급성 췌장염
- 2020년 2월 15일
- 1분 분량
33세 남자
2일간의 epigastric pain을 주소로 내원함. 콕콕 쑤시는 것 같다.
2014.6월 맹장 수술
담배 1갑/day, 술 1주일에 한번 --> 추후 3-4병씩 마시는 binge drinking(폭음)임이 밝혀짐.
신체검사상 상복부의 뚜렷한 압통
위내시경; 역류성 식도염 (LA-A)
초음파상 지방간소견, 담도는 확장되어 있지 않음. 체구로 인해 췌장은 뚜렷하지 않으나 necrosis나 cystic change는 관찰되지 않음.
위내 염증의 소견은 없으며 통증의 정도와 상기 소견의 관계성이 의심스러웠음.
혈액검사상 WBC 18,000, amylase 370으로 상승 보이면 lipase 260, TG(중성지방) 490으로 상승되어 있어
증상과 혈액검사상 급성 췌장염 진단
식사하지 않고 물만 마시면서 증상은 호전되는 추세, 처음에 투약은 식도염약만 하다가 상기 혈액검사 확인 후 호이판, 진통제 추가함.
(항생제 투여(-))
추적 검사에서 WBC 12,000, amylase 60, crp 110 (<10), TB 1.78
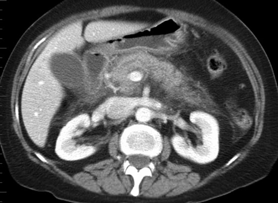
폭음을 가끔 하나 술과의 관련성이 불명확하여 복부 CT시행
췌장 주변의 지방 조직에 염증 파급 소견이 관찰되며 이외 해부학적 이상은 없음.
술에 의한 췌장염으로 진단하였고 추후 liver function test(간수치), TG, ca 추적검사 예정
이외 농뇨 소견 보였는데 6월 수술시 도뇨관 삽관 기왕력, 이후 육안적 고름도 보였다고 하며 2달간 요도 증상
첫 외래에서 도뇨관 삽입 기억 없어 요도염 의심, 요 배양 음성
성병 감별 위해 urine PCR 권유하였으나 마지막 외래 방문시 도뇨관 삽입력 확인되고 증상이 없어 증상 관찰하기로 함.







댓글