1. 과거 설명이 안되는 복통, 2. 일차항생제의 실패, 3. 또 다른의원을 전전, 4. 이차적인? 담낭소견의 추적 - 동대문구 답십리, 전농동, 우리안애 우리안愛 내과
- Byoung-Yeon Jun

- 8분 전
- 4분 분량
상기 환자 8개월만에방문
1주일 윗배가.. 소화가 안되고 가스차고.. 쓰리고 아프다.
아플때마다 열감도 있고... 두통도..
구토 4번, 어제까지
변이 담즙색깔.. 1주일... 무른변을 조금씩 하루에 10번 가량!; 이번에 주된 증상으로 생각되며!!!
평소에는 하루에 2~3변 배변
회사근처 투약한적 있는데.. 도움이 안된다.
촉진에서 압통은 없어 증상이 1주일정도나 과거의 과장된? 증상을 고려 증상적 투약하려 하였으나....
초음파를 해달라고 졸라서? 시행함
담낭은 특이하지 않으며

간내 고음영의 결절, 혈관종으로 보면 될것이며..

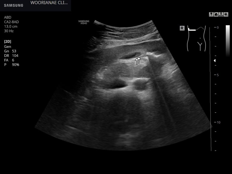
주된 증상을 고려 대장의 관찰도 하는데 우하복부에 아래와 같이 장벽의 비후 후방감쇄가 없어진 소견이 보여, 눌러보면 국소적 압통이 확인된다. 신체검사때 촉진과 달리

바로 아래는 후방감쇄가 있는 맹장 (cecum) 이 관찰됨
위에 벽의 비후가 보이는 대장의 길이는 짧았다.

검사 후 추가 문진하였으며, 압통 및 배변증상 (구토 유발도, 전신증상도 간헐적으로 유발한, 쓰린 증상은 판단에 방행가 되는) 에서 세균성 장염으로 보면 되겠으며, 혈액 평가 및 일차 항생제 투약 후 출근 문제로 4일뒤 추적하기로 함
1주간 증상적 처방만으로 증상 지속되는 경우
2주 참다가 오는 경우도 있다.
2일뒤 전화로 임상적 모습 확인; 내원일 오후 구토 2회 (오전 투약을 토해내지는 않은거 같으며, 저녁약 먹고는 1~2시간 뒤 구토)
내일 아침 증상적 추적해보기로 하였다. 입원 필요할지 결정
crp는 6배 가량 상승

초진 후 3일째 내원 (전화로 확인한 다음날)
배변감.. 쥐어짜는 (꼬이는듯한)... 2시간씩? 지속되기도
아프면 배가 뽈록.. 단단하게 올라온다..
배가 아프면 화장실은 자주...
먹지 못해서 4~5 kg 빠짐
다시 촉진; 초진과 달리 좌측 하행대장과 좌하복부까지 압통이 뚜렷
--> 오늘의 모습으로 전형적인 세균성 장염에 가까운데, 일차항생제의 실패? 항생제 변경하고 내일 추적하기로 하였다. 입원치료에 대한 상의 (입원을 시켜줘야 말이지, 1년 9개월전에 **대학교 외래에서 정신과 가라는 말만 듣고 흐지부지 좋아졌었다.)
1년9개월전, 이곳저곳 의원에서 검사하고 내원, 대학병원에서는 정신병환자 취급
하루뒤 내원
저녁까지 아파서 헛구역질 했는데.. 밤새/그리고 아침까지 괜찮다?
압통의 재확인; 우하복부 (초음파 검사시 압통부위), 및 좌하복부 확인
2차항생제에는 듣는지? 3일뒤 추적 계획
...
2주뒤 내원!
지난외래 2일뒤 **대학교 응급실 방문 조영 복부CT, 혈액검사
2~3일뒤 외래 (하필 과거에 정신과 가라고 했던 교수진료)
; 염증수치는 정상이고 CT에서 장은 부어있고?... 결론적으로 "잘 모르겠다"고 설명
"내시경은 받아보라고..." 해서 빨리되는? 장안동 검진센터에서 위내시경
담즙이 역류해 있으니 초음파 하라고... 담낭벽이 부었고 모래가 있다? 간종괴에 대해 삼중시기 (3 phase) CT를 찍으라고...
; 1. 위에 담즙이 보인다고 초음파는 왜? 2. 대학병원 CT는 의견이 없나? 좀 간격을 가지고 추적하던지...
검사만 돌고돌아 하는 모습이 된다.
요즘 증상은? 속쓰리고 가스차고 소화안되고...
촉진에서 2주전 압통은 없음을 확인
; 중간에 병원과 의원을 왔다갔다 하였으나 처방했던 2차 항생제는 다 복용한 셈 (복용한 것을 확인) 이며 현재 모습은 압통과 설사의 관점에서 호전된 것이다.
3일뒤 내원, 전여 증상 (속쓰림, 소화불량) 은 좋아지고 있으며...
다른 의원에서 담낭 얘기를 하였기에 초음파 추적, 환자의 걱정/궁금증이 크며
공복임에도 담낭은 수축되어 있으며

