호흡기 증상은 약하지만... 객혈을 동반한 폐렴, 몸이 안좋다고 검진? - 동대문구 답십리, 장안동, 우리안애 우리안愛 내과
- 3월 3일
- 1분 분량
60대 초반 남자
22년부터 간헐적 진료
25년부터 당뇨/고혈압 투약 시작 (타의원에서 약 20년전부터)
목이 간질하더니 피가 나오더란.. 어제 간지러워서 밷었더니 가래와 덩어리...
1주일 전부터 잔기침으로.. 3일 지나니 잠들기전까지 헛기침처럼?
가래도 나오고..
;;; 대부분이 기침을 세게 할때 목에서 작은 혈관이 터져서? 나오는 피가 되겠지만...
기침도 심해보이지 않고, 모습도 급성병색은 아니라서... 증상적 처방하고 추적할까 하였는데..
본인이 몸이 안좋다고 검진을 하겠다고 한다. 위내시경을 포함하여... 객혈의 관점인데 위내시경을 해야하겠다는 생각으로 보임, 토혈이 아닌데...
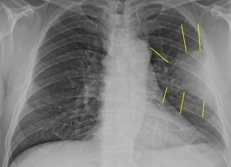
검진용 흉부촬영 1매를 시행하고, 아래 모습을 보자마자
검진은 중지
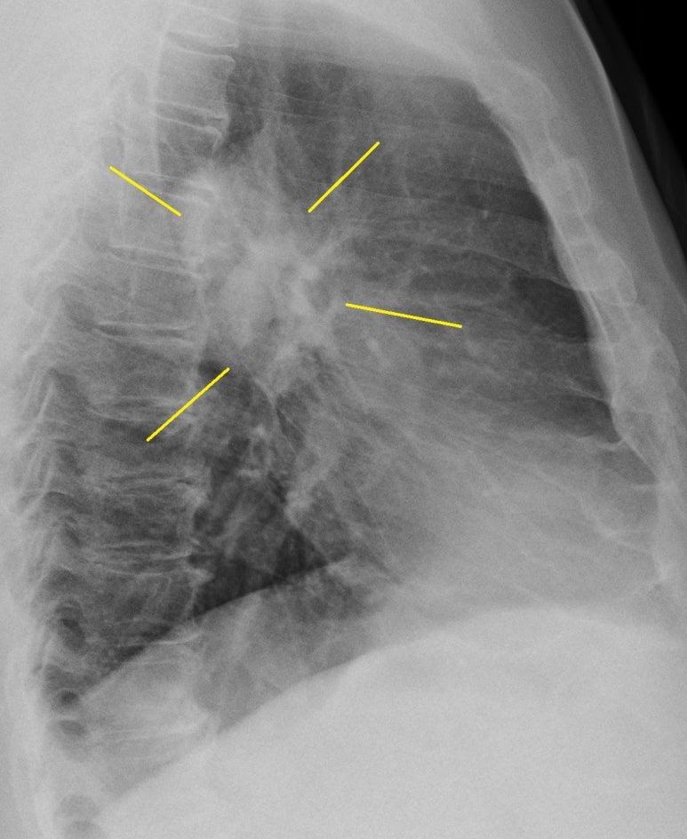
측면사진 추가로 촬영하고 폐렴에 대한 평가 및 투약 시작함


백혈구, 호중구 분획 증가
반응성으로 혈소판도 증가
crp는 정상의 29배 증가된 상태의 확인

2일뒤 추적
잔기침 10 -→ 5
가래 10 -→ 3.. 노랗게... 가래에 피는 없으며...
피가 나왔다는 증상 이외에 증상이 강하지 않았으나 비교하면 호전중으로 판단
추후 외래에서 추적할 계획이며 2주 투약을 고려
같은 구역의 폐렴, 밤에만 기침이? 아침에는 열감과 발한이...
같은 부위/구획이나 침범한 부피가 작으면 음영은 미약할 수 있다. 유무의 판단에 고민을...
비슷한 위치인데.. 음영은 진하지 않으나 객혈은 밥사발 정도로!!
klebsiella 가 자랐는데 이번 사례는? 확인 예정
...
식욕 부진, 몸이 안좋다고 검진을 진행하였으나...
호흡기 증상도 있었다!
동대문구 답십리 우리안애, 우리안愛 내과, 건강검진 클리닉 내과 전문의 전병연
#동대문구내과 #성동구내과 #광진구내과 #답십리역 #장안평역 #용답역 #청량리역 #신답역 #한양대역 #왕십리역 #답십리사거리 #촬영소사거리 #전농동사거리 #내과 #국가검진 #위내시경 #대장내시경 #갑상선초음파 #복부초음파 #경동맥초음파 #심장초음파 #암검진 #래미안위브아파트 #엘림스퀘어 #두산아파트 #동아아파트 #한양아파트 #동답한신아파트 #두산위브아파트 #힐스테이트청계아파트 #래미안미드카운티 #청솔우성 #래미안크레시티 #롯데캐슬노블레스 #e편한세상답십리아르테포레



댓글