발열과 지속적인 복통으로 내원한 게실염, 초음파 진단 소견
- Byoung-Yeon Jun

- 2020년 5월 7일
- 1분 분량
40대 여자
2일간의 오한 발열감과 오른쪽 옆구리 통증으로 내원
CVA knocking (+) << RUQ 압통 (+)
소변검사 백혈구 (-)
초음파 시행함.
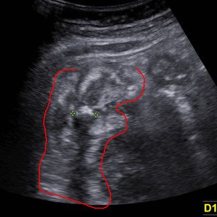
우상복부에/압통의 부위와 일치하여 두개의 저에코 경계로 둘러진 원형 고에코가 있는 구조에 후방으로의 ring-down artifact가 관찰됨
벽의 비후는 일부 의심되나 뚜렷하지 않음.
주변으로 대장부변 지방의 염증성 고에코성 변화를 관찰할 수 있다.
게실염에서 선택적 검사는 CT이나 상기 소견과 같은 특이소견으로 게실염을 관찰한다면 농양이나 천공이 의심되지 않는 상황에서 CT의 필요성은 줄어들게 된다.
입원치료보다 외래 추적 원하여
식사하지 않고(물만 마시며) 투약하고 2일뒤 외래 방문하기로 함.
모식도
동대문구 답십리 우리안애, 우리안愛 내과, 건강검진 클리닉 내과 전문의 전병연











댓글