결절의 크기는 컸으나 과증식 정도로 판단, 배제하기위해 세침검사를 하였으나... besthesda V 로 수술적 판단이 필요 - 동대문구 답십리, 청량리동, 우리안애 우리안愛 내과
- 3월 1일
- 2분 분량
30대 초반 여자, 초진
*****에서 갑상선 결절로 세침검사 권유?
4.1 cm ??
하필 아래의 병원에서
세침검사에 대해 전화문의 먼저 하였으나 소견을 모르니 세침검사를 예약해주지는 않고 있다.
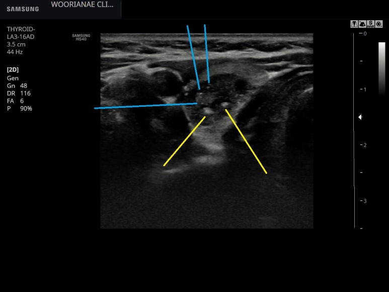
초음파 다시 시행, 아주 저음영이지 않고, 불균질한 (heterogenous) 한 모습
양성의 과증상 (hyperplasia) 로 생각이 되며, TIRAD는 3점 정도... 크기 기준에서 배제를 위한 FNA는 해볼수 있겠다고 설명함

결절의 상부에는 colloid particle로 봐도?
;;; 조직결과 이후 다시 보면 노란부분은 크기가 큰 편이며 microcalcification으로 봐도 될듯

장경은 3.65 cm로 대부분은 고형결절이며 일부 작은 부분만 낭성 변화가 있으며 주로 colloid particle이 있는 양성 소견으로 보았다.

중간중간에 낭성 소견 모습들

10여일뒤로 예약하여 갑상선 세침검사 시행

세포병리가 아래와 같이 기대와 달리 보고되어 놀라기도 하였고
C5623008Z 나562가(3) 흡인세포병리검사 [ Specimen Adequacy ] ============================================================ 응급! - 결과지를 즉시 주치의 선생님께 보여 주시기 바랍니다. ============================================================ * Pap stain: x 2 slides (from smeared slide)
[ Cytologic Diagnosis ] Thyroid, right, (2.28x3.65cm), aspiration cytology;
Degenerated atypical cells; possibility of Papillary Carcinoma ============================================================== (suspicious for Malignancy, but limited by degeneration) < Bethesda V > |
일부 낭성변화가 있으며 미세석회화가 국소적으로 있는데...
아래의 사례와 유사하다.
; 갑상선 결절, 전형적인 유두암 소견은 아닌거 같으나... 세침 병리의 소견 --> 일부 낭성변화를 동반한 결절+미세석회화
상급병원 진료 의뢰
Bethesda V 라면 수술을 하는데 수술 병리가 달라질수는 있다.
동대문구 답십리 우리안애, 우리안愛 내과, 건강검진 클리닉 내과 전문의 전병연
#동대문구내과 #성동구내과 #광진구내과 #답십리역 #장안평역 #용답역 #청량리역 #신답역 #한양대역 #왕십리역 #답십리사거리 #촬영소사거리 #전농동사거리 #내과 #국가검진 #위내시경 #대장내시경 #갑상선초음파 #복부초음파 #경동맥초음파 #심장초음파 #암검진 #래미안위브아파트 #엘림스퀘어 #두산아파트 #동아아파트 #한양아파트 #동답한신아파트 #두산위브아파트 #힐스테이트청계아파트 #래미안미드카운티 #청솔우성 #래미안크레시티 #롯데캐슬노블레스 #e편한세상답십리아르테포레



댓글