내원 전일 복통과 함께 시작된 혈변, 허혈성 장염
- 2020년 7월 9일
- 1분 분량
60대 중반 여자
내원 전일 저녁에 복통과 함께 초기에 설사하다 이후 피만 나오는 양상을 주소로 내원
내원시 복통은 없는 상태
2018년 대장내시경 기왕력
복부 촉진상 왼쪽 상복부에 압통
임상적 양상과 추정되는 병변의 위치상 허혈성 장염 의증으로 다음날 대장내시경 시행
장정결제 복용 중에는 혈변은 멈춘 상태
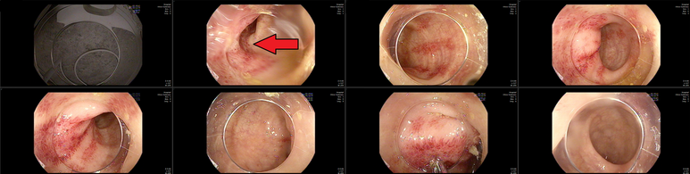
S결장부터 길이방향으로 (longitudinally) 궤양 흔적 및 주변부 발적
S결장 중간부위에서는 좀더 깊은 궤양이 관찰되며 환자 통증 호소하여 더 진입하지 않음.
임상적 양상, 내시경 소견 모두 허혈성 장염을 시사하여 진단하고 검사 종료함
항생제 및 보존적 치료 계획
조직검사
[ DIAGNOSIS ]
Colon, R-S junction, colonoscopic biopsy;
Suggestive of ischemic colitis
with acute and chronic inflammation with erosion,
and atrophic glands with fibrosis in the lamina propria
with hypertrophy of muscularis mucosa
(* clinical correlation is needed)
증상 후 수일뒤 방문하여 검사했을 때 호전된 모양
동대문구 답십리 우리안애, 우리안愛 내과, 건강검진 클리닉 내과 전문의 전병연







댓글