top of page
우리안愛 내과
A Healthier You Begins Here
병원소개
진료과목
진료내용, BLOG
병원소식
ENGLISH
더보기
Use tab to navigate through the menu items.
loveinwoori@gmail.com
대표전화 02-2216-1566
전체 게시물
(3,196)
게시물 3,196개
병원 소식
(45)
게시물 45개
의학 정보
(5)
게시물 5개
순환기
(470)
게시물 470개
소화기
(1,165)
게시물 1,165개
호흡기
(335)
게시물 335개
내분비
(558)
게시물 558개
신장
(200)
게시물 200개
감염
(286)
게시물 286개
류마티스
(16)
게시물 16개
혈액
(53)
게시물 53개
기타
(681)
게시물 681개
AI 요약
(6)
게시물 6개
초음파 영상의학 센터
(11)
게시물 11개
B형간염도/위험음주자가 아닌데 간경화 설명의 시작? 지방간/지방간염의 결과로 봐도 될지 (3), 재진; 초음파 변화가 인지됨 - 동대문구 답십리, 장안동, 우리안애 우리안愛 내과
1시간 전
1분 분량
B형간염도/위험음주자가 아닌데 간경화 설명의 시작? 지방간/지방간염의 결과로 봐도 될지 (2), 재진; 초음파 변화가 인지됨 - 동대문구 답십리, 마장동, 우리안애 우리안愛 내과
1시간 전
2분 분량
감기 --> 후비루에 의한 기침, 흉골연골염 --> 폐렴의 발생, 진료의의 증상 경험 - 동대문구 답십리, 전농동, 우리안애 우리안愛 내과
1시간 전
2분 분량
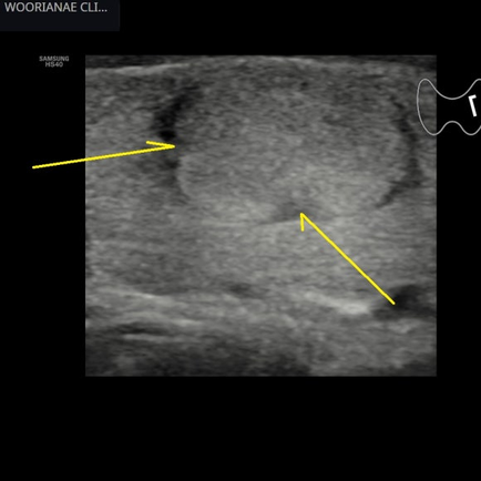
하복부, 골반 초음파; 난소종양
1시간 전
1분 분량
1
2
3
4
5
1주일간 호전되지 않는 복통과 설사.. 늘어지는 세균성 장염의 모습 - 동대문구 답십리, 전농동, 우리안애 우리안愛 내과
소화기
2025년 5월 26일
1분 분량
경구개 (hard palate) 에 다수의 수포... 헤르페스, intraoral herpes; 외래추적 - 동대문구 답십리, 장안동, 우리안애 우리안愛 내과
감염
2025년 5월 26일
1분 분량
한번은 짧은 추적, 없어진듯 하였으나... 3년뒤 추적시 고등급 위선종; 육안적/조직학적 변화에 대한 고찰 - 동대문구 답십리, 장안동, 우리안애 우리안愛 내과
소화기
2025년 5월 23일
2분 분량
충수돌기염 같지 않은 충수돌기염, 증상을 들으며 촉진해볼지에 대한 결정 - 동대문구 답십리, 전농동, 우리안애 우리안愛 내과
소화기
2025년 5월 23일
1분 분량
경구개 (hard palate) 에 다수의 수포... 헤르페스? intraoral herpes - 동대문구 답십리, 장안동, 우리안애 우리안愛 내과
기타
2025년 5월 23일
2분 분량
크기 변화가 있는 갑상선 결절, 여포성 종양... 가능성 - 동대문구 답십리, 은평구, 우리안애 우리안愛 내과
내분비
2025년 5월 23일
3분 분량
제왕절개 흔적 근처에 위치한 피하 결절, 복벽 자궁내막증 가능성은? 우선 산부인과로 재의뢰 - 동대문구 답십리, 용답동, 우리안애 우리안愛 내과
기타
2025년 5월 22일
2분 분량
일측 전폐절제술 받은 분의 손바닥 혈색, 약간의 청색증처럼 보이나... 산소포화도의 확인 - 동대문구 답십리, 전농동, 우리안애 우리안愛 내과
호흡기
2025년 5월 22일
1분 분량
과거력에 의한 선입견, 실신전 상태 (presyncope) 의 증상은 빈혈보다는 빈맥? - 동대문구 답십리, 장안동, 우리안애 우리안愛 내과
순환기
2025년 5월 22일
1분 분량
폐렴에 대한 항생제 복용중 구강 칸디다증의 확인 - 동대문구 답십리, 전농동, 우리안애 우리안愛 내과
감염
2025년 5월 22일
2분 분량
32
33
34
35
36
bottom of page