조절되지 않는 당뇨에서 평가한 췌장 병리 소견; 췌관내 유두상 점액 종양, 주췌관형
- 2020년 7월 29일
- 1분 분량
상기 환자 초음파 시행
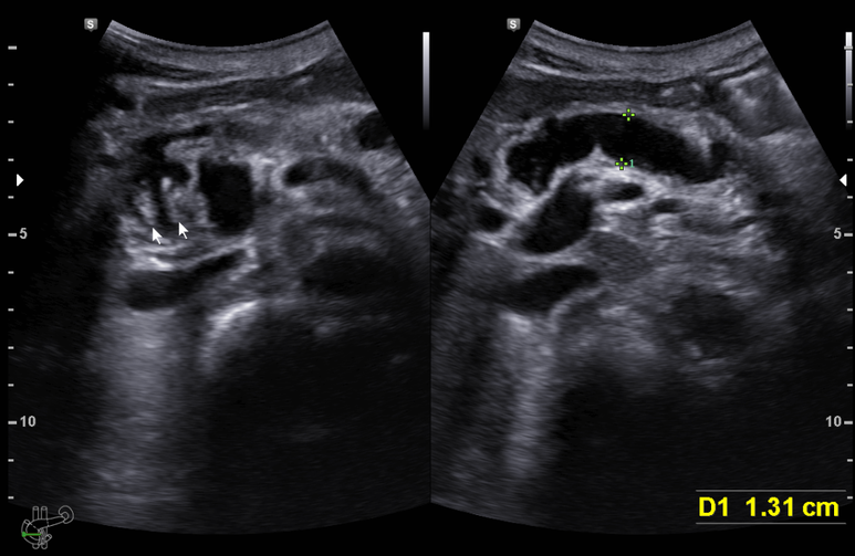
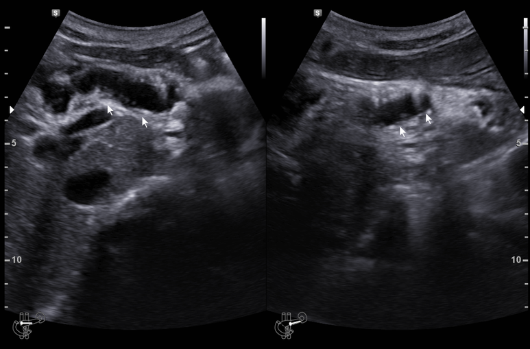
체부 췌도가 13 mm까지 확장
미부도 확장 확인
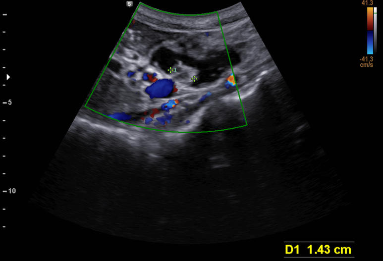
췌두부의 췌도 확장과 결절 소견
IPMN, main duct type, 췌관내 유두상 점액 종양, 주췌관형으로 MRCP/ERCP등 검사 후 수술적 치료 상의 위해 의뢰함.
새로 당뇨 진단시 췌장암과의 관련성을 염두에 두어야 하며(당뇨의 빈도에 비해 췌장암의 빈도는 낮으므로 연관성이 크지는 않다.) 상기 사례와 같이 갑자기 조절이 되지 않을 때도 고려해야 겠다. 췌도 확장에 의한 췌장 위축이 내분비 기능에 영향을 미친 것으로 해석할 수 있겠다.
; New-onset Diabetes: A Potential Clue to the Early Diagnosis of Pancreatic Cancer https://www.ncbi.nlm.nih.gov/pmc/articles/PMC2795483/
IPMN 주췌관형과 분지형의 암동반 가능성, 자연경과에 대한 예시 한례
부췌관 IPMN의 경우, 치료 및 추적관찰에 대한 내용
이외 왼쪽 경동맥은 동맥경화에 의한 약 60%의 무증상 협착을 보이고 있다.
인슐린 치료 시작, 경구약제 조절 (metformin 제외)
고지혈증약, 아스피린 추가
; 2017.3월 말; 대학병원에서 CT, MRI & MRCP, ERCP (역행성담도조영내시경) 시행, 조직검사에서 악성은 없었음. 나이등 고려하여 추적 검사 하기로 했다고 함. 체중이 4 kg늘었다.
인슐린 증량하면서 추적 예정
동대문구 답십리 우리안애, 우리안愛 내과, 건강검진 클리닉 내과 전문의 전병연
#동대문구 #성동구 #답십리역 #장안평역 #용답역 #청량리역 #신답역 #한양대역 #왕십리역 #답십리사거리 #촬영소사거리 #전농동사거리 #내과 #국가검진 #위내시경 #대장내시경 #갑상선초음파 #복부초음파 #경동맥초음파 #심장초음파 #암검진 #래미안위브아파트 #엘림스퀘어 #두산아파트 #동아아파트 #한양아파트 #동답한신아파트 #두산위브아파트 #힐스테이트청계아파트 #래미안미드카운티 #청솔우성










댓글