수시간 지속된 산통을 주소로 내원, 다수의 담석
- 2020년 2월 16일
- 1분 분량
30대 초반 여성
수시간 지속된 상복부와 등으로 방사되는 뒤틀리는 듯한 통증
위내시경상 특이소견 없으며
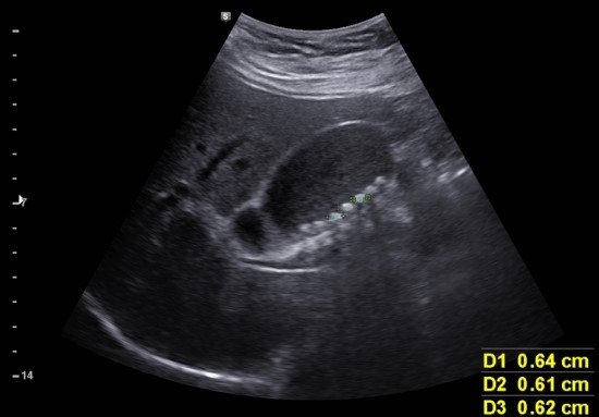
초음파상 크기는 크지 않으나 팽대된 듯한 모양의 담당과 여럿의 담석
담즙 자체도 echogenic한 상태
담낭벽의 비후는 없으며 총담관의 확장은 없음.
내시경 이후 (진경제 주사) 증상은 없어짐.
진단; r/o biliary colic without cholecystitis (담낭염이 없는 담낭 산통), r/o gallbladder hydrops (담낭 수종)
체중, 음식 조절, UDCA (ursodeoxycholic acid)
담석 질환
담석 생성하는 담즙;
cholesterol의 분비가 많은 경우 --> 비만, 대사성 증후군, 고칼로리/콜레스테롤이 많은 음식 혹은 약제 (ex> clofibrate)
유전적 영향이 25%정도를 차지한다.
콜레스테롤의 결정화
담낭의 운동성 저하; 수술, 화상, 정맥영향, 임신, 피임약
급격한 체중 감량
자연경과
무증상으로 발견되는 경우가 많다.
남성 담석환자 연구에서 증상이나 합병증이 발생하는 경우는 5년에 10%, 10년에 15%, 15년에 18%
15년 이후까지 증상이 없는 경우 추후 합병증이 생길 가능성이 매우 낮아진다.
담도기원의 통증을 가진 환자의 경우 수술을 필요로 하는 합병증의 가능성이 높아진다. 젊은 나이의 경우 60세 이후에 첫 진단이 되는 환자보다 증상이 발생할 가능성이 높다.
치료
수술이 필요한 경우
(1) 환자의 일상을 저해할 자주 반복되는 혹은 심한 증상
(2) 과거 담석에 의한 합병증 ex> 급성 담낭염, 췌장염, 담석누공 등
(3) 담석 합병증이 증가할 조건이 있는 경우 ex> 석회화 담낭 (porcelain gallbladder), 현재 증상과 상관없이 과거 급성 담낭염의 기왕력
3cm초과하는 담석이나 선천적으로 기형인 담낭인 경우에도 예방적 담낭절제술을 고려할 수 있다.
약물치료 - 담석 용해
ursodeoxycholic acid (UDCA)는 담즙의 cholesterol saturation을 낮추고 담석에서 cholesterol성분이 녹아나오도록 한다. UDCA는 cholesterol 결정 형성을 방해한다. 기능을 하는 담낭에 10 mm이하의 방사성 투과성의 담석이라면 6개월~2년동안 ~50%에서 완전 용해가 가능하다. 적절한 기간내에 좋은 결과를 위해서는 5 mm이하의 방사선 투과성 담석에 제한되어야겠다. 용량은 10-15 mg/kg/day. 15 mm이상의 경우 거의 녹지 않는다. 색소 담석의 경우 UDCA치료에 반응하지 않는다. 아마도 10%이하의 증상이 있는 담석환자에서 약물치료의 대상자가 될 것이다. 그러나, 3-5년사이에 재발율은 30-50%에 이른다.
참조> Harrison's internal medicine





댓글