과거 폐결핵 투약력, x-ray상 결핵에 의한 파괴폐 있는 분, 3주간의 기침으로 내원, 증상은 감기후 상기도증후군, 판독은 폐렴
- 2020년 8월 17일
- 1분 분량
60대 중반 남자
3주간의 기침으로 내원
"몸과 마음이 따로논다." ??? - 나중 외래에서 금연 중임을 얘기하였고 금연에 의한 금단 증상으로 최종 판단하였다.
기침, 목이 간질
후비루 (-)
청진상 정상 폐음
비강 스테로이드 권유하였으나 경구약만 원함
2번째 외래
기침, 목이 간질, 가래
누워있을 때 기침이 더 심하다.
머리가 띵하다.
같은 경구약만 처방함
3번째 외래에서 비강 스테로이드 포함 약제 조절 (항생제는 사용하지 않음)
4번째 외래
기침은 20%로 경감
어렸을 때 늑막염
1달간 금연중
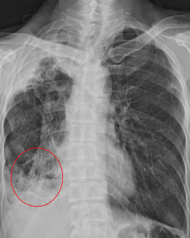
x-ray는 아래와 같다. 청진상 폐음은 특이사항 없음
증상은 호전되는 추세로 비부비동염에 대한 처방 지속
(영상의학과 판독은 오른족 아래 폐렴이나 임상적으로 감염의 증상은 없었다. 과거력과 같이 하여 다음에 가래검사 평가하기로 함)
5번째 외래
새벽에 가래에서 피가 섞인다.
올라갈때 숨이 가쁘다. 이번 몸살 감기 이후에...
오히려 왼쪽에서 흡입시 협착음 청진
폐기능상 폐쇄성 폐질환 소견이여서 흡입제 처방
6번째 외래
"입맛이 돌아왔다.", "컨디션 양호하다."
가래 검사 결과; AFB 음성, TB PCR 음성, 배양에서 구강 상재균, 이상세포 관찰되지 않음
폐음은 정상
x-ray 추적; 영상의학과 판독은 "변화는 없으며 폐렴"
임상적으로 폐렴 소견은 아니며, 가래 검사에서 결핵균 없음 및 가래 중간 배양 검사에서 자라는 항산균, 결핵균은 보고되지 않았다.
최근가지 흡연력이 있으며 단순 x-ray로 평가에는 한계가 있으므로 폐 CT 받도록 안내하였으며 지인이 있는 대학병원에서 촬영하기로 계획하였다.
동대문구 답십리 우리안애, 우리안愛 내과, 건강검진 클리닉 내과 전문의 전병연







댓글