모래양 담석에 대한 담석 용해제 복용 후 추적 결과
- Byoung-Yeon Jun

- 2020년 8월 1일
- 2분 분량
상기 환자
투약 한달 시점에 간수치는 AST/ALT 10/15로 정상화. C형 간염 항체 음성
(산전 검사시 B형 항체 있음. A형 항체 없음)
; 통증으로 내원시 담낭염 전단계까지의 증상으로 생각할 수 있다.
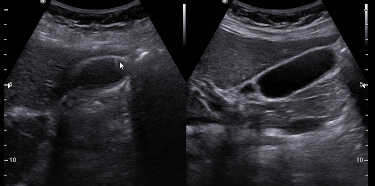
투약 두달 시점에 초음파 시행; 모래양 담석/담낭오니는 관찰되지 않는다.
3개월 투약하고 종료하기로 함.
산전검사에서 A형 간염 항체 음성으로 예방접종 계획
헬리코박터 양성에 대한 제균 계획
; 증상을 일으킨 담석이었으나 모래양 담석/담낭 오니이며 담석 질환의 위험성이 증가하는 임신의 상태가 해결된 경우이므로 호전될 것을 기대하여 수술보다 담석 용해제를 사용하였던 사례이다.
담석 질환
담석 생성하는 담즙;
cholesterol의 분비가 많은 경우 --> 비만, 대사성 증후군, 고칼로리/콜레스테롤이 많은 음식 혹은 약제 (ex> clofibrate)
유전적 영향이 25%정도를 차지한다.
콜레스테롤의 결정화
담낭의 운동성 저하; 수술, 화상, 정맥영향, 임신, 피임약
급격한 체중 감량
자연경과
무증상으로 발견되는 경우가 많다.
남성 담석환자 연구에서 증상이나 합병증이 발생하는 경우는 5년에 10%, 10년에 15%, 15년에 18%
15년 이후까지 증상이 없는 경우 추후 합병증이 생길 가능성이 매우 낮아진다.
담도기원의 통증을 가진 환자의 경우 수술을 필요로 하는 합병증의 가능성이 높아진다. 젊은 나이의 경우 60세 이후에 첫 진단이 되는 환자보다 증상이 발생할 가능성이 높다.
치료
수술이 필요한 경우
(1) 환자의 일상을 저해할 자주 반복되는 혹은 심한 증상
(2) 과거 담석에 의한 합병증 ex> 급성 담낭염, 췌장염, 담석누공 등
(3) 담석 합병증이 증가할 조건이 있는 경우 ex> 석회화 담낭 (porcelain gallbladder), 현재 증상과 상관없이 과거 급성 담낭염의 기왕력
3cm초과하는 담석이나 선천적으로 기형인 담낭인 경우에도 예방적 담낭절제술을 고려할 수 있다.
약물치료 - 담석 용해
ursodeoxycholic acid (UDCA)는 담즙의 cholesterol saturation을 낮추고 담석에서 cholesterol성분이 녹아나오도록 한다. UDCA는 cholesterol 결정 형성을 방해한다. 기능을 하는 담낭에 10 mm이하의 방사성 투과성의 담석이라면 6개월~2년동안 ~50%에서 완전 용해가 가능하다. 적절한 기간내에 좋은 결과를 위해서는 5 mm이하의 방사선 투과성 담석에 제한되어야겠다. 용량은 10-15 mg/kg/day. 15 mm이상의 경우 거의 녹지 않는다. 색소 담석의 경우 UDCA치료에 반응하지 않는다. 아마도 10%이하의 증상이 있는 담석환자에서 약물치료의 대상자가 될 것이다. 그러나, 3-5년사이에 재발율은 30-50%에 이른다.
참조> Harrison's internal medicine
임신시 담즙 생성의 변화와 담낭 운동의 저하로 담석이나 오니의 발생이 증가, 3분기에 10%내외의 빈도
출산 후 1개월에 여러 보고에 따라 오니의 경우 50%내외로 소실되며, 담석도 빈도는 작지만 15~30% 소실된다고 한다.
그러나, 전체 산모중 1년이내에 수술하는 경우도 0.8%라는 보고가 있다.
참조> Hepatology 2005 Feb;41(2):359-65
The Journal of Obstetrics and Gynecology of India January / February 2010 pg 57 - 61
동대문구 답십리 우리안애, 우리안愛 내과, 건강검진 클리닉 내과 전문의 전병연






댓글