top of page
우리안愛 내과
A Healthier You Begins Here
병원소개
진료과목
진료내용, BLOG
병원소식
ENGLISH
더보기
Use tab to navigate through the menu items.
loveinwoori@gmail.com
대표전화 02-2216-1566
전체 게시물
(3,200)
게시물 3,200개
병원 소식
(45)
게시물 45개
의학 정보
(5)
게시물 5개
순환기
(470)
게시물 470개
소화기
(1,166)
게시물 1,166개
호흡기
(336)
게시물 336개
내분비
(558)
게시물 558개
신장
(200)
게시물 200개
감염
(286)
게시물 286개
류마티스
(16)
게시물 16개
혈액
(53)
게시물 53개
기타
(681)
게시물 681개
AI 요약
(6)
게시물 6개
초음파 영상의학 센터
(12)
게시물 12개
위험음주자로서? 간경화 설명의 시작 (2), 과거에도 비슷한 모습이 일부 - 동대문구 답십리, 전농동, 우리안애 우리안愛 내과
16시간 전
2분 분량
위험음주자로서 간경화 설명의 시작 - 동대문구 답십리, 전농동, 우리안애 우리안愛 내과
16시간 전
2분 분량
뚜렷한 발한... B형 독감의 확인 - 동대문구 답십리, 전농동, 우리안애 우리안愛 내과
16시간 전
1분 분량
인공지능 시대, chatGPT, 챗GPT 로 검색후 복부초음파 위해 내원 - 동대문구 답십리, 장안동, 우리안애 우리안愛 내과
17시간 전
4분 분량
1
2
3
4
5
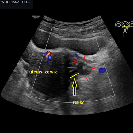
자궁옆 낭종? 종괴?? 리뷰시 줄기가 보여 장막하 근종 가능성; 복부 평가시 발견되는 골반 병변들 - 동대문구 답십리, 중곡동, 우리안애 우리안愛 내과
기타
2024년 3월 11일
3분 분량
cecal diverticulitis, 맹장 게실염의 대장내시경, 초음파 소견과 비교, 충수돌기 내부의 경이 있는 용종! .. 제거함 - 동대문구 답십리, 장안동, 우리안애 내과
소화기
2024년 3월 11일
2분 분량
반발압통, rebound tenderness, 복막자극 증후가 있는데 초음파 소견은 없는... - 동대문구 답십리, 장안동, 우리안애 우리안愛 내
소화기
2024년 3월 11일
2분 분량
알레르기 배경이 없는, 흡연을 중지할 호흡곤란.. 개털깍은 후부터... 의심이 - 동대문구 답십리, 용답동, 우리안애 우리안愛 내과
호흡기
2024년 3월 11일
1분 분량
촉진시 압통은 없는데 일시적 혈변의 세균성 장염? 외래 추적시 호전없이 변급/요급을 확인 후 항생제 시작, 임상적 호전의 확인 - 동대문구 답십리, 전농동, 우리안애 우리안愛 내과
소화기
2024년 3월 11일
2분 분량
최근 인지한/관찰되는 갑상선 부위, 경부 종괴... 일부 낭성 병변으로 세침을 통한 흡인 - 동대문구 답십리, 장안동, 우리안애 우리안愛 내과
내분비
2024년 3월 11일
1분 분량
당뇨병/알콜성 신경병증 증상에 부종의 발생, 약제 중지후 호전되어 약제 유발 부종으로 판단 - 동대문구, 답십리, 장안동, 우리안애 우리안愛 내과
내분비
2024년 3월 11일
4분 분량
70대 대장내시경에서 육안적으로 거치상 용종의 확인 및 제거, 조직검사 결과 확인 필요 - 동대문구 답십리, 전농동, 우리안애 우리안愛 내과
소화기
2024년 3월 7일
1분 분량
기침, 가래... 호흡곤란...과거에도 아주 가끔....; 개를 키우고.. - 동대문구 답십리, 장안동, 우리안애 우리안愛 내과
호흡기
2024년 3월 7일
1분 분량
독감키트 민감도, 위음성에 대한 고찰... 제조사에 따른 차이는? - 동대문구 답십리, 전농동, 우리안애 우리안愛 내과
호흡기
2024년 3월 7일
1분 분량
94
95
96
97
98
bottom of page