아메바 장염 소견
- Byoung-Yeon Jun

- 2020년 2월 21일
- 1분 분량
최종 수정일: 2020년 2월 23일
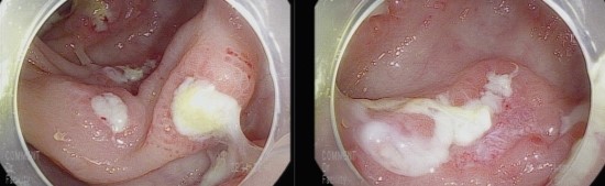
60대 남자
보름간의 하루에 10회 이상의 설사와 혈변으로 내원
대장 내시경상 주로 맹장에 다수의 궤양과 삼출물이 관찰됨. 주변의 점막은 정상 소견임.
S결장과 직장에도 얕은 궤양이 다수 관찰되며 쉽게 출혈하는 경향이 있음.
조직검사로 trophozoite유무 확인 필요
metronidazole 투여
동대문구 답십리 우리안애, 우리안愛 내과, 건강검진 클리닉 내과 전문의 전병연







댓글