담낭 절제 후라도... 너무 확장된 총담관 및 우연한? 췌장 종괴의 발견 - 동대문구 답십리, 전농동, 우리안애 우리안愛 내과
- Byoung-Yeon Jun

- 4일 전
- 3분 분량
70대 중반 여자, 2020년부터 간헐적 진료
파킨슨 등으로 **대학교 신경과 투약중
방문한 이유는 명치가 답답하고.. 소화가 안되고.. 내시경 위해
파킨슨 자체의 증상으로 운동장애가 있는데.. 신경과 처방약에는 여러가지의 위장관 약제가 이미 포함되어 있으며...
과연 한달의 증상인지? 배제의 검사가 필요할수 있는데...
20년도에 본원에서 위대장내시경 시행
21년도에 **대학병원에서 내시경 검사, 초음파 검사
이 당시도 한달간의 증상을 기술
24년도는 반복되는 설사로 증상적 투약을 자주 하였으며...
23년도에 **대학병원 신경과에서 입원을 시켜 위대장내시경을 진행했으며...
1. 파킨슨의 반복되는/지속되는 증상일지.. 약 1년반전에 내시경을 받았는데 다시 구조적 평가가 필요할지
2. 직전 검사에서 입원시켜서 검사를 했는데 할머니의 전반적 상태에서 외래에서 내시경을 하는것이 적절할지?
; 없던 증상이 한달을 고려하여 초음파를 먼저 계획하기로 하였다.
다음날 방문, 시행
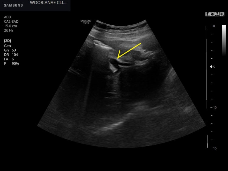
췌장의 전체적인 윤곽

체부에 결절의 관찰, ~ 8 mm 크기, 옆에 관찰되는 정상 혈관인 SMA

타의원에서 상장간막 동맥, SMA를 결절로 기술한듯 한 경우
위아래 직경은 ~ 12 mm

다시 관찰, branched IPMN 혹은 NET 가능성은?

...
...
가로뷰에서 아래와 같은 확장된 관이 인지되었으며...

늑간뷰에서 총담관이 14.5 mm 가지 확장된 모습

우측의 담도가 담도 분지부를 지나서도 꽤나 확장되어 있다. 좌측에서는 관찰되지 않음.


총담관 퍠색도 정도의 차이
간내 담도의 확장은 없는
양측 간내 담도의 확장도 동시에
총담관 확장의 재확인


Results The mean (standard deviation) short-axis maximum CBD diameter of 121 pa tients was 5.6 (± 1.9) mm in the axial plane before cholecystectomy but increased to 7.9 (± 2.6) mm after cholecystectomy (p < 0.001). Of the 106 patients with a pre-cholecystecto my axial CBD diameter of < 8 mm, 39 (36.8%) showed CBD dilatation of ≥ 8 mm after cholecystectomy. Six of the 17 patients with long-term (> 2 years) serial follow-up CT scans (35.3%) eventually showed a significant (> 1.5-fold) increase in the axial CBD diameter, all within two years after cholecystectomy 모두 2년이내에. Of the 121 patients without obstruction or related symptoms, only one patient (0.1%) showed IHD dilatation > 3 mm after cholecystectomy. 간내 담도도 폐색이나 증상 없이 3 mm 이상으로 늘어난 경우도 있다. 단 한명에서 In contrast, all 11 patients with CBD obstruction had abdominal pain and abnormal laboratory indices, and 81.8% (9/11) had significant dilatation of the IHD and CBD.
결과
121명의 환자의 평균(표준편차) 단축 최대 CBD 직경은 담낭절제술 전 축면에서 5.6 (± 1.9) mm였지만 담낭절제술 후 7.9 (± 2.6) mm로 증가했다(p < 0.001). 담낭절제술 전 축성 CBD 직경이 8 mm 미만인 106명의 환자 중 39명(36.8%)이 담낭절제술 후 ≥ 8 mm의 CBD 확장을 보였다. 장기(> 2년) 연속 추적 CT 스캔을 받은 17명의 환자 중 6명(35.3%)은 결국 모두 담낭 절제술 후 2년 이내에 축성 CBD 직경이 유의미하게(> 1.5배) 증가한 것으로 나타났다. 폐색 또는 관련 증상이 없는 121명의 환자 중 단 1명(0.1%)만이 담낭 절제술 후 intrahepatic duct (이하 IHD) 확장 > 3 mm를 보였던 반면, CBD 폐쇄가 있는 11명의 환자 모두 복통과 비정상 검사실 지수가 있었고 81.8% (9/11)가 IHD 및 CBD의 상당한 확장을 보였다.
결론
보상적 비폐쇄성 CBD 확장은 일반적으로 폐쇄성 확장과 비슷한 정도로 담낭절제술 후에 발생한다. 그러나 담낭절제술 후 담관 폐색과 관련 증상이 있거나, 의미 있는 IHD 확장 또는 2–3년 후 추가적인 CBD 확장이 발생하는 경우 CBD 폐쇄를 의심해야 한다.
1. 과거 수술 이후에 14~15 mm 까지 늘어난 총담관, 우측간까지 확장된 비대칭성 간내담도확장
2. 췌장 종양
1번이 증상과 연관성?, 2번은 우연한 소견으로 보이며...
; 추가 이미지 검사가 필요하여 파킨슨 추적하는 대학병원으로 의뢰
과거 담낭 수수력이 있는 이 경우는 추가 평가를 거부하고 있는데 혈압약 투약으로 지속 진료중, 증상적 변화는 없어 보인다.
간내 담도 확장정도를 보면 이번 사례보다 더욱 명확하지만...
동대문구 답십리 우리안애, 우리안愛 내과, 건강검진 클리닉 내과 전문의 전병연
#동대문구내과 #성동구내과 #광진구내과 #답십리역 #장안평역 #용답역 #청량리역 #신답역 #한양대역 #왕십리역 #답십리사거리 #촬영소사거리 #전농동사거리 #내과 #국가검진 #위내시경 #대장내시경 #갑상선초음파 #복부초음파 #경동맥초음파 #심장초음파 #암검진 #래미안위브아파트 #엘림스퀘어 #두산아파트 #동아아파트 #한양아파트 #동답한신아파트 #두산위브아파트 #힐스테이트청계아파트 #래미안미드카운티 #청솔우성 #래미안크레시티 #롯데캐슬노블레스 #e편한세상답십리아르테포레




댓글