금주하지 못하는 알콜성 간경화 환자에서 드디어 복수가 발생, 미상엽의 지속적 비대도 인지됨 - 동대문구 답십리, 전농동, 우리안애 우리안愛 내과
- 1일 전
- 1분 분량
23년도; 간섬유화란 연속개념이지만, 설명으로서 알콜성 간경화로 규정지어야 할때.. 초음파 소견의 변화
25년도; 알콜 간경화 환자, 미상엽, S1 의 변화, 비대해지는...
상기 환자 25년말 정기평가; 간수치 패턴은 비슷하고 알부민의 감소는 없었다.
혈소판이 감소한/감소하는 추세가 인지됨

초음파 추적위해 내원 시행함
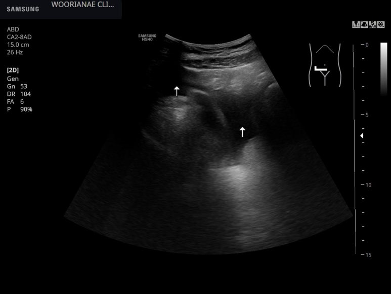
S1, 미상엽의 비대가 상당하게 느껴지며

담낭의 벽에 부종이 있다. 결론적으로 복수가 차는 현상과 같이 보았을때 혈액의 총단백/알부민 수치가 떨어져 있을 것이다. 3개월전과 달리

우엽과 S4 사이의 요철변화

우엽과 횡경막 사이에 복수가 발생하였다.


간문맥의 직경이 커져 있다.

표면의 요철변화

미상엽의 전후 직경이 작년에 5 cm 정도였었다. 지금은...

골반의 복수

대장의 외측에 복수


간의 표면과 간과 횡경막 사이의 복수에 대한 재확인

비대상성 간경화로 상급병원에서 관리받도록 예약후 내원하도록 안내하였다.
결국은
결국에 언제?
동대문구 답십리 우리안애, 우리안愛 내과, 건강검진 클리닉 내과 전문의 전병연
#동대문구내과 #성동구내과 #광진구내과 #답십리역 #장안평역 #용답역 #청량리역 #신답역 #한양대역 #왕십리역 #답십리사거리 #촬영소사거리 #전농동사거리 #내과 #국가검진 #위내시경 #대장내시경 #갑상선초음파 #복부초음파 #경동맥초음파 #심장초음파 #암검진 #래미안위브아파트 #엘림스퀘어 #두산아파트 #동아아파트 #한양아파트 #동답한신아파트 #두산위브아파트 #힐스테이트청계아파트 #래미안미드카운티 #청솔우성 #래미안크레시티 #롯데캐슬노블레스 #e편한세상답십리아르테포레



댓글