출산후 혈압이 오래 지속되었으나 추적이 불명확했었던 혈압 사례, 이첨판 역류 보이는 심초음파 결과 포함
- Byoung-Yeon Jun

- 2020년 7월 4일
- 1분 분량
40대 중반여자
첫 건강검진
과거력상 10년전 제왕절개시 출산 후 혈압이 오랫동안 높았다. 정상화되었는지는 분명하지 않음.
내원시 혈압 164/90
BMI 25.3
기본 혈액/소변검사; 중성지방 150이상 이외에 특이소견 없음.
재내원시 혈압 172/102
투약시작하였으며 (두가지 복합제로 시작)
4-6주후 추적 혈액검사시 혈압 합병증 평가하기로 함.
출산 후 6주이내에 지속되는 혈압의 원인으로 임신성고혈압, 전자간증, 임신중 만성 고혈압이 가장 흔하다.
출산 직후에는 통증, 긴장, 약제 효과로 인해 일시적으로 혈압이 상승할 수 있다.
출산 후 대부분 1주일 이내에 혈압이 정상화 된다. 그러나 정상화되는 속도나 빈도는 출산시 진단된 질환에 영향을 받는다.
임신중 혈압이 있던 경우 약 20%에서 지속적(>6주)으로 혈압이 높아 치료가 필요하게 된다.
참조> BMJ 2013;346:f894 doi: 10.1136/bmj.f894
출산후 혈압이 지속적으로 높았을지?
추적은 불충분하였으나 혈압이 정상화되었다가 가족력, 체중, 대사성 증후군의 요소들을 가지고 있었는지에 따라 고혈압이 생겼는지?
40살의 생애검진등을 시행하지 않아 확인할 방법은 없다.
2주뒤 외래, ARB/CCB복합제 복용중
혈압 126/78
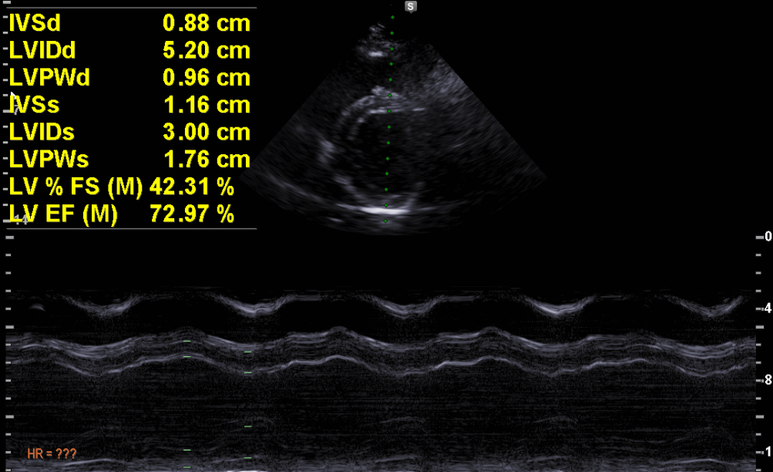
심초음파
우심방의 확장
LA volume by prolate-ellipsoid (PE) method로 측정해보면 29 ml/m2
좀더 권장되는 LA volume by biplane area–length (AL) method은 현재 초음파에서 측정되지 않음.
M mode에서 수축기 기능은 정상
이완기 기능 특이사항 없음.
Simpson method에서 수축기 기능 정상
경계값에 가까우나 약간의 심비대
결론;
경계의 좌심실비대
경도의 이첨판 역류
좌심방 확장 의심
현재 투약 유지하면서 추적검사 하기로 함.
동대문구 답십리 우리안애, 우리안愛 내과, 건강검진 클리닉 내과 전문의 전병연












댓글