지속되는 음주, 알콜성 간염의 종착지 - 동대문구 답십리, 전농동, 우리안애 우리안愛 내과
- Byoung-Yeon Jun

- 2025년 10월 4일
- 1분 분량
상기 환자 2주뒤 간암검진
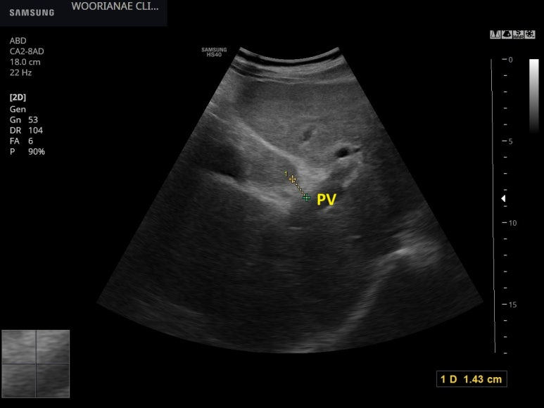
fissure of ligamentum venosus 가 벌어지는 혹은 S1 미상엽이 커지는..

Periportal space가 넓어지는...

전반적인 표면의 물결과 같은 변화 (명확한 결절성 변화)

우엽이 표면도...

두드러지게 거친 간실질

4년전과 달리 <간경화> 로서 설명
초음파상 진행한 섬유화 혹은 간경화의 판단, 이행단계로서 흑백은 아니지만..
...
음주가 지속되면...
동대문구 답십리 우리안애, 우리안愛 내과, 건강검진 클리닉 내과 전문의 전병연
#동대문구내과 #성동구내과 #광진구내과 #답십리역 #장안평역 #용답역 #청량리역 #신답역 #한양대역 #왕십리역 #답십리사거리 #촬영소사거리 #전농동사거리 #내과 #국가검진 #위내시경 #대장내시경 #갑상선초음파 #복부초음파 #경동맥초음파 #심장초음파 #암검진 #래미안위브아파트 #엘림스퀘어 #두산아파트 #동아아파트 #한양아파트 #동답한신아파트 #두산위브아파트 #힐스테이트청계아파트 #래미안미드카운티 #청솔우성 #래미안크레시티 #롯데캐슬노블레스 #e편한세상답십리아르테포레




댓글