호흡곤란으로 내원한 폐부종, 폐고혈압 사례 - 뼈의 병변/통증, 신부전, 빈혈을 동반한 다발성골수종 (골수검사 전단계)
- 2020년 2월 21일
- 1분 분량
최종 수정일: 2020년 2월 23일
80대 초반 남자
타원에서 당뇨, 고혈압 투약중 (ARB, SU, alpha-glucosidase 저해제 복용중)
과거 흡연력
2개월 부터 숨이 차다. 내원 2-3일 전부터 심해짐.
초반에 가래 기침, 현재 마른 기침 호소
(이외에 2개월 전부터 돌아가면서 흉곽의 통증을 호소하였으며, 2주전까지 약 20여일간 소염진통제 복용함)
혈압은 SBP 150대, 맥박 109
SaO2 89~92%
청진상 양측 수포음
시진상 빈혈의 의심됨.
왼쪽 하지 약간의 부종 소견
x-ray; 양측 CPA blunting, 혈관의 engorement & cephalization이 관찰됨. 심비대
심초음파상 수축기 기능은 정상, 이완기 기능 이상도 경미한 (grade I) 수준
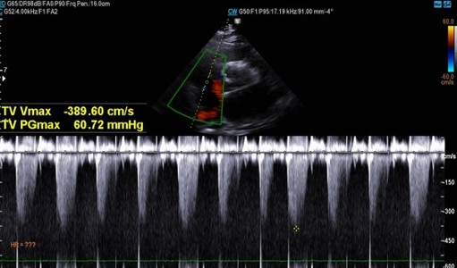
폐동맥 고혈압 소견 관찰됨.
폐기능 검사; FEV1/FVC 67.6, FEV1 69
폐쇄성 폐질환 소견이나 폐부종 호전 이후 재평가 필요
기저질환과 빈혈 동반 등
신부전에 의한 폐부종, 폐고혈압 의심
폐정맥 혈전 배제 필요
혈액검사 진행중, 이뇨제 처방
--> Hb 6.7, ferritin 153
albumin/protein 3.1/8.4
Cr/Bun 2.8/26.1
D-dimer 0.4
ca 9.4
다발성 골수종 (multiple myeloma, MM) 의심하여 가슴 x-ray 자세히 봤을 때 왼쪽 견갑골 아래에 경계를 밀어내는 osteolytic lesion이 관찰됨. 혈액단백영동검사 추가함.
MM의 진단을 위해서는 골수검사, 혈액내 M 단백의 증가, 증상 (CRAB - calcium, renal insufficiency, anemia, bone lytic lesion)이 필요함. 현재 증상에서 RAB을 만족하고 있음.
혈액단백영동검사에서 M protein 3.8 g/dL로 증가되어 있으며, 혈액내과 진료의뢰 예정
-----------------------------------------------------------
단백영동검사가 필요한 경우
1. 일차성 아밀로이드증, 다발성골수종, Waldensroem's macroglobulinemia등이 의심될 때
2. 설명이 되지 않는 말초 신경염 (오래된 당뇨, 독성 물질에 노출, 항암치료 등이 없는 경우)
3. 새로 발생한 신부전과 뼈의 통증
4. 허리 통증이 있는데 다발성골수종이 의심되는 경우
5. 악성 종양에 의한 고칼슘혈증의 감별 (체중감소, 피로, 뼈의 통증, 이상 출혈)
6. 말초혈액에서 Rouleaux formation
7. 혈액단백이 증가한 신부전
8. 설명이 되지 않는 병적 골절과 엑스레이상 보이는 용해상 병변
9. Bence Jones 단백뇨
동대문구 답십리 우리안애, 우리안愛 내과, 건강검진 클리닉 내과 전문의 전병연












댓글