육안적 완전 절제하였으나 1년뒤 추적시 이전 병변 경계에 다시... - 동대문구 답십리, 용답동, 우리안애 우리안愛 내과
- 1일 전
- 1분 분량
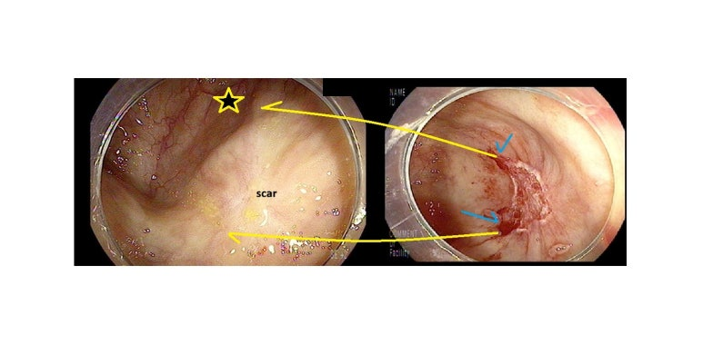
상기 환자 1년뒤 추적
스테어로 절제 후 남아서 포셉으로 뜯어 제거한 부분은 12시 (별표) 와 9시 방향

12시쪽에 근접해서 보면

작은 용종처럼 보이는데 잔여병변의 가능성

포셉으로 제거함
제거 후 장벽이 수축하니 폴드 (노란선) 이 가운데로 보이는 것으로 보인다.
9시 방향 (주황생 x) 로는 12시 같이 남아 있는 소견은 없는 것으로 확인

용종이 있을 때 추적 간격을 정하는 것은 그 배경에서 안보였던 용종이 있는 것을 찾거나 기존에 제거한 부분에 다시 생기는 것을 확인하기 위함
동대문구 답십리 우리안애, 우리안愛 내과, 건강검진 클리닉 내과 전문의 전병연
#동대문구내과 #성동구내과 #광진구내과 #답십리역 #장안평역 #용답역 #청량리역 #신답역 #한양대역 #왕십리역 #답십리사거리 #촬영소사거리 #전농동사거리 #내과 #국가검진 #위내시경 #대장내시경 #갑상선초음파 #복부초음파 #경동맥초음파 #심장초음파 #암검진 #래미안위브아파트 #엘림스퀘어 #두산아파트 #동아아파트 #한양아파트 #동답한신아파트 #두산위브아파트 #힐스테이트청계아파트 #래미안미드카운티 #청솔우성 #래미안크레시티 #롯데캐슬노블레스 #e편한세상답십리아르테포레



댓글