출산 후 상복부 경련성 통증으로 내원한 담석/담낭 오니 (gallbladder sand stones) 사례
- Byoung-Yeon Jun

- 2020년 7월 10일
- 1분 분량
30대 중반 여자
최근 1달간 3회에 걸쳐(마지막 증상은 내원 전일) 30분에서 1시간 지속되는 상복부 경련성 통증으로 내원, 구토 동반
환자 표현, "물먹고 급체했다.", "너무 아파 상체가 마비되는거 같다."
경련성 통증과 지속시간에서 담석에 의한 담낭폐색 통증을 의심
게다가, 출산후 3개월 시점으로 담석 유병율이 증가할 가능성이 있다.
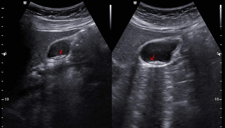
초음파 시행; 후방 음영 소실을 보이는 작은 담석들이 관찰됨
자세 변화에 따라 이동하는 모습
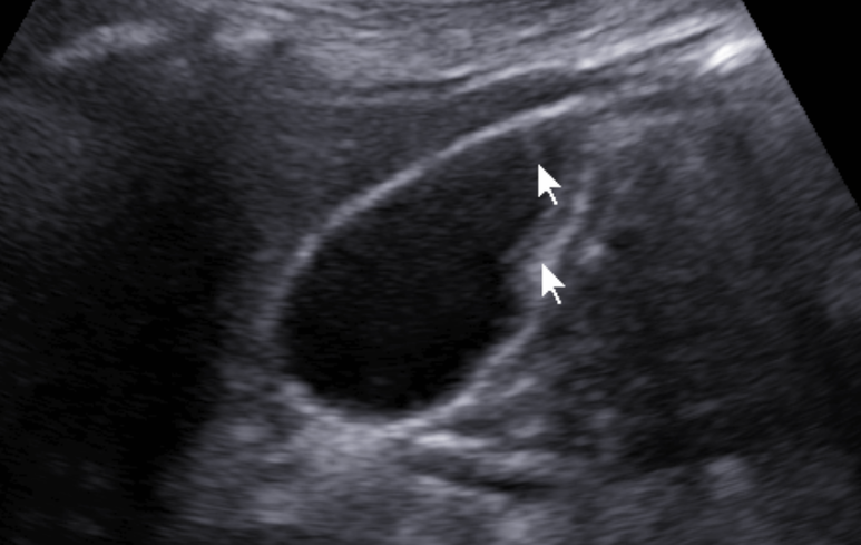
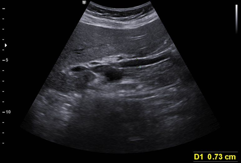
나이에 비해 총담관이 늘어나 있다. 총담관의 폐색? 임신에 의한 담도 확장?
혈액검사; AST/ALT 70/90
total bilirubin, WBC, crp; 정상범위
임신시 담즙 생성의 변화와 담낭 운동의 저하로 담석이나 오니의 발생이 증가, 3분기에 10%내외의 빈도
출산 후 1개월에 여러 보고에 따라 오니의 경우 50%내외로 소실되며, 담석도 빈도는 작지만 15~30% 소실된다고 한다.
그러나, 전체 산모중 1년이내에 수술하는 경우도 0.8%라는 보고가 있다.
UDCA 처방
증상 재발 여부 확인
초음파 추적 예정
참조>
Hepatology 2005 Feb;41(2):359-65
The Journal of Obstetrics and Gynecology of India January / February 2010 pg 57 - 61
동대문구 답십리 우리안애, 우리안愛 내과, 건강검진 클리닉 내과 전문의 전병연










댓글