탈모성지에서 1년처방?? 미녹시딜 부종/체중증가를 강하게 의심 - 동대문구 답십리, 신대방동, 우리안애 우리안愛 내과
- 3월 6일
- 3분 분량
최종 수정일: 3월 7일
50대 중반 남자, 초진
접수에서 다음과 같이 메시지가 옴
"당뇨약 오래 드셨고 4개월전에 약을 바꾸었요.. 붓는건 한 달 전부터 그랬고 눈가쪽/얼굴만부터 부어서 눈 문제인 줄 알고 안약 넣었더니 더 부어서 안약 중단했는데도 그대로라서 방문했어요."
; 부종은 원인이 다양하니 우선 주치의와 상의하도록 안내하고 보내려고 하였으나... 심장초음파를 고려하여 내원하였다고 함 --> 그 문제만이 부종을 설명할수는 없는데... 라는 단서를 달고 접수함
여자의 경우 생리 주기에 따른 부종도 정상 생리적 반응으로 있을 수 있음을 설명하였으며
이외에 진행한.. 다음의 경우 (신부전, 간부전, 심부전, 갑상선 기능 저하, 심한 단백뇨 (사구체신염), 약제 부작용 (혈압약, 진통제, 당뇨약))...들 부종의 원인이 됨을 설명하고 평가하기로 하였다. 배경 질환이 없이 갑자기 간부전, 신부전 등이 있을 가능성은 적겠지만을 설명하고
...
이 정도면 주치의 보는게 효율이... 괜한 헛수고만
주치의를 보세요
투약의 확인
; 실로스탄, 글루파 850 bid, 액토스 30 mg, 디아미크롱 60 mg 반알, 제미글로정 50 mg - ****** 대학병원 내분비내과
; 액토스도 원인이 될수 있는데...
최근 당화혈색소는 A1c 8.7 이전에 잘되다가??
"과거에 혈압이 170일때도? 혈압약 먹지 않아도 된다고.. 진료할때.." ???
손발 끝이 저리고.. 수년 - 당뇨 신경병증의 모습이며...
다른약제/보조제를 추궁하다 보니!!!!
약 2개월전, 1월부터 탈모약, 4가지? 뻔히 성분이 의심되는데, 그래도 그 의원에 전화하여 확인하도록 하니... 스피락톤 0.25t, 피나베린정 (finasteride) 5 mg 0.25t, 파모티딘 (위장약), 미녹시딜 (minoxidil) 5 mg - 친구가 소개해줘서 대전까지 가서 1년치?? 한 가방 가득을 받아오셨네요~
최근 체중의 변화
이전에는 72.* -→ 79 kg (1~2개월에 걸쳐 체중증가)
병원에서 측정한 체중은 81.9 kg
얼굴만 붓는다고 내원했으나 전신부종일텐데? 다리의 확인; 함요부종의 확인

심장초음파 시행함, 기능적 문제는 없음
혈압의 재확인; 140/76
내원시 맥박이 빠른 현상의 인지; 121/min
탈모약 이라고 처방한 약제의 중단
3일정도 이뇨제 trial. 체중 및 부종 변화있는지 관찰/추적
1. 얼굴이 붓는다? --> 전신부종
2. 체중 증가의 확인
3. 시간적 연관성으로 탈모약 처방의 확인... 1년치 처방은 처방인가 판매인가?
4. 미녹시딜의 부작용이 강력하게 의심
5. 중단하고 추적 예정
6. 제발 처방의와 상의하세요. 처방전 자판기를 이용한것과 같으니 상의할 대상으로 생각치도 않을 것이며...
병원에 수술 의료기를 납품하는 분으로... 그래도, 병원 이용 행태가 이러하다.
비특이적인 답답함... 미녹시딜 복용중 확인, 누가 판단할 것인가? 처방의가!!

More common
Fast or irregular heartbeat 빠른맥박
weight gain 빠른 체중증가 (rapid) of more than 5 pounds (2 pounds in children)
Less common
Chest pain
shortness of breath
...
3일뒤 추적
체중은 77.7 (<--81.9 kg) ; 미녹시딜 중단과 이뇨제의 효과가 더해졌을 것이며...
함요부종은 없다.
병원 자동혈압 118/66
진료실 수동혈압 114/74
맥박은 95/min
"근래 혈압이 140~170인데.. 가정혈압도 140~150 인데.."
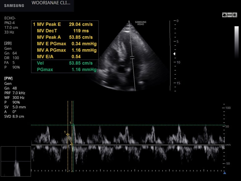
지난외래 심초음파에서 누락된 이완기 기능에 대해 검사
E/e` 을 보면 정상이다.
그런데 E flow와 e` 이 낮다.


아래 상황과 비슷한 것으로 볼수 있을 것인가? 체중은 아직 평소보다 증가한 상태이나 몇일사이 감소와 더불어 혈관내 순환량이 먼저 감소한것이 아닌지 추정한다.
장정결제 복용 후 체중 감소 --> 탈수 상태에서 E flow의 감소
What is normal mitral flow? 이첨판 혈류 속도는
Flow propagation velocity of mitral inflow (Vp) is evaluated as the slope of the first aliasing velocity during early ventricular filling. It is measured from the mitral valve plane to 4 cm distally into the LV cavity and > 50 cm/s is considered normal.
Use and Limitations of E/e' to Assess Left Ventricular Filling Pressure by Echocardiography - PMC (nih.gov)
Reduced Cardiac Output: In cases of volume depletion, peak early (E) and late (A) diastolic filling velocities, along with early diastolic velocities (E`) are significantly reduced.
이뇨제는 3일만 더 유지하기로 하였으며...
2주뒤 추적하기로 하였다; 가정혈압 기록, 혈압계 가져와보기로
만약 부종이나 체중 증가가 다시 생긴다면 다른 원인의 평가를 고려해야 한다.
"붓고 체중이 늘어 이뇨제 처방받으로 왔다." 부종에 대한 진료 성립이 되지 않으며, 약제 쇼핑에 불과하다.
동대문구 답십리 우리안애, 우리안愛 내과, 건강검진 클리닉 내과 전문의 전병연
#동대문구내과 #성동구내과 #광진구내과 #답십리역 #장안평역 #용답역 #청량리역 #신답역 #한양대역 #왕십리역 #답십리사거리 #촬영소사거리 #전농동사거리 #내과 #국가검진 #위내시경 #대장내시경 #갑상선초음파 #복부초음파 #경동맥초음파 #심장초음파 #암검진 #래미안위브아파트 #엘림스퀘어 #두산아파트 #동아아파트 #한양아파트 #동답한신아파트 #두산위브아파트 #힐스테이트청계아파트 #래미안미드카운티 #청솔우성 #래미안크레시티 #롯데캐슬노블레스 #e편한세상답십리아르테포레



댓글