좌하복부 복통/압통, 복막수염으로 rule-in - 동대문구 답십리, 전농동, 우리안애 우리안愛 내과
- Byoung-Yeon Jun

- 2025년 12월 3일
- 2분 분량
20대 중반 남자, 초진
오늘 새벽부터 왼쪽 아랫배가 쿡쿡하는 느낌.. 자고 일어나도...
걸을때도..
근육통 (-)
설사 (-)
왼쪽 하복부, 골반의 윗쪽 경계 직상방, 대장 주행의 외측에 해당하는 곳에 뚜렷한 국소적 압통
늑골각압통은 없으며...
게실염, 복막수염 가능성을 고려하여 설명하고 초음파 시행
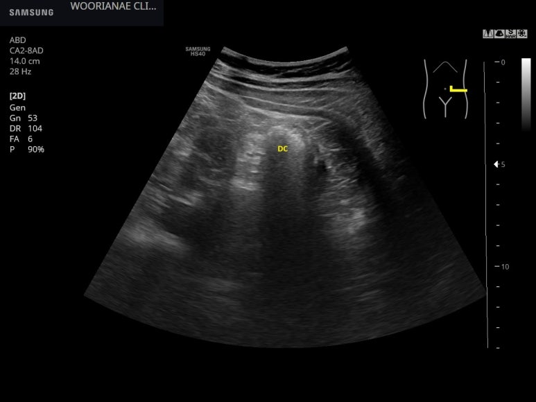
하행결장 (DC)

하행결장의 끝에서 전방으로 염증성 종괴같이.. 고음영의 난원형 변화가 인지되며

리니어 프로브로 아래와 같이 저음영 경계를 가지는 고음영 종괴로 관찰된다.

위아래 장경

복막수염으로 증상적 처방, 외래 추적 계획
아래의 전형적인 복막수염 이후에 4~5년만에 첫 사례가 된다. 빈도가 많지 않다는 얘기
...
에스결장의 게실염, 복막수염인가 하였으나..
하행결장의 게실염, 복막수염인가 하였으나...
Primary epiploic appendagitis (PEA) is a rare and frequently underdiagnosed cause of acute abdominal pain. PEA most commonly affects obese, male patients in the 4th and 5th decade of life. Clinical presentation includes acute, localized, non-migrating pain without fever, nausea, vomiting or diarrhea and the laboratory workup is usually within normal limits. PEA is commonly mistaken as other more severe causes of acute abdominal pain, such as diverticulitis, acute appendicitis or cholecystitis and thus patients undergo unnecessary diagnostic and therapeutic procedures. The emergence of computerized tomography (CT) as the gold standard imaging test in diagnostic dilemmas of acute abdominal pain has resulted in increased recognition and diagnosis of PEA. Upon confirmation, PEA is considered a self-limiting disease and is managed conservatively with analgesics, occasionally combined with nonsteroidal anti-inflammatory drugs (NSAIDS). Persistence of symptoms or recurrence mandate the consideration of surgical management with laparoscopic appendage excision as the definitive treatment. We review the current literature of PEA, with a focus on clinical and imaging findings, in order to raise awareness about this frequently misdiagnosed entity.
동대문구 답십리 우리안애, 우리안愛 내과, 건강검진 클리닉 내과 전문의 전병연
#동대문구내과 #성동구내과 #광진구내과 #답십리내과 #장안동내과 #용답동내과 #청량리내과 #한양대역 #왕십리역 #답십리사거리 #촬영소사거리 #전농동내과 #내과 #건강검진 #위내시경 #대장내시경 #갑상선초음파 #복부초음파 #경동맥초음파 #심장초음파 #암검진 #래미안위브아파트 #엘림스퀘어 #두산아파트 #동아아파트 #한양아파트 #동답한신아파트 #두산위브아파트 #힐스테이트청계아파트 #래미안미드카운티 #청솔우성




댓글