방광경은 하지 않은것 같으며..) 23년도에도 현미경적 혈뇨는 2~3+ 로 지속 ... 간헐적 진료를 보아왔는데... 약 1년반만에 내원, 영양제 수액 때문에 내원하긴 했으나.. 그 배경은 1년전에 한쪽 눈꺼풀이 떨어져서 눈이 떠지지 않아.. 바로 **대학교 응급실 갔으며 뇌동맥류에 의한 증상으로 확인되어 개두술 (클립) 을 받았다고 한다. A drooping eyelid can be one of the first signals of a third-nerve palsy resulting from a cerebral aneurysm that is otherwise asymptomatic, a condition known as oculomotor n
1월 30일1분 분량


아이가 A형 독감.. 이후 엄마도 열이.. A형 독감 확인 - 동대문구 답십리, 전농동, 우리안애 우리안愛 내과
30대 후반 여자 24년 초반에 B형 독감 투약력 24년 10월, 후비루에 의한 기침으로 내원 한번 투약후... 호전 내원전 이비인후과에서 항생제 4일간 감기에 항생제가 남용되는 ... 감별의 노력이.. : 네이버블로그 이번엔 아이가 A형 독감인데... 어제부터 열감, 내원시 37.2로 경계값 두통/인후통/근육통 기침약간/콧물약간... 주변에 환자가 있으면 확율이 올라가니 독감검사 시행, A형 양성 경정맥 항바이러스 투약함, 페라미비르 이후 추적방문은 없었으니 늘어지는 기침 증상으로 진행하지는 않은 것으로 보인다. 혹은 최근 독감과 폐렴이 동시에 같은 상황은 드물지만 항상 고려를 해야한다. 폐렴과 겹친 A형 독감, 진단적 판단과 회복 .. : 네이버블로그 동대문구 답십리 우리안애, 우리안愛 내과, 건강검진 클리닉 내과 전문의 전병연 #동대문구내과 #성동구내과 #광진구내과 #답십리역 #장안평역 #용답역 #청량리역 #신
1월 30일1분 분량


1달전부터 갑작스런 호흡곤란, 만성폐쇄성폐질환 악화 이외에 다른 가능성은? 투약 후 호전되는 추세이나.. - 동대문구 답십리, 전농동, 우리안애 우리안愛 내과
60대 후반 남자, 초진 1달 접종 이후.. 감기 (콧물/기침) 도 있으면서 숨이차다. 이비인후과 처방, 3번 투약함 - 숨찬 사람을 3번이나 보았으면 ... 계획/생각이라도 있다면 의뢰서라도 발부하던지 ... 환자는 아무 자료도 없이 방문하였다. 점점 심해진다. 가만이 있어도... 7일정도 누워서 못잤다.. 앉아서 잤다. 현재는 목에 가래가 있는 증상만 더해서.. 청진에서 폐음은 전반적으로 감소; decreased lung sound LUQ 앞쪽에서 들이쉴때 드드렁... 함요부종은 없으며, pitting edema (-) 심음은 특이하지 않고... RHB s m, rapid --> 자동혈압/맥막 181/105 - 98/min 진료실 수동혈압 162/108 ; "금연 코로나/독감 접종때도 혈압은 괜찮았다." 숨이차서 올라갔을수도 있으며... 산소포화도 확인 96% 흡연력 50년!, "1주일전에 담배 끊었다." 숨찬 증상의 정도 및 걱정에
1월 30일2분 분량


재개통된 제대정맥, 정맥관인대열을 통해 좌문맥의 제대부와 연결되는 모습, 흐름은 간에서 배꼽으로 - 동대문구 답십리, 전농동, 우리안애 우리안愛 내과
알콜성 간경화 환자에서 QT 연장 (QTc p.. : 네이버블로그 상기 환자 다음날 간암검진 과거에도 제대정맥이 재개통되어 있었는데 ligamentum venosum (정맥관인대열) 과의 연결은 명확하지 않았다. https://blog.naver.com/ejercicio/223489828486 다시 관찰을 잘 해보면 정맥관인대열에 보이지 않아야 할 혈관구조가 보이며 위아래 방향에서 보았을 때 간내 좌간문의 제대부와 연결되는 것을 볼수 있다. 도플러의 방향 (빨간색이므로 화면에 가깝게) 은 간에서 배꼽으로 (간문맥 고혈압의 영향) 구불구불 경로지만 도플러가 연결되는 경로를 그려볼수 있다. 두 사진을 붙여보면 왼쪽의 좌간문맥의 제대부에서 부터 배꼽에 가까워지면 복직근 중앙의 linea alba (백선) 로 표면에 가까워진다. 수평으로 다시 관찰할수 있는데 표면에 가까운 linea alba (백선) 에서 위쪽으로 경로를 따라가보았다. 시계방향으로 돌아가
1월 30일1분 분량


근육 기원의 간수치 상승 의심, 신검 전에 열심히 운동... - 동대문구 답십리, 전농동, 우리안애 우리안愛 내과
10대 후반 남자, 초진 약 한달전 신검에서 AST/ALT 140대/54 정도 였다고 하며... 고지혈도 높았고... 술은 하지 않는데 AST가 ALT보다 상승한 모습이니.. 그때 상황을 확인 ; 당시 신검전에 웨이트에 심취했고! 현재 체중은 체지량지수 23.8로 과체중 상태 근육기원의 원인으로 생각하며 추적 검사, 정상이 기대되며... 특이소견 없었으며 시간이 충분히 지난 과거의 운동이었으므로 CK도 정상 아래 경우와 비슷하게 된다. 간수치가 올랐다? 얼마나?? ... MTB로 .. : 네이버블로그 몇일 지나서 추적한다면, CK도 올라있고.. https://blog.naver.com/ejercicio/223840511625 LDL은 144.8 이 되며 위험인자가 없는 경우 관찰 B형 간염 핵심항체만 양성인데.. 경계값이라 의미가 모호해 보인다. 추후 기회 있을 때 재검해보기로 하였다. 수치가 올라간 상태에서 구별할때 장기간 용량이었으나 증
1월 30일1분 분량
bottom of page









