분변 잠혈 양성, 점막암 의증 --> 저등급 선종
- Byoung-Yeon Jun

- 2020년 3월 2일
- 1분 분량
70대 초반 여자
검진 분변 양성
10년전 용종 기왕력
12 mm 크기의 선종은 용종절제술로 제거
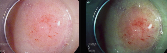
직장에 일부 출혈을 보이는 Vn pit pattern, 중심부 미란성 소견을 동반한 8 mm 크기의 용종 관찰됨.
점막암 이상의 병변을 의심하여 충분히 융기시킨 후 근위부에 snare를 anchor할 hole을 만든 후 충분히 잡아서 육안적 완전 절제함
조직학적 침범 여부/정도 확인이 필요함.
조직검사는 저등급의 선종으로 확인됨.
Colon, 9cm from anal verge, colonoscopic polypectomy;Tubular adenoma with mild to moderate dysplasia (low grade dysplasia)* resection margin: Negative(-)
동대문구 답십리 우리안애, 우리안愛 내과, 건강검진 클리닉 내과 전문의 전병연









댓글