"마판 증후군 의심되는데.. 아닐거다."? 대동맥 직경의 확인 - 동대문구 답십리, 용두동, 우리안애 우리안 愛 내과
- Byoung-Yeon Jun

- 2025년 6월 20일
- 3분 분량
20대 후반 여자, 초진
심장초음파 위해 내원
정형외과에서 마판 의심되는데 아닐거다?
다음과 같은 소견들이 있어서 그랬는지..


이외 측만증이 있다는데 Cobb's angle은?
평말도 있는데.. 정형외과의 판단은?
마판증후군의 진단기준은 아래와 같은데... 강조되는 소견은 대동맥의 확장, 수정체 완전탈구, 그리고 FBN1 유전자 검사
Revised Ghent nosology — The 2010 revised Ghent nosology puts greater weight on aortic root dilatation/dissection and ectopia lentis as the cardinal clinical features of MFS and on testing for mutations in FBN1 [14]. For the aortic criteria, aortic root Z score calculators are available.
●In the absence of family history of MFS, the presence of one of any of the following criteria is diagnostic for MFS:
•Aortic criterion (aortic diameter Z ≥2 or aortic root dissection) and ectopia lentis* (see 'Ocular abnormalities' below)
•Aortic criterion (aortic diameter Z ≥2 or aortic root dissection) and a causal FBN1 mutation as defined above (see 'Causal FBN1 mutations' above)
•Aortic criterion (aortic diameter Z ≥2 or aortic root dissection) and a systemic score ≥7 (see 'Systemic score' below)*
•Ectopia lentis and a causal FBN1 mutation as defined above (see 'Causal FBN1 mutations' above) that has been identified in an individual with aortic aneurysm
●In the presence of family history of MFS (as defined by the above criteria), the presence of one of any of the following criteria is diagnostic for MFS:
•Ectopia lentis
•Systemic score ≥7 points*
•Aortic criterion (aortic diameter Z ≥2 above 20 years old, Z ≥3 below 20 years, or aortic root dissection)*
For criteria with an asterisk (*), the diagnosis of MFS can be made only in the absence of discriminating features of Shprintzen-Goldberg syndrome, Loeys-Dietz syndrome, or vascular Ehlers-Danlos syndrome (table 1) and after TGFBR1/2, collagen biochemistry, or COL3A1 testing if indicated. Later data suggest that additional gene mutations should also be excluded, including those in SMAD3, TGFB2, and SKI.
Wrist/thumb이외에는 없는건 없으며, 불확실하거나 정형외과적 판단이 필요한 소견들이 있다. 얼굴 모습은 특이하지 않으며
Systemic score — The revised Ghent nosology includes the following scoring system for systemic features [14]:
●Wrist (picture 2) AND thumb sign (picture 3): 3 points (wrist OR thumb sign: 1 point) (see 'Arachnodactyly' below)
●Pectus carinatum deformity: 2 (pectus excavatum or chest asymmetry: 1 point) (see 'Pectus deformity' below)
●Hindfoot deformity: 2 points (plain pes planus:1 point) (see 'Hindfoot valgus' below) 평발이 있다는데 정의에 맞는지?
●Pneumothorax: 2 points (see 'Pulmonary disease' below)
●Dural ectasia: 2 points (see 'Dural ectasia' below) 정형외과검사하지 않으면 알수 없음
●Protrusio acetabuli: 2 points (see 'Protrusio acetabuli' below) 검사하지 않으면 알수 없음
●Reduced upper segment/lower segment ratio AND increased arm span/height AND no severe scoliosis: 1 point (see 'Abnormal US/LS and arm span/height' below) 정형외과에서 봤는지?
●Scoliosis or thoracolumbar kyphosis: 1 point (see 'Scoliosis and kyphosis' below) 측만증이 있다고 하나 cobb's angle은?
●Reduced elbow extension (≤170 degrees with full extension): 1 point (see 'Skeletal findings' below)
●Facial features (at least three of the following five features: dolichocephaly [reduced cephalic index or head width/length ratio], enophthalmos, downslanting palpebral fissures, malar hypoplasia, retrognathia): 1 point. (See 'Facial features' below.)
●Skin striae: 1 point (see 'Skin striae' below) 엉덩이에 있다?
●Myopia >3 diopters: 1 point (see 'Ocular abnormalities' below) 안과수술 시 어땠는지...
●Mitral valve prolapse (all types): 1 point (see 'Cardiac disease' below)
A systemic score ≥7 indicates major systemic involvement.
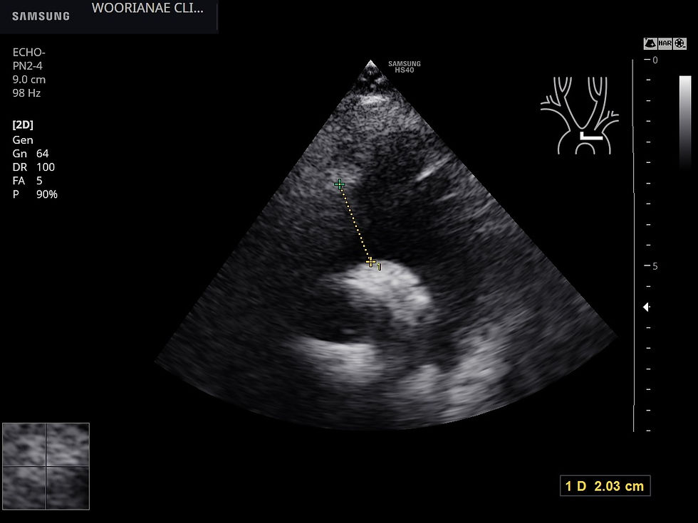
초음파 시행, sinus of valsava에서 대동맥 직경은 2.37 cm



z-score는 -2.0으로 평균을 크게 믿돈다. 따라서 음성
진단조건에 대동맥 직경이 z 값으로 2.0 이상이면서... 이므로 부합하지 않는다.
어느 병원인지 희귀질환센터에 전화를 해봤다는데 진단 받으면 오라고? 다학재 접근이 필요한데 안내가 성의가 없다.
우선 변화를 추적하면 되지 않을까 생각된다.
...
thumb sign의 특이도는? 일반인 (마판증후군이 아닌) 이나 기타 결체조직 질환에서도 보일수 있어 특이도가 높지 않다.

Wrist sign 도 마찬가지

동대문구 답십리 우리안애, 우리안愛 내과, 건강검진 클리닉 내과 전문의 전병연
#동대문구내과 #성동구내과 #광진구내과 #답십리역 #장안평역 #용답역 #청량리역 #신답역 #한양대역 #왕십리역 #답십리사거리 #촬영소사거리 #전농동사거리 #내과 #국가검진 #위내시경 #대장내시경 #갑상선초음파 #복부초음파 #경동맥초음파 #심장초음파 #암검진 #래미안위브아파트 #엘림스퀘어 #두산아파트 #동아아파트 #한양아파트 #동답한신아파트 #두산위브아파트 #힐스테이트청계아파트 #래미안미드카운티 #청솔우성 #래미안크레시티 #롯데캐슬노블레스 #e편안세상답십리아르테포레




댓글