top of page


다낭성난소증후군 배경의 지방간 및 간수치 상승, 간 및 난소의 초음파 소견
20대 후반 여자 산부인과에서 다낭성난소증후군으로 다니는 중 간수치가 높아서 평가 위해 내원 체질량 지수 24.6으로 과체중 정도 초음파상 경증~중등도로 명확한 지방간 변화 담낭 주변에 지방간 결여 부분이 관찰됨 내장 지방은 두껍지...
2021년 2월 24일1분 분량


식사후 명치 통증 및 구토, 불임시술과는 관련없는 기존 반복되는 역류 증상으로 생각됨
30대 후반 여자 수일간 식사하면 너무 아파진다. 찌르는듯.. 상복부 토하면 편해지고... 2020년 헬리코박터 제균 및 제균 여부 확인력 불임클리닉 다니는 중이나 약은 비타민 정도 현재 특별히 호르몬관련 투약이나 피하 주사는 하고 있지...
2021년 2월 24일1분 분량


타병원 검진 대변 잠혈 양성, 대장내시경상 과증식 혹은 거치상 용종, 스쳐 지나갈 수 있는...
50대 후반 여자 작년 7월 타 의원 검진에서 잠혈 양성 대장 내시경은 수년전 오래전에... 상행결장에서 납작하게 스치듯이 지나가는 병변, 표면에 약간의 찌꺼기/점액이 묻어 있는 어디일까요? 4~5시 방향에 병변이 위치한다. 크기는 9~10...
2021년 2월 24일1분 분량


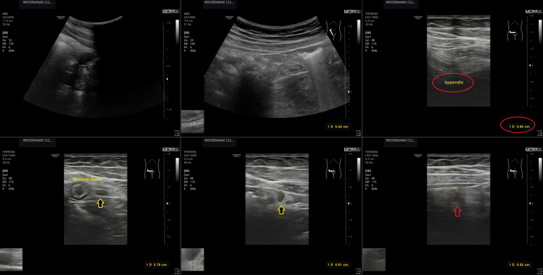
"심하게 가스찬다." 팽만감 과 이곳저곳 복통, 그러나 우하복부 압통, 림프절염? 충수돌기염? 약제치료 후 추적 계획
30대 중반 남자 4일전부터 팽만감, 가스차는 느낌이 심하다. 아랫배, 우측배, 윗배 누르면 아프고... 조금만 먹어도 가스찬 느낌이 심하다. 2일전부터 약간 호전 신체검사상 우하복부에서 약간 상방으로.. 압통이 명확 게실염 감별 확인,...
2021년 2월 24일1분 분량


대장암 검진, 대변 잠혈 양성, 대장 루프 생성에도 맹장까지 진입시도, 원인병변이 맹장에! 수검자 움직임으로 조직검사만..염증성 용종?
50대 중반 남자 타원에서 대장암 검진, 대변 잠혈 양성으로 2차검진, 내시경 위해 내원 쿨프렙 복용 후 검사 시행 (참조; 2020.1.1일 부터 1L 약제인 크린뷰올도 대장암 검진에서 승인되었다. 아래와 같이 S결장에서 루프가 형성되면...
2021년 2월 24일2분 분량


타원 면역억제제 포함 투약중 악화된 궤양성 대장염, 범위도 넓어진 (left-sided colitis), 기존약제 실패시 다음 계획은?
20대 초반 남자 4일전부터 변에 묻는 정도의 혈변으로 내원 두군데 대학병원에서 치료받았으며 약 1년반동안... 내원 3개월전까지 약간의 혈변 간헐적 스테로이드 수개월 사용 후 azathioprine 면역억제제 및 mesalamine 복용중...
2021년 2월 24일1분 분량


심한 혈변에 대한 대장내시경 평가, 임상적으로 세균성 대장염 진단하 회복후 평가, 흉터를 남길정도의 흔적
https://blog.naver.com/ejercicio/222169013429 상기 환자 증상 회복된 상태에서 대장내시경 평가함 근위부 S 결장에 궤양이 생겼다가 아문 흉터 흔적 위암 수술 이외 (복부수술력으로서 위험인자) 에 만성질환은...
2021년 2월 23일1분 분량


타내과 장염 처방 후 복통 지속되어 내원, 충수돌기 말단부 천공 의심 및 복수, 장간막림프절 비대 확인; 충수돌기염천공
12세 남아 2일전부터 증상 2일전, 하루전 설사 1회 어제 구토 2회 ; 근처 타 내과 진료 받고 장염약 처방 받음 "누르는 느낌이 난다. 위치가 변한다. 걸을 때 울린다." 신체검사상 우하복부에서 골반저까지 명확한 압통 충수돌기염...
2021년 2월 23일1분 분량


10 mm 이하의 대장 용종, 점막하 절제술로 완전 절제하였으나 의외로 점막하 대장암
https://blog.naver.com/ejercicio/222183079443 상기 환자 조직결과 조직결과 점막하 대장암; 수술의뢰 예정 [ GROSS ] ================================================...
2021년 2월 23일2분 분량


용종이긴 하나 선종이나 과증식 용종/거치상 용종이 아닌경우, 국소적 대장 기종, pneumatosis coli
고혈압 투약 중인 40대 초반 과거 통풍, 고지혈증 투약력 초진 환자로 검사 위해 내원 대장내시경상 7 mm 크기의 용종 관찰됨 표면이 단단하고 내시경 선단으로 눌러봤을 때 보통의 선종이 아닌 느낌 (단단하게 밀리는 느낌, 점막하...
2021년 2월 23일1분 분량
bottom of page










