진단을 방해하는? 길고 긴 과거 증상의 기술... 혈뇨 양성으로 결석에 대한 추가 검사 위해 상급 병원 의뢰 - 동대문구 답십리, 용답동, 우리안애 우리안愛 내과
- Byoung-Yeon Jun

- 2022년 4월 15일
- 2분 분량
40대 초반 남자, 초진
사타구니 인대 직상방이 아프다 주소로 내원
... 그러나 언제부터?
; 약 20년, 스트레스 받으면 쑤시고 뻐근할때가 있다.
수년전부터는 신경이 쓰이기 시작
... 그러나 오늘 방문한 이유는 어제의 통증때문 (초기 장기적인 기간의 증상 기술로 인해 증상판단에 어려움이 야기되었다.)
자다가 깰정도로 뻐근... 식은땀도 있으며...
이것 저것 복통에 대해 설명하다 보니..
뜨끔, 에이듯이 아플때도 있다? 전기오는거 같이...
운동하다가 허리가 아픈데.. 합쳐진거 같기도 하고??
눌러서 통증은 없으며; 압통 (-)
하부요로의 요로결석 가능성을 염두에 두고 늑골각 압통을 확인하였으나 없었다.
다음의 가능성을 상담함, 오래된 복벽피신경포착증후군? 간헐적이 탈장?
대장내시경등 시행하고 외래를 여러본 보다가 탈장을 의심하게 된 경우
급성 증상에서는 복막수염도 있으나, 신체검사상 압통은 없으니...
긴 진료 중에 어제는 급성이며 안절부절 못할 정도의 증상으로 과거와 다른 모습으로 판단되어, 늑골각 압통은 없으나.. 요로결석도 고려할 수 있으며 하부요로 결석 사례를 보여주었다.
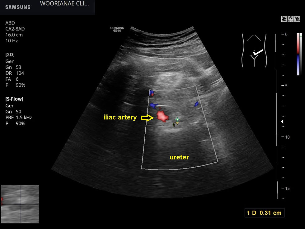
초음파를 시행하였으며 왼쪽 신장에 신우는 (pelvic ureter) 관찰되나 뚜렷한 확장이 아니며

남자로서 큰 체구이므로 소장의 공기에 가려 잘 보이지 않으나 요관의 두번째 협착부인 장골동맥 상방을 관찰하려는 노력을 하였음에도 결석은 발견하지 못하였다.

탈장의 관점에서 양측 서혜부를 관찰하였으며 헷갈릴 수 있지만 정삭 (spermatic cord) 이 양측에 약간 볼록하게 나와 있으나 대칭적으로 주행하는 것을 확인하였다. 정삭을 따라 혹은 hasselbach triangle에 뚜렷한 탈장 소견은 관찰되지 않았다.


초음파에서 별로 의심이 되지 않는데
마지막으로 확인한 소변에서 잠혈, occult blood 3+로 강양성을 확인하였다.

벌써 빠진 돌의 가능성은? passing stone??
<비전형적인 모습을 보였던 요로결석>
긴 기간 많은 횟수의 증상, 한쪽으로 치우치지 않은 ? 증상
우연히 혈뇨가 확인된 후 자연히 배출된 경우
무증상의 요로결석, 신우의 확장이 심하고 신장 실질의 위축
장기는 다르나 폐쇄 이후 자연히 빠져나간 총담관 담석
어제의 급성 증상은 과거의 증상과 다른 것으로 생각되며, 혈뇨 3+ 양성으로 초음파에서 관찰되지 않는 요로결석의 감별이 우선 필요할 것으로 생각되어 CT 혹은 IVP 를 통한 혈뇨 평가를 위해 상급병원 비뇨기과 방문하기로 결정함
위에 환자처럼 진이 빠지게 진료보고 평가했던 최근의 경우
증가된 염증 소견 및 신체검사를 표현할 초음파적 증상이 불분명했던 경우, liquefaction (액화) 가 보이기 전의 간농양으로 판단됨
범위가 매우 넓고 농양을 동반했던 게실염
동대문구 답십리 우리안애, 우리안愛 내과, 건강검진 클리닉 내과 전문의 전병연
#동대문구내과 #성동구내과 #광진구내과 #답십리내과 #장안동내과 #용답동내과 #청량리내과 #한양대역 #왕십리역 #답십리사거리 #촬영소사거리 #전농동내과 #내과 #건강검진 #위내시경 #대장내시경 #갑상선초음파 #복부초음파 #경동맥초음파 #심장초음파 #암검진 #래미안위브아파트 #엘림스퀘어 #두산아파트 #동아아파트 #한양아파트 #동답한신아파트 #두산위브아파트 #힐스테이트청계아파트 #래미안미드카운티 #청솔우성 #래미안미드카운티




댓글