압통이 동반된 간비대, 구토가 있던 알콜성 간염.. 모래양 담석은 떠다니나 담낭은 압통점은 아님 - 동대문구 답십리, 전농동, 우리안애 우리안愛 내과
- 2시간 전
- 2분 분량
40대 초반 남자
복통으로 접수
5일전부터 소화가 안되고
먹으면 구역질나고
쥐어짜는 증상... 따끔거리기도..
4일전부터 물만 마셔도 토하더라... 먹는것 상관없이...
화요일 약간 호전..
어제부터 죽먹고 ...
아침에 밥먹고.. 가스차는 느낌이고.. 더부륵하다.
...
2년전 초진, 비슷한 증상으로 내원하긴 했는데.. 당시 음주문제의 인식; 매주 3~4회, 소주 2병씩
이번 증상과 비교하면 과거에도 같은 상황이었을 것이다.
; 지난주 조금만 먹으면 토하고 더부륵하고..
못먹으니 체력도 떨어지고...
평소에도 잘 안먹는데.. 가스가 잘차서?
3년 다니다 정신과약 (신체화장애) 끊었는데.. 더 식욕이 떨어지고 불면증도 있고..
23 위내시경, 회사검진
...
그래서 확인하니, 음주는 거의 안하고.. ?? 토하면서 몇일간만 이며...
; 초음파후 재확인 매일 1병반을 마셔왔다.
알콜성 간염만으로 설명?
촉진 시행, 우상복부에 압통이 뚜렷, Td+ RUQ
담낭산통과 같아 보이지 않으나 ... 감별을 위해 초음파
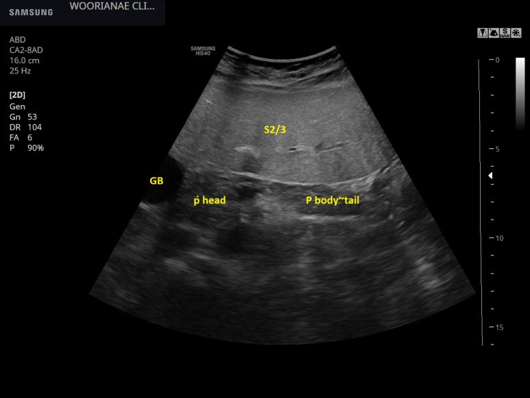
왼쪽간의 관찰시 뚜렷한 간비대가 인지되고 (아래까지 내려온), 내부의 혈관도 상대적으로 직경이 작아 보인다.

담낭에 오니가 있는것 처럼 보였으나 다른 각도에서 확인이 되지 않아 허상으로 판단
간에 의해 밀려서 담낭은 흉곽의 아래에서 관찰할 수 있다. (보통은 갈비뼈 사이에서)

그러나, 작은 모래양 담석들은 움직임을 관찰할수 있다.

알콜 감염에 의한 복수, 담낭오니
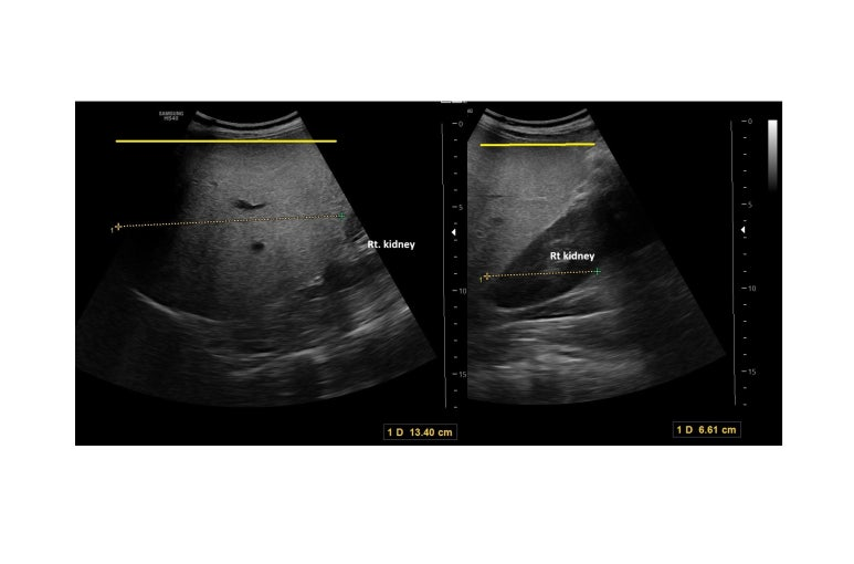
쇄골 중앙 너비에서 간의 위아래 길이는 20 cm 에 육박한다.

