4일간의 발열, 식욕부진, 화농성 가래 증상의 폐렴 사례
- 2020년 3월 2일
- 1분 분량
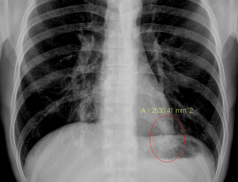
기저 질환 없는 40대 중반 남자
4일간의 열감, 심한 식욕부진
기침, 가래로 내원
타원에서 3일간 감기약
체온 38.8, 호흡수 15/min, 심박수 120/min, 혈압 안정적
청진음은 폐첨부에 rhonchi 양상이긴 하였으나 x-ray상 Lt. posterior basal segment에 air bronchogram이 관찰됨; 가래 배양 검사등 시행 후 항생제 투여하고 외래 추적 예정
동대문구 답십리 우리안애, 우리안愛 내과, 건강검진 클리닉 내과 전문의 전병연







댓글