전형적인 임상적 소견을 보이는 통풍 사례, 초음파 소견으로 확진함
- 2020년 7월 16일
- 1분 분량
증상이 전형적이지 않을 경우 초음파나 CT를 통해 진단적 정확성을 추구할 수 있겠다.
30대 초반 남자
2일간의 오른쪽 첫째 발가락 아래 x-ray부위 통증과 발적, 압통으로 내원함.
6-7년전 첫 증상
최근 2-3년 매년 2회정도의 증상
통풍에 대한 예방적 투약은 1년전까지
과체중
수일전 외래 혈압 148/100 --> 추적 132/86
초음파 전에 The ACR/EULAR gout classification criteria에 의하면 6점
x-ray상 골미란등은 관찰되지 않으나 연부조직의 부종이 관찰됨
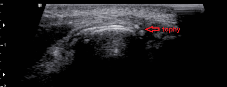
환부 관절의 연골면에 고음영의 요산 침착이 관찰됨 (double contour sign)
관절에 통풍결절이 관찰됨
초음파 이후 The ACR/EULAR gout classification criteria는 10점
요산 수치에 따라 12점 이상이 될 것으로 생각됨.
--> 8.8 mg/dL, 13점 (>=8)
만성적인 관리가 필요함.
게다가 간수치가 정상의 2.5배 상승한 혈액검사결과
연말에 음주로 인한 간염과 통풍발작으로 결론지을수 있다.
<The ACR/EULAR gout classification criteria>
동대문구 답십리 우리안애, 우리안愛 내과, 건강검진 클리닉 내과 전문의 전병연












댓글