top of page

Tags

Our Recent Posts

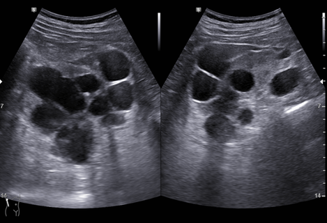
다낭성 신질환 2

  • 작성자 사진: Byoung-Yeon Jun
    Byoung-Yeon Jun
  • 2020년 2월 26일
  • 1분 분량

70대 남자

협심증으로 투약 중

이전에 신낭종에 대한 흡인술 수차례

Cr 1.7, 혈압은 정상


초음파 소견


동대문구 답십리 우리안애, 우리안愛 내과, 건강검진 클리닉 내과 전문의 전병연


 
 
 

댓글


Copyrights ⓒ 우리안애 愛 내과, 건강증진센터 All Right Reserved.

bottom of page