크기가 변하는 갑상선 결절, 7년전과 비교
- Byoung-Yeon Jun

- 2020년 2월 15일
- 1분 분량
34세 남자
무증상 갑상선 초음파 원해 검사
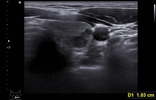
왼쪽 경동맥에 접해서
T nodule L 12.7*5.4*10.3(hypoechoic, lobulated margin, microcalcification at upper lesion)
초음파상 위험소견이 3개 관찰되어 세침검사를 요함.
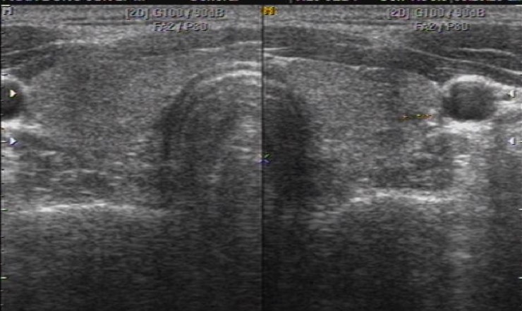
7년전 초음파 사진을 참조하면 경동맥 옆에 같은 위치에 2.9 mm 작은 결절 소견
갑상선 암의 대부분은 papillary ca.이며 10년에 크기 변화등 진행하는 경우가 낮긴 하나
상기 경우를 보았을 때 작은 결절이라도 발견될 경우 장기간 추적검사를 해야 할 필요가 있을 것으로 사료된다.
---------
세침검사 시행
suspicious for papillary carcinoma (suspicious for malignancy) (Bethesda V)










댓글