호흡곤란 평가; 뇌이뇨나트륨펩티드 상승, 심초음파상 전반적인 심벽비대, 심박출량 감소, 심장 아밀로이드증 의증(AL? senile?)
- Byoung-Yeon Jun

- 2021년 1월 19일
- 2분 분량
80대 중반 남자
8.26일 초진, 근처 의원에서 혈압약, 전립선약 복용중
변비 호소
"배가 부르고 숨이 차다."
2018년 대학병원에서 검진
2일뒤
"2일만에 변을 봤다. 이전보다 잘 봤다."
"숨이 차다." 1년
"가래 목에 붙어 있다."
"발등이 붇는거 같다."
친구들과 보조를 맞추지 못한다. 50 m정도 걸으면 뒤쳐진다.
심체검사
폐음, 심장음에 특이소견 없음
발등에만 부종 소견, pitting edema
"3-4개월 전까지 폐흡입제 썼다." 2019년 초까지 흡연력
당시 심전도; 정율동, 62/min, 1도 전도 장애
x-ray; 횡경막이 편평한 모습 --> COPD, 폐쇄성 폐질환 가능성?
폐기능 시행하였으나 수행능력이 떨어져 신뢰성이 떨어짐 --> 폐흡입제, anoro 처방 추가
하루 뒤 혈액검사 시행
갑상선 기능 정상
BNP, 뇌이뇨나트륨단백 629.4 (>100)
미세단맥뇨 정상
Cr 1.35, MDRD GFR 53.1 ml/min
D-dimer 1.8 H --> 심부전에 의한 동반 양상?
crp 2.0
"흡입제 사용하면서 가래는 줄었다."
"새벽에 속이 따갑기도하고... 위장약 먹고 있다."
4일뒤 심장 초음파 시행
경도의 대동맥판막 역류

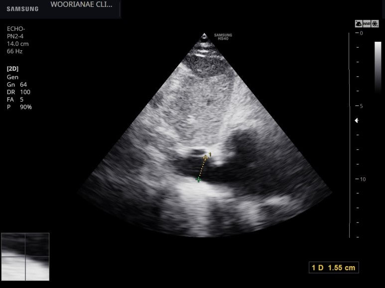
심실벽의 전반적인 비대, septum은 16.3 mm

폐고혈압은 parasternal short axis에서 보다 apical 4 chamber view에서 더 높게 측정되나 역류 속도는 2.8 m 이상으로 증가되어 있지 않다.


대동맥 협착은 없으며 SAM에 의한 압력 증가 소견은 보이지 않는다.

이완기 기능 E/e` 11.7, 감소한 e`, s`에서 심장의 길이방향의 움직임이 둔해진 것을 확인할 수 있다.


좌심방은 확장되지 않았다.

하대정맥은 확장되어 있지 않고, 호흡에 의해 수축되었다. (검사시에는 발의 부종이 없었다. 간헐적인 압력 증가가 있을 것으로 생각된다.) no IVC plethora

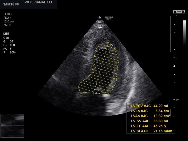
수축기 기능은 여러번의 측정에 40~45% 범위, 경도~중등도로 감소되어 있다.
심실벽 운동은 대칭적으로 전반적인 움직임 감소


심초음파 후 심부전 대상으로 기존 혈압약 (ARB) 에 bisoprolol (BB) 및 이뇨제 추가함. 증상 보면서 약제 조절 필요
심초음파에서 infiltrative cardiomyopathy를 의심하면서 amyloidosis가 감별질환이 되어야 겠으며, 초진 외래시 검사한 심전도를 다시 보면 amyloidosis에서 보일 수 있는 사지 심전도 (limb leads) 중 일부 (빨간줄) 에서 QRS 높이가 감소되어 있으며, V1에서 (파란줄) pseudo-infarct 소견이 동반된다.

amyloidosis와 관련된 다발성 골수종의 증후중에 CRABs (ca, renal, anemia, bone) 중에 약간의 신기능 저하이외에 뼈의 병변 (osteolytic lesion) 유무를 관찰하기 위해 다시 보았다. 오히려 이전에 간과한 폐의 결절이 있어 정식 판독을 의뢰하였다.
--> 판독은 정상이었으나 종괴 유무 다시 전달하여 CT평가가 필요한 폐종괴로 변경되었다. 임상의는 판독에만 의존하지 않는것이 필요하다.


참조>

1. 심부전 (증상, BNP상승) --> 심장기능 저하를 동반한 심비대 (concentric hypertrophy), 심전도 소견 --> r/o cardiac amyloidosis, infiltrative cardiomyopathy --> A/G (알부민/글로불린 비율) ratio는 1.3으로 정상 범위이나 단백영동 검사 시행 (SPEP) --> 양성이면 amyloidosis 를 강하게 시사, 음성이면 (면역단백영동까지 해볼지) 다른 부위의 조직검사를 통해 침착여부 확인 필요
2. 흡연력, 폐결절 --> CT 평가 계획
심부전, 폐동맥 고혈압, 신부전, 빈혈, 뼈의 병변 --> 단백영동 양성--> 다발성 골수종
단순 x-ray의 한계를 인식하고 판독을 참조할 필요가 있다. 임상적 정보를 제공하면서 상호 사실의 흐름이 있을 때 판독의 정확성이 올라갈 수 있다.
동대문구 답십리 우리안애, 우리안愛 내과, 건강검진 클리닉 내과 전문의 전병연




댓글