같은날 게실염 (1); 2년만에, 컨벡스로는 잘 보이지 않음, 리니어 프로브로 확인 - 동대문구 답십리, 전농동, 우리안애 우리안愛 내과
- 3일 전
- 2분 분량
상기 환자 2년전 2개월간 3번의 발생
충수돌기내 경이 있는 선종이 있었던 특이한 사례였는데..
1년뒤 추적은 무시했다가
...
2년만에 복통으로 내원
4일전부터 감기약 - 콧물; 관련은 없어 보이며
3일전부터 오른쪽배가 아프고
다음날 더... 이때는 걸을때도.. (휴진중인 수요일 오후에 본원 방문)
이후 2일간 시간이 지나면서 .. 좋아졌는데? 지금도 누르면 아프다.
과거 게실염이 재발이 의심되며, 본인도 그렇게 생각하고 방문 (과거 경험에 의한 학습효과)
촉진 시행 Td + 민감하게 압통이.. 맥버니 점보다 살짝 위
초음파 시행
우선 맹장/상행결장의 관찰; 후방감쇄가 뚜렷하지 않으나, 염증성 지방변화도 쉽게 관찰되지 않는데...

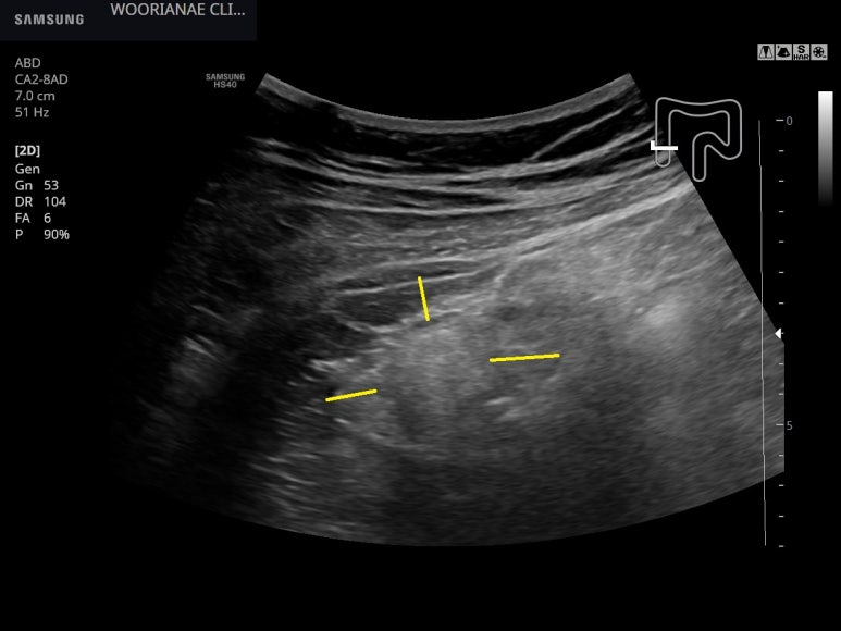
리니어로 보았을 때 맹장 (cecum) 의 전면부로 손가락 처럼 3개의 게실이 보이며

그 중 가장 내측 게실이 주범으로 생각되는 것이 그 주변으로 염증성 지방변화가 둘러싸고 있다.

컨벡스로 조망하면 화살표쪽에 염증성 지방변화가 있어 보이나, 위에 사진으로 판단하고 보면 그렇게 보일 정도이다.

renal bladder ultrasound
3. conviex에서 small bowel에 의해 colon이 잘보이지 않음.
image 18부터 복벽에 닿아 있는 cecum/proximal A를 확인함
linear로 전벽에 3개정도의 게실이 관찰됨 (과거와 유사)
; 그 중 가장 내측에 게실 주변으로 염증성 지방변화가 뚜렷, 내측으로 해당 부위가 관찰됨; 최대 압통점과 일치함 linear로 후벽은 관찰되지 않음.
과거 이벤트와 비교하여 백혈구는 증가하지 않았고 crp의 상승 정도도 덜하다. 컨벡스 프로브로 뚜렷히 보였던 과거와 비교되는 점이다.

주말지나 3일뒤 내원
본인이 눌렀을 때 증상으로 비교하면 10 --> 6
투약 중 구역감의 호소
압통의 모습은 비슷하다?
; 주관적 압통은 호전되는 것으로 보고, 구역감이 경미하다고 판단하여 같은 약제 사용하고 한번 더 추적하기로 하였다.
염증성지방변화의 범위가 아주 작은 게실염
...
같은날 게실염 (2); 10년에 7번째, 컨벡스로 잘 보이는
같은날 게실염 (3); 호전중이라면서 입원?, 촉진상 압통범위가 넓고 반발압통까지!
동대문구 답십리 우리안애, 우리안愛 내과, 건강검진 클리닉 내과 전문의 전병연
#동대문구내과 #성동구내과 #광진구내과 #답십리역 #장안평역 #용답역 #청량리역 #신답역 #한양대역 #왕십리역 #답십리사거리 #촬영소사거리 #전농동사거리 #내과 #국가검진 #위내시경 #대장내시경 #갑상선초음파 #복부초음파 #경동맥초음파 #심장초음파 #암검진 #래미안위브아파트 #엘림스퀘어 #두산아파트 #동아아파트 #한양아파트 #동답한신아파트 #두산위브아파트 #힐스테이트청계아파트 #래미안미드카운티 #청솔우성 #래미안크레시티 #롯데캐슬노블레스 #e편한세상답십리아르테포레



댓글