만성질환 관리에 참여한 혈압 사례, 과거 일과성허혈 기왕력
- 2020년 8월 23일
- 1분 분량
상기 검사 환자 40대 초반 2년전 초진 흡연 (-) BMI 32.5 TIA(일과성뇌허혈 증상으로)로 대학병원에서 항혈소판제, 혈압약, 고지혈증 약 복용중 1촌 뇌경색 기왕력, 대장암 기왕력 진료실 혈압 146/88, 가정혈압 수축기 120대 내원 수개월 전 타내과 위내시경 소견, 헬리코박터 양성 1년전 헬리코박터 제균
수개의 용종을 용종 절제술로 제거함
6개월 뒤
진료실 혈압 144/94
요소호기검사 음성 확인
위내시경 추적; 아물어 가는 식도 미란성 변화
최근 음주를 많이 해서인지 발적, 미란성 변화 있으나 헬리코박터에 의한 만성 표재성 위염 소견은 의심되지 않음
장상피 화생 소견 있으며 조직검사상 일치함
; 요소호기검사 내시경 소견상 헬리코박터 제균되었을 확인함
2개월 뒤
진료실 혈압 154/94
이전 대학병원 처방 변경함
1개월 뒤
진료실 혈압 138/92
1개월 뒤
진료실 혈압 146/96
최근 발목이 아프려고?해서 근처 의원에서 혈액검사 페브릭 처방 받음
OT/PT 43/96, 요산 8.8
; 전형적인 통풍 증상 아닌거 같고 증상 조절 치료가 아닌 만성 치료로서의 약을 투약 받은 거니 투약 없이 지켜보기로 함
1개월 뒤
진료실 혈압 146/94 --> 136/86
혈액검사 OT/PT 25/25, 요산 4.1, microalbumin 3.4 (미세 단백뇨 정상)
HBsAg/Ab (-/-), HBcIgG (-), HAV IgG (-)
; A형, B형 간염 백신 시작
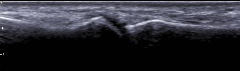
관절의 요산 침착을 보기 위한 1st MTP 관절의 관절초음파; double contour sign (-), tophi (-)
2개월 뒤
진료실 혈압 142/84
진료실 혈압은 140을 상회하면서 가정 혈압계가 withings인데 지속적인 차이가 있는거 같아 혈압계 대여, 만성질환 관리 참여하기로 함.
동대문구 답십리 우리안애, 우리안愛 내과, 건강검진 클리닉 내과 전문의 전병연
















댓글