top of page
우리안愛 내과
A Healthier You Begins Here
병원소개
진료과목
진료내용, BLOG
병원소식
ENGLISH
더보기
Use tab to navigate through the menu items.
loveinwoori@gmail.com
대표전화 02-2216-1566
전체 게시물
(3,196)
게시물 3,196개
병원 소식
(45)
게시물 45개
의학 정보
(5)
게시물 5개
순환기
(470)
게시물 470개
소화기
(1,165)
게시물 1,165개
호흡기
(335)
게시물 335개
내분비
(558)
게시물 558개
신장
(200)
게시물 200개
감염
(286)
게시물 286개
류마티스
(16)
게시물 16개
혈액
(53)
게시물 53개
기타
(681)
게시물 681개
AI 요약
(6)
게시물 6개
초음파 영상의학 센터
(11)
게시물 11개
B형간염도/위험음주자가 아닌데 간경화 설명의 시작? 지방간/지방간염의 결과로 봐도 될지 (3), 재진; 초음파 변화가 인지됨 - 동대문구 답십리, 장안동, 우리안애 우리안愛 내과
12시간 전
1분 분량
B형간염도/위험음주자가 아닌데 간경화 설명의 시작? 지방간/지방간염의 결과로 봐도 될지 (2), 재진; 초음파 변화가 인지됨 - 동대문구 답십리, 마장동, 우리안애 우리안愛 내과
12시간 전
2분 분량
감기 --> 후비루에 의한 기침, 흉골연골염 --> 폐렴의 발생, 진료의의 증상 경험 - 동대문구 답십리, 전농동, 우리안애 우리안愛 내과
12시간 전
2분 분량
하복부, 골반 초음파; 난소종양
12시간 전
1분 분량
1
2
3
4
5
백의 고혈압만... 최근 타의원 처방을 복용하지 않고 방문 - 동대문구 답십리, 전농동, 우리안애 우리안愛 내과
순환기
2025년 1월 29일
1분 분량
항생제 복용 후 배변습관 변화로 내원.. 감기에 항생제 처방? 을 시간적 인과관계로 고려 - 동대문구 답십리, 전농동, 우리안애 우리안愛 내과
기타
2025년 1월 29일
1분 분량
과거 급성췌장력 기왕력에 지속적인 위험 음주, 인슐린 저하 당뇨에서 다수의 췌장 석회화가 관찰되는 초음파적 만성췌장염 소견 - 동대문구 답십리, 전농동, 우리안애 우리안愛 내과
소화기
2025년 1월 29일
2분 분량
크기가 어느정도 이상 커지면 복통이.. 자궁 기형 배경에서.. 양측 난소? 종괴, Krukenberg tumor 가능성은? - 동대문구 답십리, 전농동, 우리안애 우리안愛 내과
기타
2025년 1월 29일
4분 분량
매우 위험한 음주, 미묘한 간의 변화, 앞으로는? - 동대문구 답십리, 전농동, 우리안애 우리안愛 내과
소화기
2025년 1월 29일
1분 분량
수동 혈압 측정시 불규칙한 맥박이 의심되어 확인, 심방세동 - 동대문구 답십리, 장안동, 우리안애 우리안愛 내과
순환기
2025년 1월 29일
1분 분량
아주 약간의 청진음? 임상적으로 호전중이라 참조만... - 동대문구 답십리, 용답동, 우리안애 우리안愛 내과
호흡기
2025년 1월 29일
1분 분량
흉수를 동반한 다수의 결절성 침윤, 속립성 결핵 vs. 림프관성 암종증 - 동대문구 답십리, 전농동, 우리안애 우리안愛 내과
호흡기
2025년 1월 27일
1분 분량
아급성 호흡곤란? 증상, 의외의 소견, 폐종양에 의한 압박을 고려 - 동대문구 답십리, 전농동, 우리안애 우리안愛 내과
호흡기
2025년 1월 27일
2분 분량
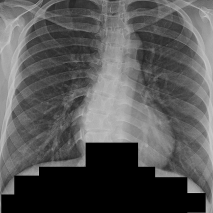
폐렴 유무과 상관없이 항생제를 사용하고 있으니 기존 의원 추적하도록 안내 - 동대문구 답십리, 전농동, 우리안애 우리안愛 내과
호흡기
2025년 1월 27일
1분 분량
49
50
51
52
53
bottom of page