그리고 우상복부 압통은 담낭이 아니라 전반적인 인간에 해당하는 것을 확인할 수 있었다.
abdominal ultrasound
1. liver parenchyma; moderate to severe FL
hepatomegaly, MCL about 20 cm
liver mass; n-s
2. GB; slugde같이 보이는 것은 artifact? 지속적으로 관찰되지 않음. 프로브로 흔들어 보았을 때 tiny sandy stone들이 떠오르는 것은 관찰됨
프로브로 눌러보았을때 담낭 자체보다는 liver에 대한 전반적 압통임을 확인할수 있음.
renal ultraound
3. GB를 다시 관찰함; layer처럼 보이는 소견은 artifact로 보이며, sandy stone이 떠오르는 것을 관찰할수 있음.
midclavicular line averages 10-12.5 cm in craniocaudal length 2
a liver that is longer than 15.5-16 cm in the midclavicular line (MCL) is considered enlarged
1. 증상이 좋아질때 방문하였고
2. 음주는 지속된 문제였으며
3. 24년도 비슷한 상황으로 추정되며
4. 앞으로 금주할것인가? 가 관건으로... 이담제 및 증상적 처방후 추적 계획
혈액평가에서 알부민은 감소하지 않았고
빌리루빈은 경계값

알콜성 간염 패턴, AST/ALT가 일천 이상이지 않을까 하였으나 매우 높지는 않았다.
rGTP는 1000 이 넘었다.

증상은 없으나 매년 증가하는 rGTP
매우 높은 고지혈 수치는 추적 검사시 재검 계획

백혈구, 혈색소는 괜찮으나 혈소판만 5만정도
알콜에 의한 일시적 억제? 금주할 의지가 있어 보여 금주한 상태로 추적 계획

B형 보균자의 배제

결과설명 듣기위해 다음날 방문
"과거에 고지혈 높았다."
구토는 지나가서 방문하기도 하였고, 수일간 금주 상태로 하루차이긴 하나 소화불량은 좋아지는 추세라 하며...
결과설명 후 추적 계획을 세우기로 하였다.
복수가 생기고서야 중단...
이번 사례와 비슷한 혹은 더한? 간비대, 간에 의해 위도 압박을 받는듯
알콜성 간염에 의한 간비대 상태인데 이 정도의 압통이 동반된 경우는 처음인듯 하다.
동대문구 답십리 우리안애, 우리안愛 내과, 건강검진 클리닉 내과 전문의 전병연
#동대문구내과 #성동구내과 #광진구내과 #답십리역 #장안평역 #용답역 #청량리역 #신답역 #한양대역 #왕십리역 #답십리사거리 #촬영소사거리 #전농동사거리 #내과 #국가검진 #위내시경 #대장내시경 #갑상선초음파 #복부초음파 #경동맥초음파 #심장초음파 #암검진 #래미안위브아파트 #엘림스퀘어 #두산아파트 #동아아파트 #한양아파트 #동답한신아파트 #두산위브아파트 #힐스테이트청계아파트 #래미안미드카운티 #청솔우성 #래미안크레시티 #롯데캐슬노블레스 #e편한세상답십리아르테포레



댓글