소화기 증상으로 내원한 중국인, 한족에게 간단한 설명하기
- Byoung-Yeon Jun

- 2020년 7월 17일
- 1분 분량
30대 후반
목에 이물감과 식후 상복부 불편감에 대한 진료 위해 회사 사장과 같이 내원
회사 사장은 중국어 잘함
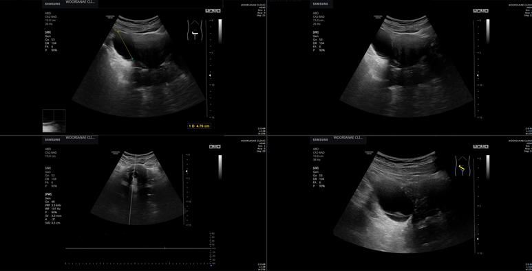
보험이 없어 일반으로 2번째 진료시 위내시경, 초음파 및 혈액검사 시행
위는 약간의 미란 (헬리코박터 감염은 없는 모습이며)
초음파상 오른쪽 난소에 5 cm이상의 cyst, 물혹과 자궁 경부쪽에 nabothian cyst, 나보트 낭종이 관찰되어 산부인과 추적 계획
전정에서 회복 중 보호자 (회사 사장) 의 부제로 안심시키기 위해
다음과 같이 얘기해주었다. (발음기호를 참조)

你的老板迟到了。没什么大问题。사장이 늦네요. 큰 문제는 없었어요.
Nǐ de lǎobǎn chídàole. Méishénme dà wèntí.
이전에 하던 중국어 공부를 다시 잡아야 할 때가 아닌가 생각되는 경험이었다.
동대문구 답십리 우리안애, 우리안愛 내과, 건강검진 클리닉 내과 전문의 전병연






댓글