무증상으로 담석 및 담낭오니로 꽉찬 담낭의 추적 (2) - 동대문구 답십리, 장안동, 우리안애 우리안愛 내과
- Byoung-Yeon Jun

- 2025년 8월 7일
- 3분 분량
최종 수정일: 2025년 8월 8일
상기 환자 이담제 복용 하면서 약 3개월뒤 추적
; 변화없음.
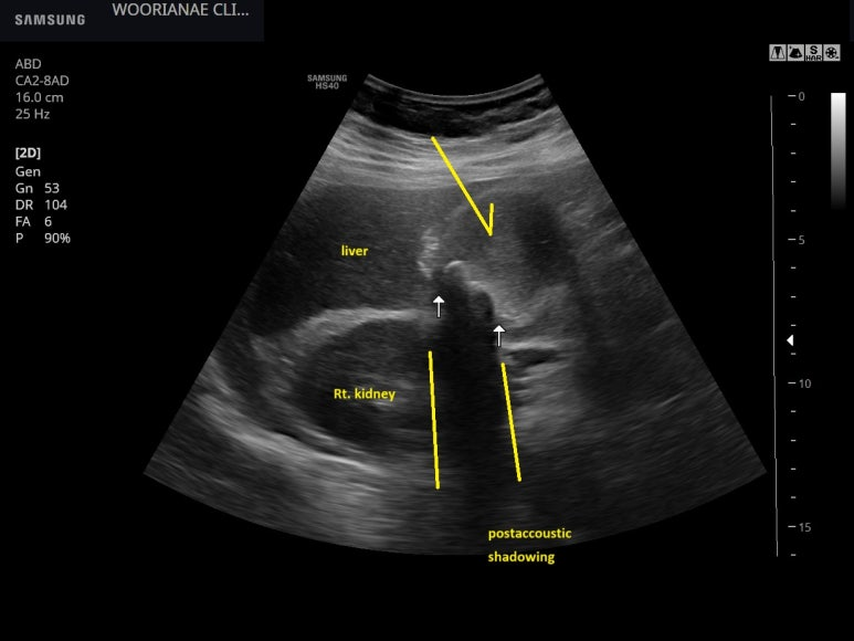
--> 담석 및 담낭 수종 (gallbladder hydrops)
transverse view, 화살표가 내용물로 꽉찬 음영

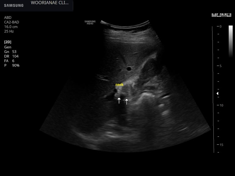
intercostal view

목에 근접해서도 박혀있는듯한 담석의 확인

Mucocele of the gallbladder is a condition caused by the prolonged blockage of the cystic duct, usually by an impacted gallstone. Another name for this condition is hydrops of the gallbladder. 담낭관이 주로 담석에 오랫동안 막혀 생기는 상태
Other etiologies of gallbladder mucocele include anything that causes a blockage of the cystic duct or distal biliary tree. Neoplasms, including gallbladder polyps and tumors, can result in hydrops. 담낭관의 폐쇄를 일으키는 다른 원인으로 용종이나 종괴등 종양성 병변이 있을 수 있다.
Congenital strictures, gallbladder parasites, and external compression from liver disease or tumors can also cause gallbladder mucoceles. 외부 압박에 의해서도...
Other factors that can lead to hydrops include anything that increases the risk of cholecystitis, such as drastic weight reduction, prolonged TPN, gastric surgeries with disruption of the vagus nerve, critical illness, diabetes, hyperlipidemia, hypercalcemia, and biliary conditions such as Caroli disease. 담낭염의 위험인자가 기여한다; 급격한 체중감량... 중환자상태, 당뇨...
Patients with hydrops of the gallbladder usually present with signs of more acute cholecystitis. 담낭수종 환자는 주로 급성 담낭염 증상을 보인다.
Mucocele or hydrops of the gallbladder is defined as an overdistended gallbladder filled with mucoid or clear and watery content. The condition can result from gallstone disease, the most common affliction of the biliary system. Acute non-calculous, noninflammatory distention of the gallbladder is mostly observed in infants and children 무담석인경우 소아에서 주로 관찰된다. The absence of gallbladder inflammation and generally benign prognosis distinguish acute hydrops from acute acalculous cholecystitis 염증의 소견이 없고 예후가 좋아서 급성 담낭염과 구별된다. Acute hydrops also has been associated with Kawasaki's disease and Henoch-Schonlein purpura (소아의 질환들과 관련되는 경우들), and in patients on prolonged parenteral nutrition. In some cases, a cause is not identified. In acalculous hydrops (담석이 없는 수종에서는), expectant management may be considered despite the concern for malignancy or gallstones (악성이나 (영상에서 잘 안보이는?) 담석에 대한 걱정에도 불구하고 기다려볼수 있다. 소아의 경우??) . Unfortunately there has not been much literature published on the management of asymptomatic gallbladder hydrops in the elderly 고령의 무증상 담낭 수종 치료에 대한 문헌이 많이 없다. We believe that the mainstay therapy for patients with gallbladder hydrops should be conservative management. 저자는 보존적 치료가 될수 있다고 믿는다.
무증상 담석+담낭수종 상태인데 계획은?
1. (추적 관찰하는) 무증상 담석을 넘어선 폐색, 그리고 점액질로 꽉찬상태 (수종) 이므로 앞으로 복통 혹은 담낭염의 가능성은? 을 고려
2. 혹시나 담낭목에 작게 원인이 될 수 있는 악성에 대한 배제가 안되는 점... 을 고려
하여 수술로 제거하는 것을 상의함
췌담도 외과 외래 상의하기로 함
무증상 담낭 수종은 처음 관찰한 사례이다.
<보통은 담낭산통의 증상을 가지고 방문>
담석이 없어서 이담제를 주고 보자고 하였는데.. 추적된 기록이 없다.
얼핏 기억에 추후 다른 진료때문에 방문했는데 그때 확인해보니.. 증상이 또 생겨서 수술받은 것으로 기억한다.
담낭안에 차 있다가 증상이 생긴게 아닐지.. 증상은 단 하루
...
막힌게 해결되었는지? (안보이는 작은 담석이 자연히 빠져나갔거나..) 추후 증상 없고 초음파 소견도 없어진...
...
작은 돌, 모래양 담석이라면 이렇게 없어지기도 하는데...
아닌 경우도 있다. 증상이 반복되며 마지막엔 총담관의 일시적 패색 (passing stone) 의 합병증도 있었던 경우. 권고와 달리 뒤늦게 수술한 경우
동대문구 답십리 우리안애, 우리안愛 내과, 건강검진 클리닉 내과 전문의 전병연
#동대문구내과 #성동구내과 #광진구내과 #답십리역 #장안평역 #용답역 #청량리역 #신답역 #한양대역 #왕십리역 #답십리사거리 #촬영소사거리 #전농동사거리 #내과 #국가검진 #위내시경 #대장내시경 #갑상선초음파 #복부초음파 #경동맥초음파 #심장초음파 #암검진 #래미안위브아파트 #엘림스퀘어 #두산아파트 #동아아파트 #한양아파트 #동답한신아파트 #두산위브아파트 #힐스테이트청계아파트 #래미안미드카운티 #청솔우성 #래미안크레시티 #롯데캐슬노블레스 #e편안세상답십리아르테포레




댓글