반복되는 철결핍성 빈혈을 유발하고 빈뇨를 유발한 자궁근종, 수면장애/긴박고혈압으로 내원하였던 환자
- 2020년 3월 2일
- 1분 분량
50대 초반 여자
1년반전 1달간의 수면장애, 가슴이 뛴다 증상으로 내원
당시 혈압 210/126
심초음파상 좌심실비대 소견
2차 고혈압 검사 특이소견 없음.
혈압이 170이하로 떨어지면서 수면은 양호해짐
당시 Hb 7.8, 철결핍성 적혈구 패턴
대변검사, 대장내시경/산부인과 진료 권유했으나 검사하지 않음.
철분재 투여 후 12 이상으로 회복
10개월 전부터 요급, 요실금 증상 호소
8개월전부터 언급하여 긴박요실금에 대한 투약, 효과 있었다.
최근 오르막길에 숨찬 증상
혈압은 116/80, 일어날 때 어지러움으로 혈압약 감량
이번 검사시
Hb 6.3, ferritin 1.43
위대장내시경에서 출혈 병변 없음, 배제위해 대변 잠혈 (기다리는 중)
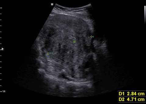
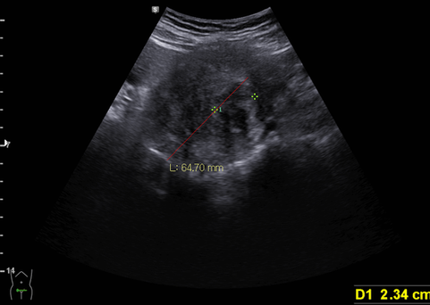
복부 초음파상 자궁근종/자궁선근증 관찰됨
; 평소 생리가 많은 날 외출하기 어렵고 패드가 흥건히 젖을 정도의 생리과다(menorrhagia)에 인한 반복되는 철결핍성 빈혈, 종괴 효과로 인한 방광 압박으로 소변 긴박 증상을 설명함.
결핍철에 대한 보충 계획
산부인과 진료계획 --> 수술
대변 잠혈 확인
동대문구 답십리 우리안애, 우리안愛 내과, 건강검진 클리닉 내과 전문의 전병연







댓글