진행하는 갑상선염 소견과 동반된 크기 변화가 있는 림프절, 세침검사(FNA) 시행 -->반응성 변화
- Byoung-Yeon Jun

- 2020년 7월 6일
- 1분 분량
40대 중반 남자
2014년 후반 갑상선
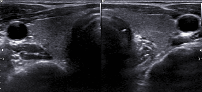
area VI 에 LN로 생각되는 결절
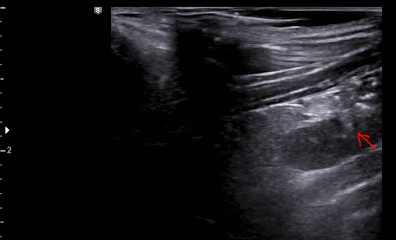
3개월뒤 추적 검사
갑상선 실질이 거칠어지고 저음영의 미세결절들이 증가되어 관찰
당시 갑상선 기능 수치는 정상
림프절 크기는 약간의 변화
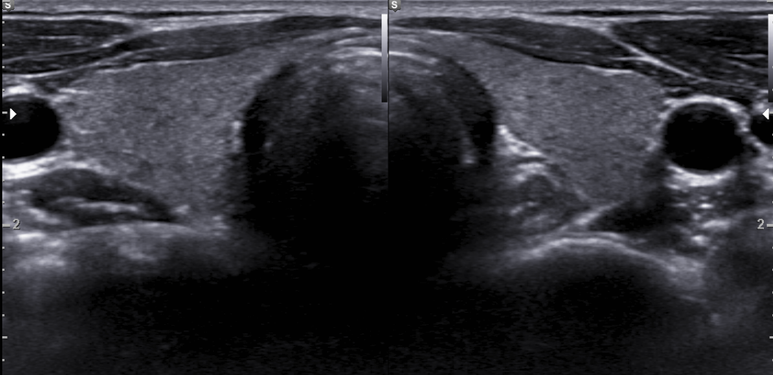
2016.11월 검진차 내원
저음영의 미세결절 변화는 매우 두드러지고 갑상선 비대해짐
갑상선염 소견 진행
도플러 패턴도 강해짐
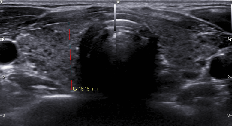
결절의 크기가 증가함
hilum의 혈관이 잘 관찰됨
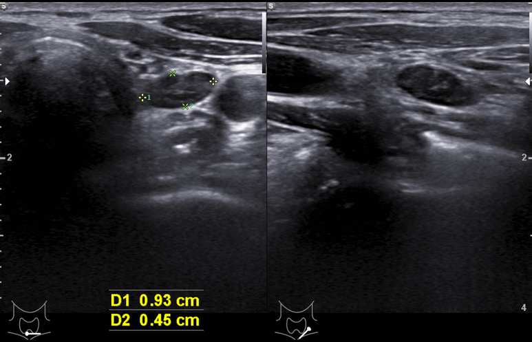
세침검사 시행함.
갑상선 기능검사; TSH; 2.23, fT4 1.4
anti-TPO Ab; 233 (<=34)
TSHRAb; positive(19.3) (>1.7 positive)
PTH; 54.7
ca; 9.4, P; 3.2
; 갑상선 기능은 정상(euthyroid)이나 두가지 자가항체가 양성
하시모토 갑상선염/그레이브병의 자가항체(anti-TPO Ab)와 그레이브병 자가항체(그러나, TSH receptor항체라 함은 자극(stimulating)일수도, 막을수도(blocking), 기능이 없는 항체 모두가 가능하다)가 모두 양성이라 기능이 어떻게 될지는 추적이 필요함
bx결과
; [ Cytologic Diagnosis ]Thyroid, left lower, (1.48x0.55cm), aspiration cytology;Sheet of lymphocytic cells(favor hyperplastic lymphoid tissue) - 반응성 변화에 가깝다.
진행하는 갑상선염에 의한 림프절의 크기 변화?
조직검사 음성시 흡연력 있는 분으로 이비인후과에서 하인두에 종양성 병변 배제가 필요함을 설명함.
갑상선염에서 경부 림프절에 대한 초음파 소견
갑상선 기능 저하증(하시모토 갑상선염)과 항진증(그레이브병)이 반복되는 경우
저하증에서 항진증으로 바뀌는 사례들
동대문구 답십리 우리안애, 우리안愛 내과, 건강검진 클리닉 내과 전문의 전병연


























댓글