같은날 게실염 (3); 호전중이라면서 입원?, 촉진상 압통범위가 넓고 반발압통까지! - 동대문구 답십리, 전농동, 우리안애 우리안愛 내과
- 4일 전
- 2분 분량
3개월 추적계획하였으나
대학병원 진료 원하여 자료 받아감
26년 1월 진료
위경련 증상으로...
25년 대학병원 내시경 이상없었고, CT는 1년에 한번 추적중이라는데...
3개월만에 방문
2일전 새벽부터 아파서 잘 못잤다.
근육이 아픈느낌?
가스차고 , 쥐어짜기도... 1~2분..
어제보다 오늘이 더...
촉진에 Td+ 전반적?, 잘 눌러보면 우하복부에 가장 중심이고... RLQ
압통과 반발압통의 모습도 보이고 있다. Td/rTd(+/+)
게실염/충수돌기염 감별이 필요한데
압통의 범위가 하복부까지 넓은것이 인지되며, 민간한 반발압통도 있다. 면적이나 반응에서 중등도를 반영한다고 생각됨
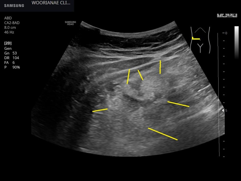
기존에 diverticular change, 근위부 상행결장이 관찰되었었다.

컨벡스 프로브에 염증성 덩어리처럼 이상소견은 잘 보이며...

구별해서 보면 대장 점막하층 비후와 (노란선), 후방감쇄 (빨간선) 가 동반된 게실
게실 주변의 고음영 염증성 지방변화가 가장 두드러지나, 대장을 넘어 내측으로도 있다고 보아도 될듯

게실의 위쪽 염증성 지방변화 모양

정상 충수의 확인

위아래의 모습, 약 5 cm 길이의 대장이 영향을 받은 모습

renal bladder ultrasound
3. cecum 부터 위로 ~ 5 cm 가량 대장점막하층의 비후가 관찰됨
우방 외측으로 fecalith가 동반된 게실이 관찰되며 주변부 염증성 지방변화가 동반됨
4, normal appendix was noted.
프로브로 압통 확인시 우측중앙 >>> 우하복부 압통
그러나, 골반상부까지의 압통을 고려하면 방광 주변도 염증성 지방변화가 있다고 보아야...

오후 5시 전화; 아침약 먹고 구토
점심약 30분전에 먹고 울렁거림...
--> 저녁약 먹고 관찰, 구토하거나 하면 내일 방문 입원의뢰하기로 함
백혈구 증가, 중성구 증가, crp는 약 2배 상승

다음날 아침 전화; 저녁약 먹고 괜찮았다고 하며 아침약 먹고 20분 지난 상태...
증상은 호전중이라고 ...
예정된 월요일 추적하기로 함
월요일 전화; 입원중 확인, 증상이 안좋아져서?
자료 전달이 되지 않았으므로 다시 CT를 찍었을 것으로 보임
1. 일부 제자리암종인데 상급병원 추적을 선택
2. 근래 게실염 중에 신체검사에서 범위도 넓고 민감한 압통/반발압통은 맞으나... 대부분 (2일뒤 추적시 복통이 변화없이 지속된 2~3례 제외하고) 외래에서 좋아지는데 아마도, 응급실 방문하였다 입원결정을 받은 같은데, 추적 소실되어 아쉬운 느낌
같은날 게실염 (1); 2년만에, 컨벡스로는 잘 보이지 않음, 리니어 프로브로 확인
같은날 게실염 (2); 10년에 7번째, 컨벡스로 잘 보이는
동대문구 답십리 우리안애, 우리안愛 내과, 건강검진 클리닉 내과 전문의 전병연
#동대문구내과 #성동구내과 #광진구내과 #답십리역 #장안평역 #용답역 #청량리역 #신답역 #한양대역 #왕십리역 #답십리사거리 #촬영소사거리 #전농동사거리 #내과 #국가검진 #위내시경 #대장내시경 #갑상선초음파 #복부초음파 #경동맥초음파 #심장초음파 #암검진 #래미안위브아파트 #엘림스퀘어 #두산아파트 #동아아파트 #한양아파트 #동답한신아파트 #두산위브아파트 #힐스테이트청계아파트 #래미안미드카운티 #청솔우성 #래미안크레시티 #롯데캐슬노블레스 #e편한세상답십리아르테포레



댓글