수주간 지속되는 간헐적인 복통, 췌장 두부 주변의 낭성 종양, 과거보다 변하면서? - 동대문구 답십리, 전농동, 우리안애 우리안愛 내과
- Byoung-Yeon Jun

- 2024년 7월 10일
- 2분 분량
80대 초반 여자, 초진
**대학병원 호흡기내과 추적중
동네 가정의학과에서 제산제등 복용해왔다?
...
2~3주 전부터 소화가 될때 상복부?가 주로 아픈데...
다음날 검사 후 재확인, 식사하기전에 (공복에?) 주로 살살 아프다.. 30분 정도 지속..
12년전 위내시경 기왕력
내시경 및 초음파 계획으로 다음날 방문
내심 증상에서 위암가능성을 생각하였으나 내시경에 궤양성 병변은 없었다.
초음파 시행
총담관은 정상 직경

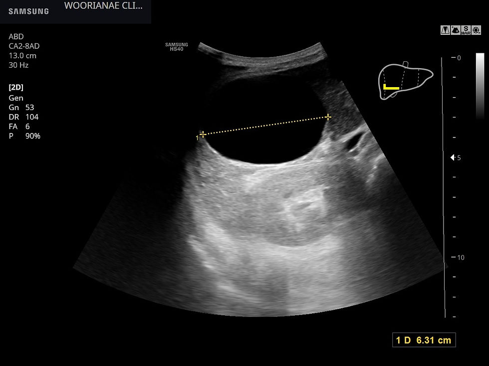
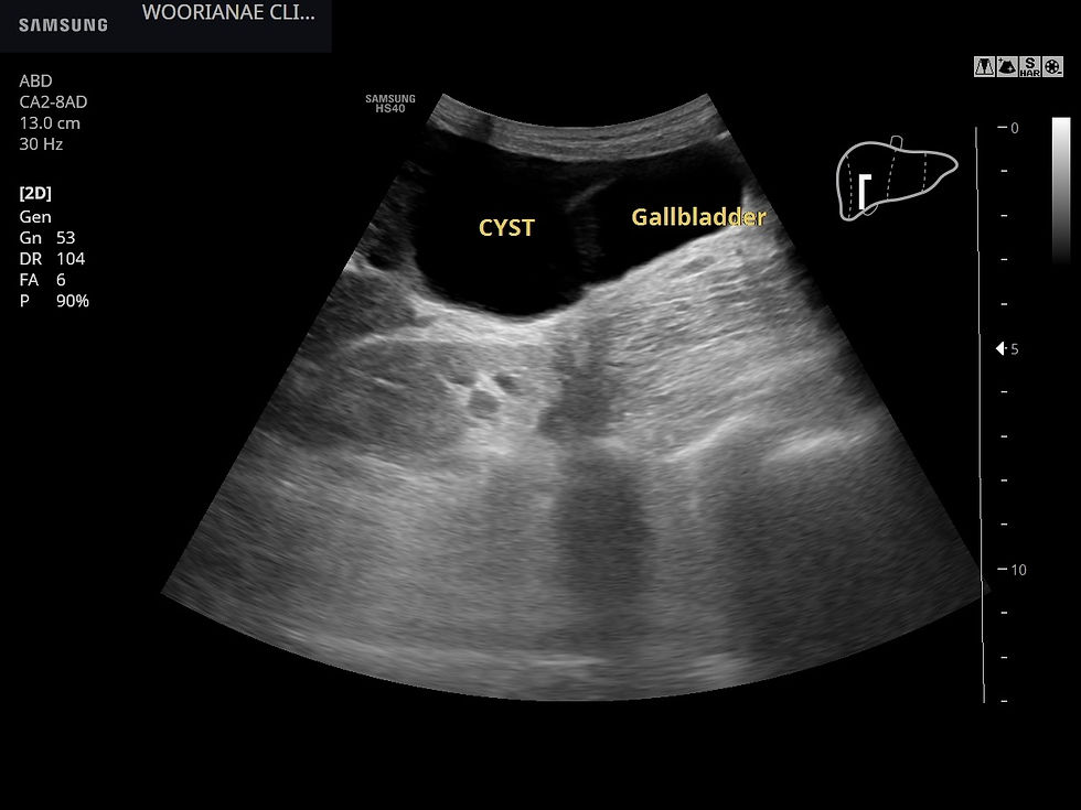
우엽 5번 구역에 큰 간낭종, 이외에 4~5개의 낭종 및 고음영 종괴 (일반적으로 혈관종 소견) 가 2개 있었다.

간 아래 낭종에 의해 담낭의 구별이 어려운데 사이 공간에 위치하고 있다.

내부에 찌꺼기, debris 가 있는 낭종이 배꼽 높이까지 내려와 관찰되는데 크기는 7*7 cm 정도


내부에 찌꺼기, debris 가 있는 낭종이 배꼽 높이까지 내려와 관찰되는데 크기는 7*7 cm 정도


내부에 찌꺼기, debris 가 있는 낭종이 배꼽 높이까지 내려와 관찰되는데 크기는 7*7 cm 정도

검사 후 문진하니
약 2년전 복통으로 같은 **대학병원에 복통으로 응급실, CT시행? 같은 부위의 종양으로 생각되는데 배꼽 높이를 가르키니... 입원하여 수술해야는지 의사들이 논의했었다고 한다. 조직검사를 해야하는지 아닌지 논의했었다고 한다. 입원 후 호전되어 수술이나 조직검사 없이 퇴원했다고 하는데....
췌장염 기왕력이 명확하지 않은데 pancreastic pseudocyst? 가성낭종?
대학병원 진료하여 과거 크기와 비교, 증상과 연관성을 판단받아 치료 결정을 상의하도록 의뢰함
Cystic-appearing lesions are commonly encountered in and around the peritoneal cavity. Differentiating between types of cystic lesions using imaging is challenging owing to their significant appearance overlap. When the organ of origin is obvious, the radiologist can focus on the organ-based differential diagnosis for a cystic mass. 복강내 낭성 종양은 자주 관찰되는데 모양이 겹치기 때문에 구별이 어렵다. 발생한 기관이 명확하면 기관에 따른 감별진단에 집중하게 된다.
Approach to Cystic Lesions in the Abdomen and Pelvis, with Radiologic-Pathologic Correlation | RadioGraphics (rsna.org)
간의 내부보다는 간에 접해 있는? 복잡 낭종; 낭성 림프관
우연히 발견된 후복강 낭성 종양 - CT시행 비슷한 감별질환으로 외과 의뢰, 복강경으로 절제함 --> 혈종, hematoma
...
한달간의 은근하게? 지속적인 복통, 담도폐색, 췌장암
쓰리다 못해 아프다. 진행성 위암
동대문구 답십리 우리안애, 우리안愛 내과, 건강검진 클리닉 내과 전문의 전병연
#동대문구내과 #성동구내과 #광진구내과 #답십리역 #장안평역 #용답역 #청량리역 #신답역 #한양대역 #왕십리역 #답십리사거리 #촬영소사거리 #전농동사거리 #내과 #국가검진 #위내시경 #대장내시경 #갑상선초음파 #복부초음파 #경동맥초음파 #심장초음파 #암검진 #래미안위브아파트 #엘림스퀘어 #두산아파트 #동아아파트 #한양아파트 #동답한신아파트 #두산위브아파트 #힐스테이트청계아파트 #래미안미드카운티 #청솔우성 #래미안크레시티 #롯데캐슬노블레스




댓글