담석은 보이지 않으나 공복이 아닌데? 팽대한 담낭, 증상과 같이하여 담낭폐색으로 판단 - 동대문구 답십리, 용답동, 우리안애 우리안愛 내과
- Byoung-Yeon Jun

- 2024년 11월 17일
- 1분 분량
70대 초반 남자, 의정부에서 고혈압등 투약중, 과거 뇌경색 기왕력
과거 간헐적 진료 보았던 분으로...
5시간 전부터 복통이 지속... 배꼽위가... 뭉치는??
신체검사상 압통은 없으나
우측 갈비뼈 쪽을 쳐보면 속이 울리듯이 아파하는데.. percussion tenderness
환자를 관찰해보면 끙~ 하게 참는 듯한 느낌..
; 투약만 하고 보내기엔 지속적으로 꽤 아파하는 모습으로...
아주 강하게 담석질환으로 볼수 없으나 배제를 위한 초음파 권유하여 시행
점심이후 5시간이 지났으니 공복으로 봐야할지.. 식후로 봐야할지 애매하나
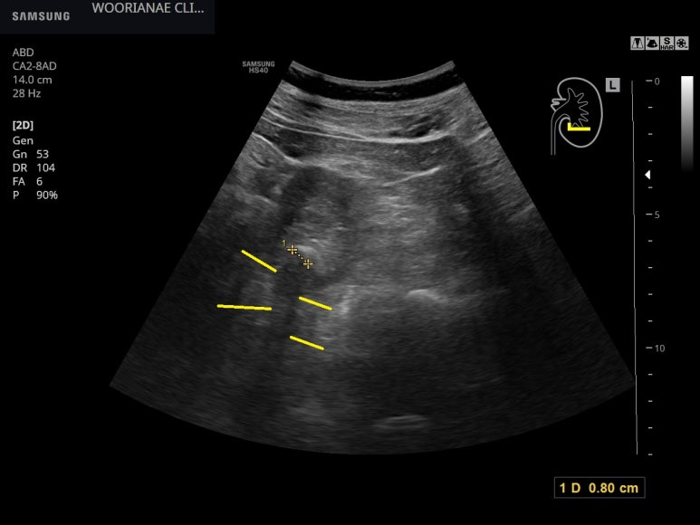
담낭은 압력이 올라간, 팽대한 느낌
간내 담도 확장은 없었으며, 담낭벽의 비후도 없다.

여러 각도에서 담낭목을 관찰하는데 뚜렷한 담석은 발견되지 않았다.

우상복부 타진에 의한 약간의 유발통증
지속되는 복통의 모습
담석은 없으나 팽대한 담낭에서
지속되는 담낭폐색으로 판단, 추가 평가 및 필요시 수술적 치료 결정위해 응급실로 전원함
비슷한 정도의 임상 모습
이 경우는 담석의 확인
수년간 무증상으로는 거의 관찰하지 못했는데... 신장내 결석이 관찰됨
후방감쇄가 동반되어 뚜렷하다.

동대문구 답십리 우리안애, 우리안愛 내과, 건강검진 클리닉 내과 전문의 전병연
#동대문구내과 #성동구내과 #광진구내과 #답십리역 #장안평역 #용답역 #청량리역 #신답역 #한양대역 #왕십리역 #답십리사거리 #촬영소사거리 #전농동사거리 #내과 #국가검진 #위내시경 #대장내시경 #갑상선초음파 #복부초음파 #경동맥초음파 #심장초음파 #암검진 #래미안위브아파트 #엘림스퀘어 #두산아파트 #동아아파트 #한양아파트 #동답한신아파트 #두산위브아파트 #힐스테이트청계아파트 #래미안미드카운티 #청솔우성 #래미안크레시티 #롯데캐슬노블레스




댓글