당뇨 상담이 주 목적이었으나... 최근에 육안적 혈뇨.. 아주? 큰 요로결석의 확인, 비뇨기과에서도 그렇게 얘기를... - 동대문구 답십리, 장안동, 우리안애 우리안愛 내과
- Byoung-Yeon Jun

- 2025년 9월 9일
- 2분 분량
상기 환자 당뇨 진료 당일...
눈에 보이는 혈뇨? 현재도 옆구리가 아프다.
혈뇨가 나왔다 안나왔다.. 이번엔 1~2주
통증은 어제가 심했고... (이 정도는 1~2주 사이에 어제만)
2년전에도 요로결석이 1.6 cm 였고 쇄석술로 실패하여 **대병원에서 요도를 통해 접근, 시술을 받았다고 하며...
; 그래서, 비뇨기과 의원은 가지 않고 같은 대학병원 진료 계획만? 잡고 있었다고 하며...
늑골각 압통은 유발되지 않았다.
그렇지만 혈뇨와 옆구리 통증, 그리고 과거력에서 충분히 요로결석이 의심되는데...
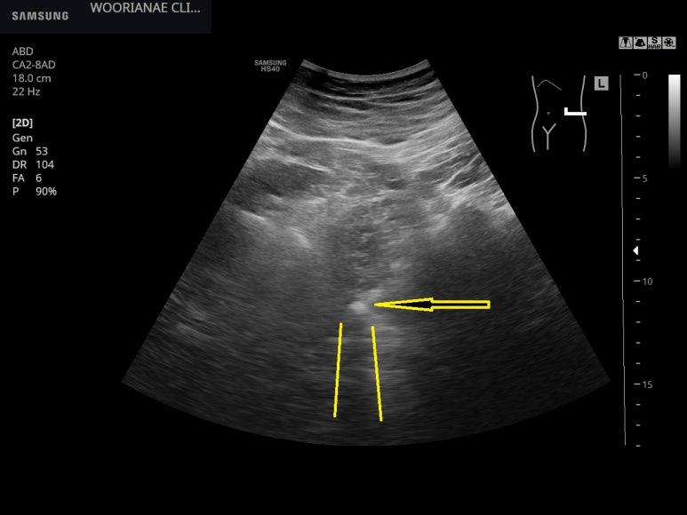
초음파 시행
좌측 신우에 뚜렷한 수신증 소견

확장된 요관을 따라가다 보면 요로결석이 관찰이 된다. 이렇게 보기까지 프로브를 적절하게 움직이는 노력이 필요하다.

postaccoustic shadowing이 뚜렷하니 석회화된 결석

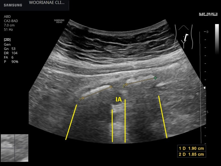
그런데... 오히려 복부 앞쪽에서 훨씬 뚜렷히 관찰된다.
IA; 장골동맥, 왼쪽

twinkle 효과

WOW... 장골동맥과 교차하는 곳이 상대적 협착부위여서 위쪽에 결석들이 있는데, 바로 아래에도 하나가 더 있고 크기가 2 cm에 육박한다. 수년간 본 결석중에 매우 큰 경우

역시나 twinkle 효과

신장내 신우에 비슷한 크기의 다수의 결석이 있었던 경우
과거에 체외 쇄석술로만으로 실패했다고 기다리기엔 증상도 있고 해서 우선 비뇨기과 의원을 방문하도록 설득하였다. 시도해보고 결과는 다를수 있기 때문에...
당뇨 추적위해 4일뒤 방문
"하루에 10~20씩 혈당이 떨어지고 있다."
어제 아침 공복 210
오늘 아침 공복 229
오늘 내원한 식후 3시간 혈당은 223
; 소변 증상은 10-->8? 변화가 적어 보이는데 결석때문에 물을 일부로 많이 마시는 결과가 중첩되어 있다.
청량리에 비뇨기과를 갔다고 하며, IVU로 확인했다고 한다. "비뇨기과 선생님이 사진보고 믿지 않다가?? 검사하고 이렇게 큰 돌은 흔하지 않다고....", 상기 큰 2개의 결석 이외에 위쪽으로 작은 결석이 ~4~5개 이상 더 보였다고 하며 쇄석술 후 작은 돌들이 배출되고 있다고 한다. 옆구리 통증도 호전중이며 비뇨기과는 다음주 추적 예정

인슐린 2단위 늘리고, 경구약제는 추가 및 증량하여 1주일뒤 추적하기로 하였다.
동대문구 답십리 우리안애, 우리안愛 내과, 건강검진 클리닉 내과 전문의 전병연
#동대문구내과 #성동구내과 #광진구내과 #답십리역 #장안평역 #용답역 #청량리역 #신답역 #한양대역 #왕십리역 #답십리사거리 #촬영소사거리 #전농동사거리 #내과 #국가검진 #위내시경 #대장내시경 #갑상선초음파 #복부초음파 #경동맥초음파 #심장초음파 #암검진 #래미안위브아파트 #엘림스퀘어 #두산아파트 #동아아파트 #한양아파트 #동답한신아파트 #두산위브아파트 #힐스테이트청계아파트 #래미안미드카운티 #청솔우성 #래미안크레시티 #롯데캐슬노블레스 #e편한세상답십리아르테포레




댓글