top of page

Tags

Our Recent Posts

혈변으로 내원, 출혈원인의 용종발견, 용종 절제술로 제거하여 점막하층 (sm3) 침범을 확인한 대장암

  • 작성자 사진: Byoung-Yeon Jun
    Byoung-Yeon Jun
  • 2020년 8월 23일
  • 1분 분량

70대 후반 여자

20여일간 선혈의 혈변 증상


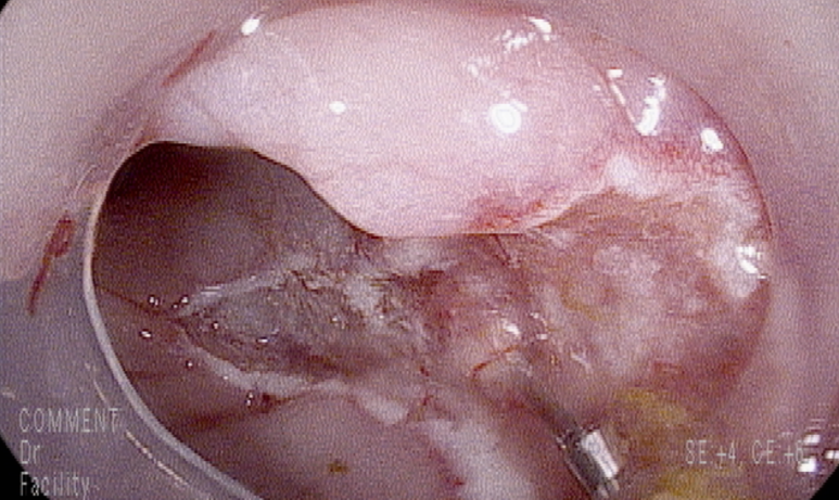
직장내시경 시행 항문연에서 9cm부분에 20 mm 크기의 용종



IV pit pattern보여 고등급의 선종 이상 병변으로 판단



분할절제로 용종절제술 시행함



오른쪽 일부분은 스네어로 잡히지 않아 조직겸자로 제거함, 경계 양성 가능성 있으며 양성 종양일 경우 추적검사시 추가적 제거 계획



일부 근육층의 부분적 손상



클립으로 결찰함



조직결과; sm3깊이까지 침범한 점막하 대장암 [ DIAGNOSIS ]Rectum, 9cm from anal verge, colonoscopic polypectomy; Submucosal adenocarcinoma with background of tubular adenoma a) level of invasion (for sessile lesion);deep third of submucosa (sm3 by Kikuchi classification) b) resection margin: possibly involved(+) 추가계획; 수술

내시경 치료의 절대적 기준치는 1000um이하로 보고 있으며...(점막하층 침윤이 1000um미만이면서 맥관이나 림프관의 침윤이 없는 경우는 LN meta전이가 0-5%정도로 보고됩니다.)

점막하층까지 침윤한 침습암의 경우 LN meta가 3-16% 동반될수 있습니다. --> 추가적 외과적 수술 필요

참조> 분당서울대 개원의 연수강좌 내용 발췌


크기가 작았으나 점막하 대장암이었던 경우, 용종절제술은 깨끗했으나 점막하 1500 um 깊이의 점막하 대장암으로 수술하였던 경우


크기는 거대하였으나 양성 선종이었으며 국소적 재발을 추적 제거하여 완전절제했던 사례


동대문구 답십리 우리안애, 우리안愛 내과, 건강검진 클리닉 내과 전문의 전병연


 
 
 

댓글


Copyrights ⓒ 우리안애 愛 내과, 건강증진센터 All Right Reserved.

bottom of page