2차 고혈압(secondary hypertension) 검사 시행한 2 사례
- 2020년 7월 10일
- 2분 분량
1. 50대 중반 남자
통풍으로 투약중
검진센터에서 혈압이 높으니 내과 진료를 보라하여 내원함.
(검진센터는 뭐하는 곳??)
내원시 혈압 192/120
2년전 검진시, 2개월 전 혈압은 괜찮았다.
흡연 (+)
우선 CCB투여함.
갑자기 매우 높아진 혈압으로서 2차 고혈압 배제위해 검사함. 수일간 투여 후 검사시 혈압은 150/98
10년 ASCVD risk (뇌심혈관 질환 위험도) 16.7%
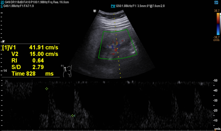
부신 우연종은 없었으며 RI는 정상 범위로 신동맥 협착 배제
심전도상 심비대 등 특이소견 없으며
aldosteron/renin ratio; 3.5
TSH/fT4; 2.8/1.3
ca; 9.1
24시간 소변
aldosteron; 9.6 (24 Urine Na 156)
cortisol; 177
metanephrine/normetanephrine; 115/340
creatinint; 1.83
혈압조절 후 심초음파, 위대장내시경 시행하기로 함
(위대장내시경 받은적 없다.)
CCB 단일 성분으로 혈압조절 되어 유지하고, 10yr ASCVD risk 16.7%로 중등도 위험으로 고지혈증약 복합제 복용하면서 관찰 예정
2. 20대 초반 남자
11월초 타내과에서 혈압 투약 2개월 후 내원함.
내원시 혈압 166/80
BMI 38.4로 비만, 최근 운동으로 6 kg감량한 상태
고도비만의 위험이 있지만 20대의 혈압으로 2차고혈압 평가등 시행하기로 상의함
투약 조절 후 검사일 내원시 혈압 150/80
부신 우연종은 없었으며 RI는 정상 범위의 상한선 소견, 이외 중등도의 지방간 소견
심전도상 심비대 등 특이소견 없으며
aldosteron/renin ratio; 1.8로 높지 않으나 renin이 10.3으로 고레닌혈증
TSH/fT4; 3.3/1.4
ca; 9.6
24시간 소변
aldosteron; 4.5
cortisol; 255.9
metanephrine/normetanephrine; 14.2/122.2
creatinint; 1.71, na; 146
약제 증량 후 마지막 혈압 136/86
체중 조절을 가장 중요한 장기적 목표로 삼아야겠다.
40세 이하에서 절대 위험도 대신 아래의 상대 위험도를 확인하여 설명해 줄 수 있겠다. total cholesterol (전체 콜레스테롤) 136 mg/dl (3.52 mmol/L) 에 혈압 150은 10년내 심혈관 질환에 의한 사망율을 2배정도 증가시킨다.
이외 혈관운동성 양상의 비염 증상이 있고 갑각류에 대한 혈관부종 증상 발생이 있어 알레르기 검사 시행함.
최근 (겨울에) 운동하고 나서 기침이 나고 가슴이 답답하다는 증상을 호소, 그래서 운동을 안했다. 줄어든 체중 그대로 더 변화는 없다. --> 운동 유발 천식에 대해 증상 추적하기로 함. 안정시 폐기능은 특이소견 없음. 유발검사 할지 혹은 운동전 흡입제 사용해 볼지 결정 필요.
MAST결과; 집진드기, 집먼지에 의미 있는 양성 소견을 보인다. 침구류나 청소에 대한 방침을 세울수 있겠다.
새우는? 검사의 민감도와 특이도를 고려하고 challenge (먹었을 때) 반복적으로 증상이 발생한다면 MAST결과와 상관없이 새우에 대한 음식 알러지도 있음으로 고려해야 한다.
2차 고혈압 양성 사례
동대문구 답십리 우리안애, 우리안愛 내과, 건강검진 클리닉 내과 전문의 전병연















댓글