종합 검진한 부부의 경동맥 내막 차이, 남편만 흡연
- Byoung-Yeon Jun

- 2020년 7월 16일
- 1분 분량
부부가 검진을 위해 내원
50대 초반 남자
진료실 혈압 128/76
가족력 뇌경색
흡연 하루에 반갑
폐기능 검사상 FEV1/FVC 69로 70 이하의 소견, 폐쇄성 폐질환 소견
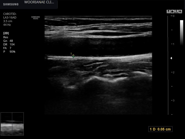
경동맥 내막이 0.1 cm 이상으로 두꺼워져 있다.
흡연하지 않는 부인의 경동맥 내막 모습
저밀도 지질 LDL; 124.2
10년 뇌심혈관위험도 7.4%
금연상담, 금연보조제 교육
고지혈증 약이 이익이 있는 분기점일까? 상의를 통한 투약 결정이 필요
동대문구 답십리 우리안애, 우리안愛 내과, 건강검진 클리닉 내과 전문의 전병연








댓글