내부의 음영은 자세에 따라 움직이니 담낭오니가 조금 생긴셈이다. 이차적인... 장염 및 체중감소/식사못함에 의한 결과적 소견이 의심된다.



증상적 처방에 이담제를 추가하여 10일뒤 추적
아래와 같이 담낭에 특이소견은 없다. 기존 담낭오니는 관찰되지 않으며 담낭은 수축되어 있지 않다.

이담제 등 1~2주 추가 처방 후 종료하기로 함
이 환자에서는 일반적 모습을 상회하는 증상 및 기간, 그리고 체중의 감소도 있었다.
Common Causes of Secondary Sludge
Secondary sludge typically forms when the gallbladder does not empty properly (stasis) or when the chemical composition of bile is altered by external factors:
Rapid Weight Loss: Losing weight quickly, including via bariatric surgery or weight-loss medications, increases cholesterol secretion into the bile. 빠른 체중감소
Critical Illness and TPN: Patients in intensive care or those receiving Total Parenteral Nutrition (intravenous feeding) often develop sludge because the gallbladder is not stimulated to contract and empty. 중환자실 환자나 경정맥 영양만 받는 경우
Pregnancy: Hormonal changes can slow gallbladder motility and increase cholesterol levels, leading to temporary sludge formation. 임신
Medications: Certain drugs, such as ceftriaxone (an antibiotic) or octreotide, can precipitate in the bile and form sludge.
Medical Conditions: Alcoholic cirrhosis, diabetes, organ transplantation, and gastric surgery are known triggers.
다음은 어떤 모습으로 올지? 모르겠으나 다음과 같은 특징이 있다.
1. 아프면 증상이 강하고 오래간다? 24년에는 쉽게 질환을 규정할수 없었고, 대학병원에서 정신과 취급을 받음, 그러나, 25년 초 게실염은 진단이 명확하고 임상적 호전이 빠르고 명료하였음. 25년말은 1차항생제가 실패하여 또 24년과 같은가? 하는 불확실성
2. 초기 대응이 잘 안되면? 구별이 잘 되지 않을 수 있다. 24년에는 다른의원을 전전하다 방문하여 그랬고, 이번에는 세균성 장염의 모습이었는데... 초기대응하였으나 하필 일차항생제가 실패한 것으로 보인다. 이 사람 이외에 임상적 실패가 없었다!
25년 초에는 게실염으로 문제가 명확했고 1주일 복용하면서 길어지지 않고 호전, 단 다른의원에서 진단을 부정하고 검사만 쑤셔대었다.
...
항생제 순서가 반대인 격
동대문구 답십리 우리안애, 우리안愛 내과, 건강검진 클리닉 내과 전문의 전병연
#동대문구내과 #성동구내과 #광진구내과 #답십리역 #장안평역 #용답역 #청량리역 #신답역 #한양대역 #왕십리역 #답십리사거리 #촬영소사거리 #전농동사거리 #내과 #국가검진 #위내시경 #대장내시경 #갑상선초음파 #복부초음파 #경동맥초음파 #심장초음파 #암검진 #래미안위브아파트 #엘림스퀘어 #두산아파트 #동아아파트 #한양아파트 #동답한신아파트 #두산위브아파트 #힐스테이트청계아파트 #래미안미드카운티 #청솔우성 #래미안크레시티 #롯데캐슬노블레스 #e편한세상답십리아르테포레




댓글